Receive 30% off all Monoclonal IHC antibodies with code "MONO-IHC-30"! Offer valid for US customers and available internationally through distributors.

IDH1 Recombinant Antibody

Applications

  • WB
  • IHC-P
  • IHC-F
  • IP
  • IF

Reactivity

  • Human
  • Mouse
  • Rat
Overview
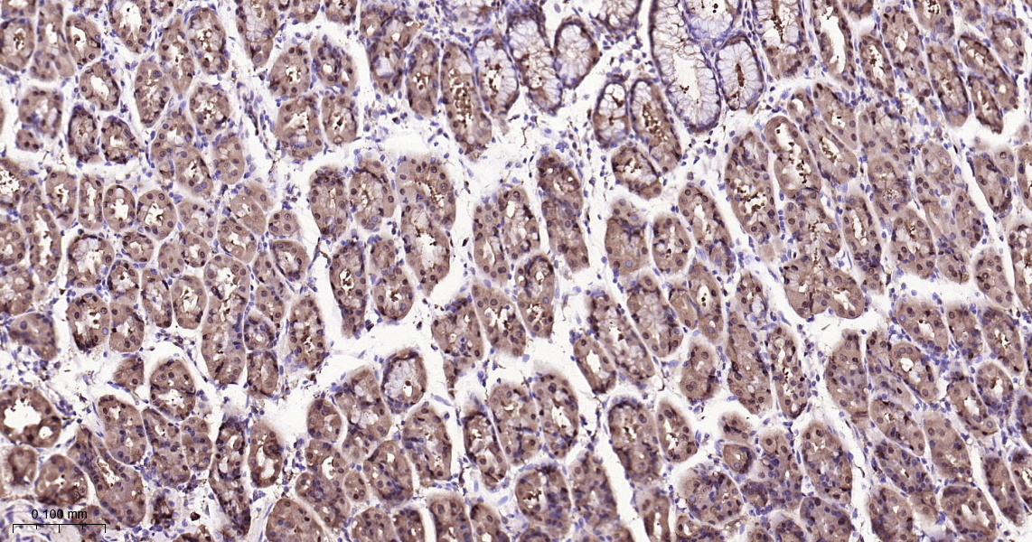
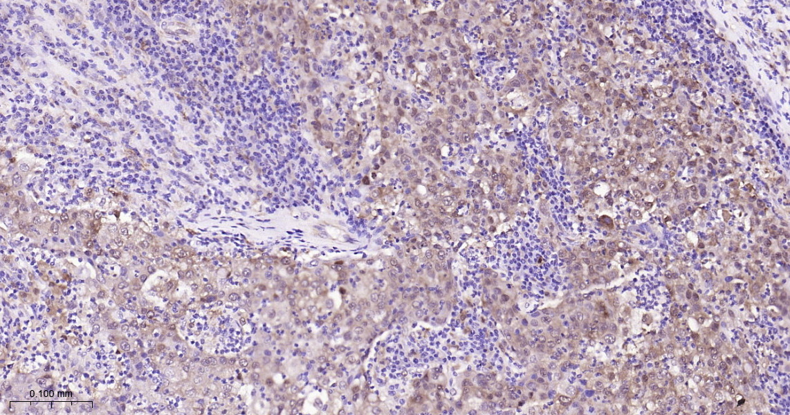
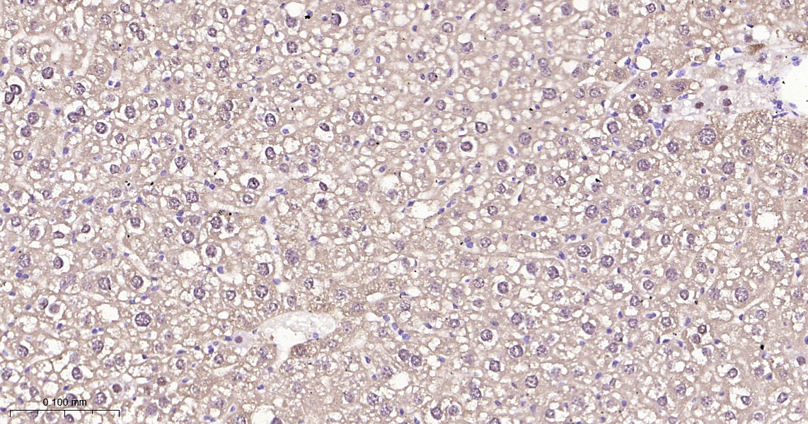
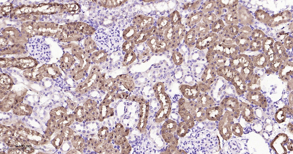
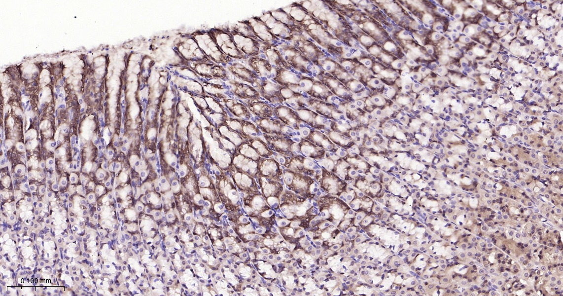
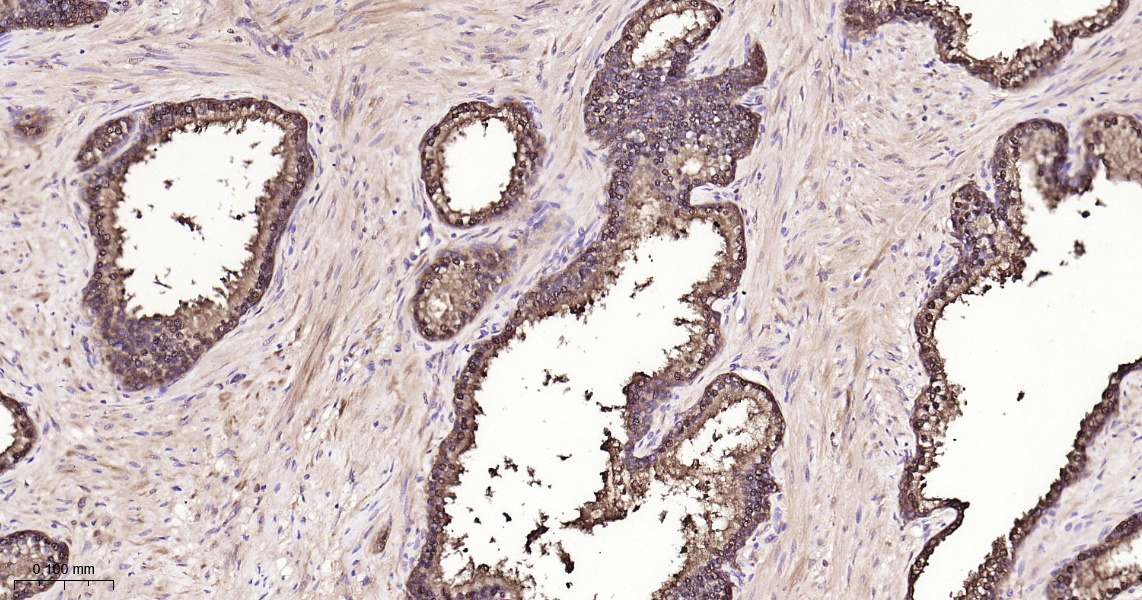
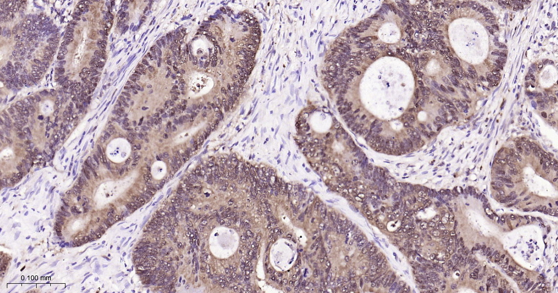
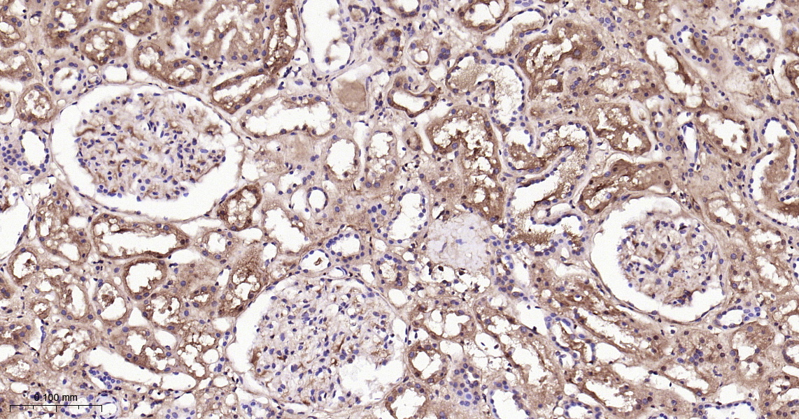
Catalog # bsm-62156r
Product Name IDH1 Recombinant Antibody
Applications WB, IHC-P, IHC-F, IP, IF
Reactivity Human, Mouse, Rat
Specifications
Conjugation Unconjugated
Host Rabbit
Source A synthesized peptide derived from human IDH1
Clonality Recombinant
Clone # 20C14
Isotype IgG
Concentration 1mg/ml
Purification Purified by Protein A.
Storage Buffer 10mM phosphate buffered saline(pH 7.4) with 150mM sodium chloride, 0.05% BSA, 0.02% Proclin300 and 50% glycerol.
Storage Condition Shipped at 4C. Store at -20C for one year. Avoid repeated freeze/thaw cycles.
Target
Gene ID 3417
Swiss Prot O75874
Synonyms HEL-216; HEL-S-26; ICDH; IDCD; IDH; IDH1; IDP; IDPC; PICD.
Application Dilution
WB 1:500-2000
IHC-P 1:100-500
IHC-F 1:100-500
IP 1:100-500
IF 1:20-50