RECEIVE 25% OFF PUBLISHED ANTIBODIES WITH CODE "PUB25"! Offer valid for US customers and available internationally through distributors.

G3BP1 Recombinant Antibody

Applications

  • WB
  • FCM
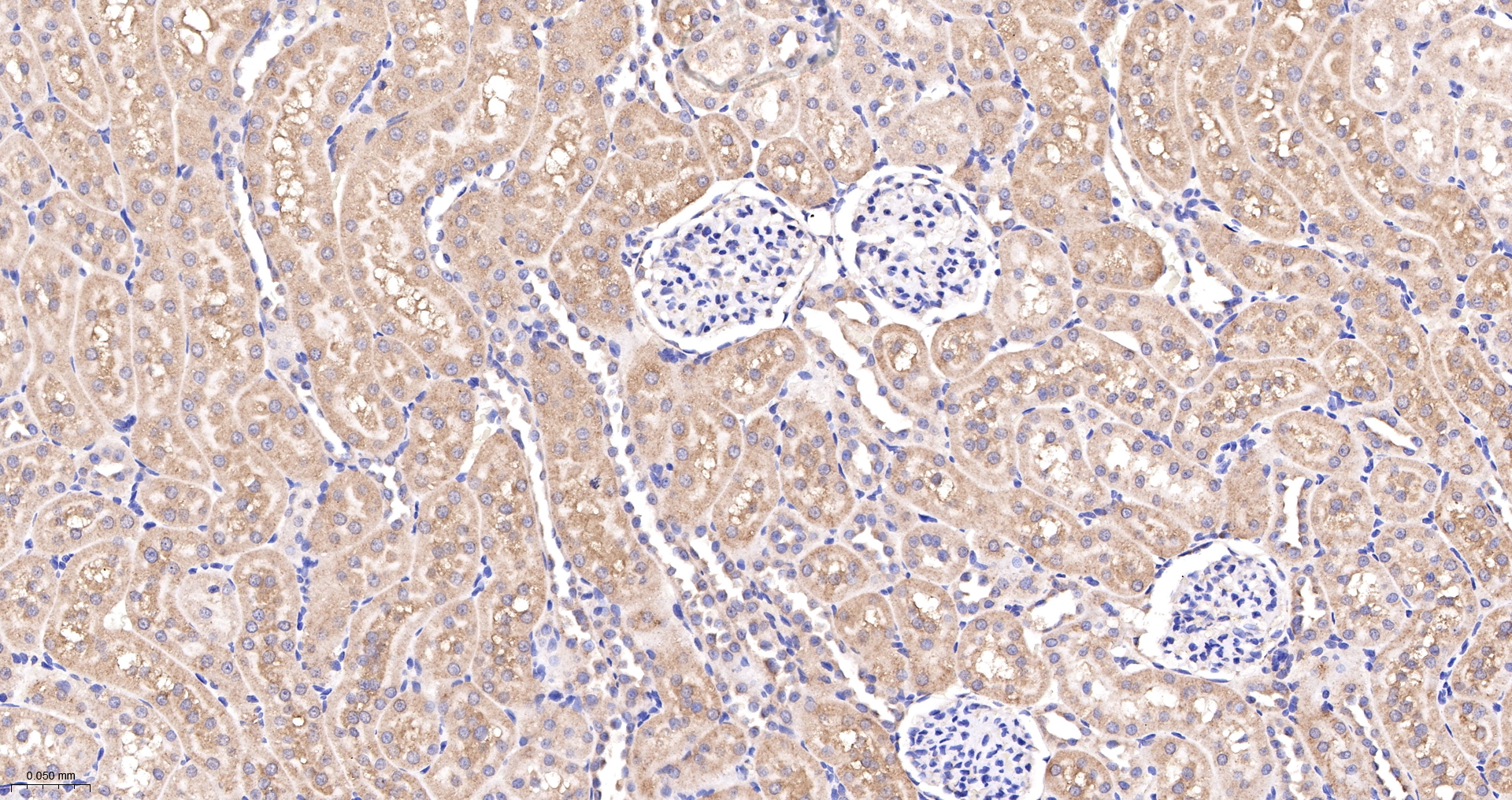
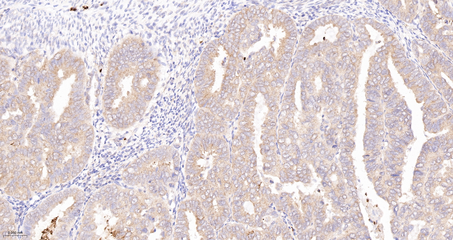
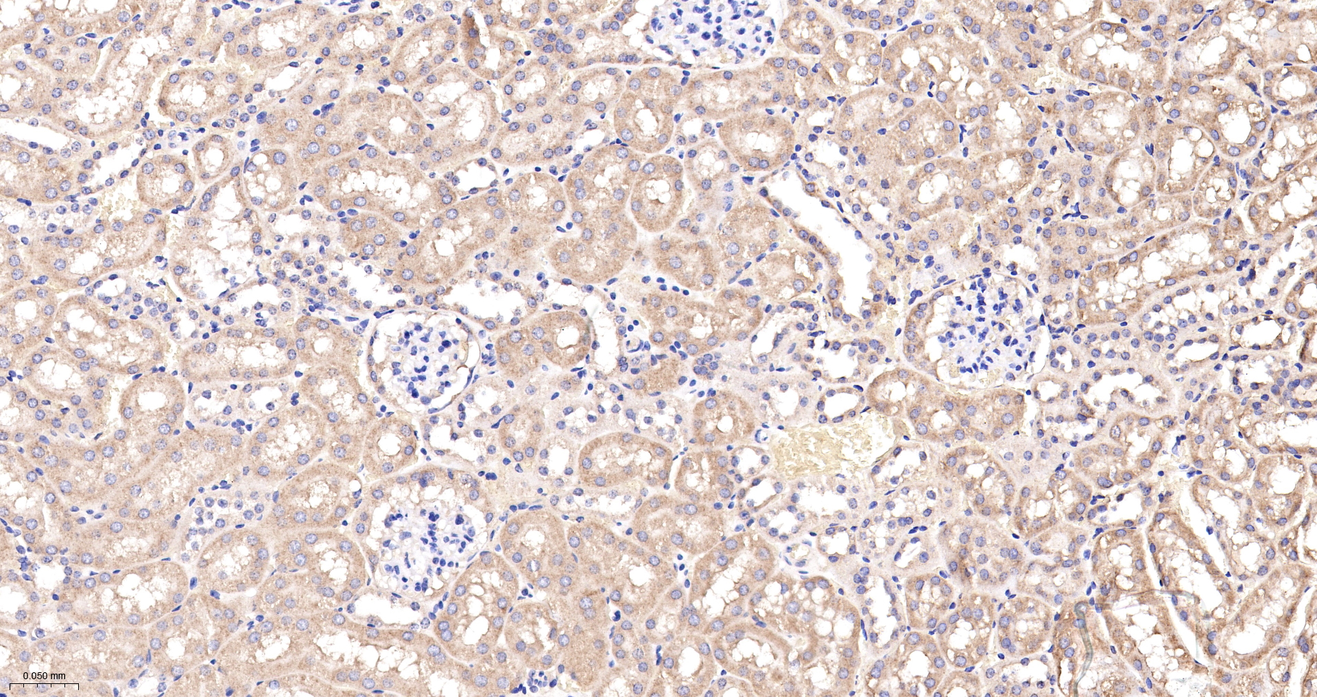
  • IHC-P
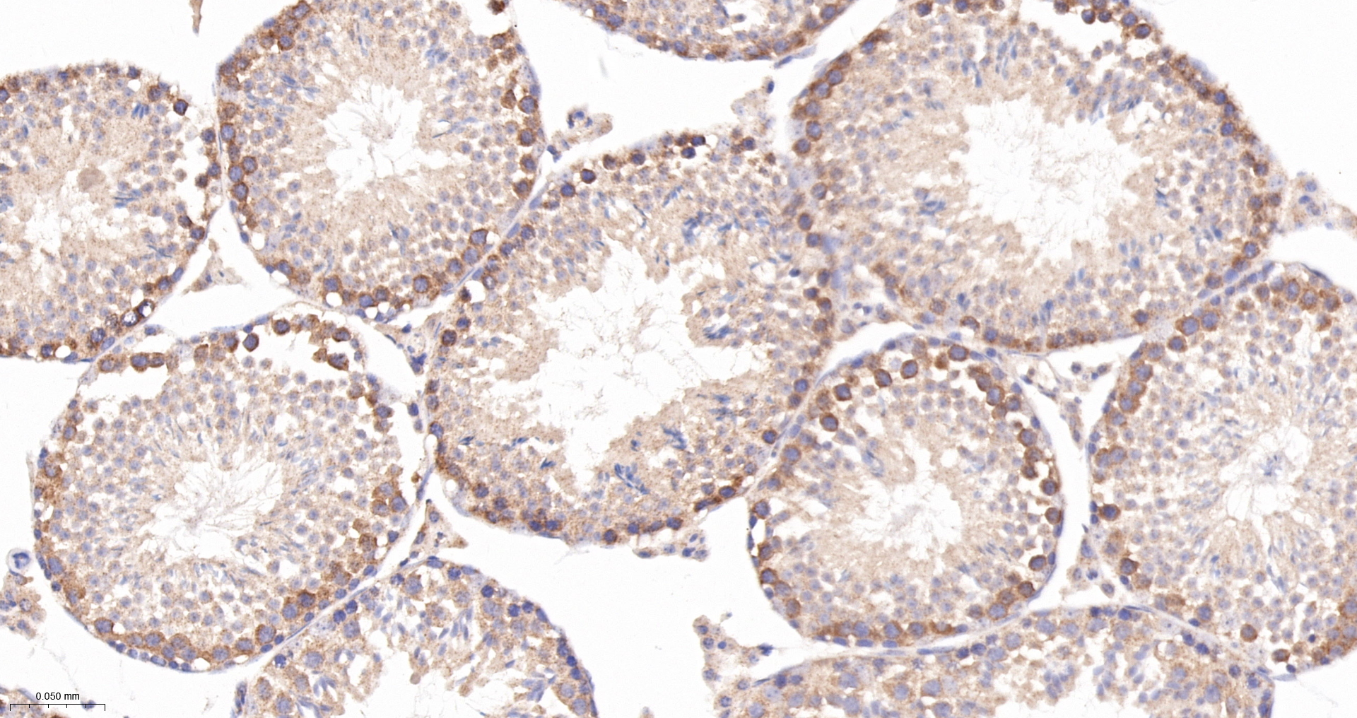
  • IHC-F
  • IF(IHC-P)
  • IF(ICC)
  • IP

Reactivity

  • Human
  • Mouse
  • Rat
Overview
Catalog # bsm-62130r-100ul
Product Name G3BP1 Recombinant Antibody
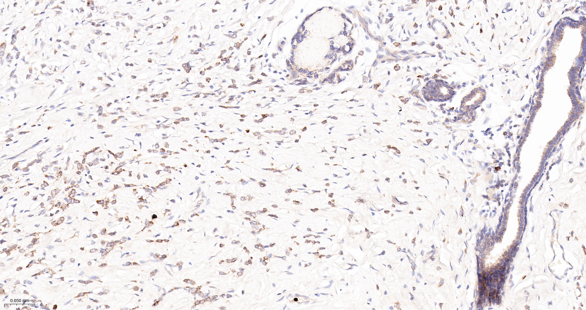
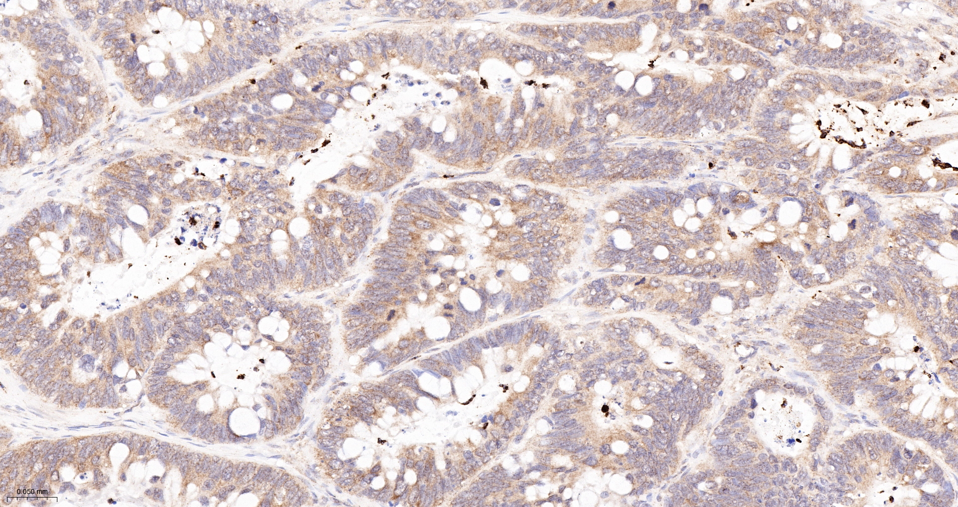
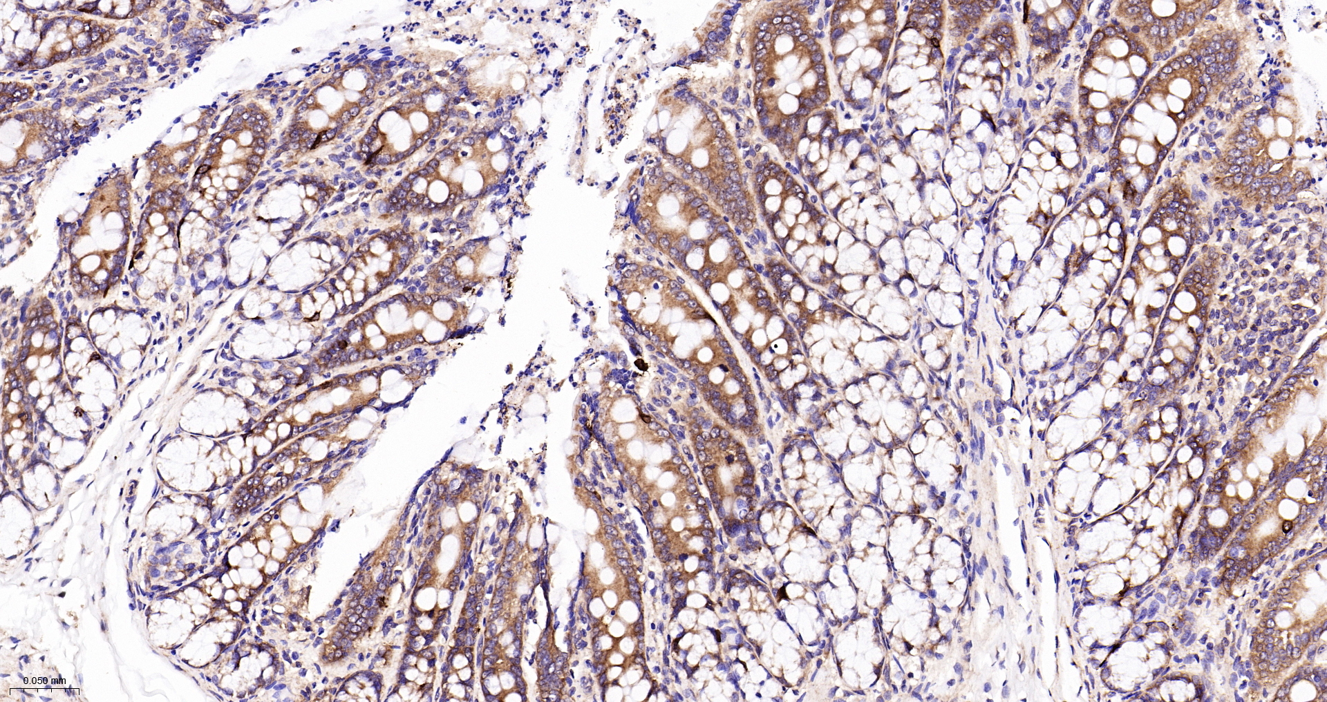
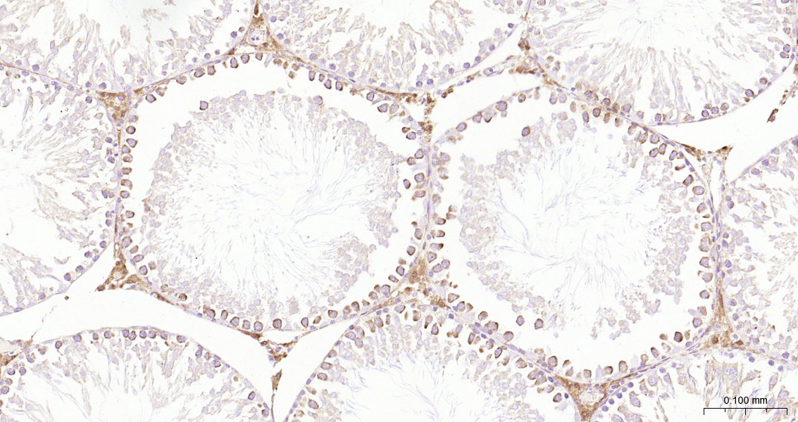
Applications WB, FCM, IHC-P, IHC-F, IF(IHC-P), IF(ICC), IP
Reactivity Human, Mouse, Rat
Specifications
Conjugation Unconjugated
Host Rabbit
Source KLH conjugated synthetic peptide derived from human G3BP1
Clonality Recombinant
Isotype IgG
Concentration 1mg/ml
Purification Purified by Protein A.
Storage Buffer 0.01M TBS (pH 7.4), 1% BSA, 0.02% Proclin 300, and 50% Glycerol
Storage Condition Shipped at 4C. Store at -20C for one year. Avoid repeated freeze/thaw cycles.
Target
Gene ID 10146
Swiss Prot Q13283
Subcellular location Cytoplasm, Nucleus, Cell membrane
Synonyms G3BP; G3bp1; hDH VIII.
Background Protein involved in various processes, such as stress granule formation and innate immunity.Plays an essential role in stress granule formation.Stress granules are membraneless compartments that store mRNAs and proteins, such as stalled translation pre-initiation complexes, in response to stress.Promotes formation of stress granules phase-separated membraneless compartment by undergoing liquid-liquid phase separation (LLPS) upon unfolded RNA-binding: functions as a molecular switch that triggers RNA-dependent LLPS in response to a rise in intracellular free RNA concentrations.
Application Dilution
WB 1:1000-2000
FCM FCM1μg/Test
IHC-P IHC-P1:100-500
IHC-F IHC-F1:100-500
IF(IHC-P) IFIHC-P1:100-500
IF(ICC) IFICC1:50-200
IP IP1:20-50