Receive 30% off all Monoclonal IHC antibodies with code "MONO-IHC-30"! Offer valid for US customers and available internationally through distributors.

Fibrinogen alpha chain Recombinant Antibody

Applications

  • WB
  • IHC-P
  • IHC-F
  • IP
  • IF
  • Flow-Cyt
  • ICC/IF

Reactivity

  • Human
  • Mouse
  • Rat
Overview
Catalog # bsm-62182r
Product Name Fibrinogen alpha chain Recombinant Antibody
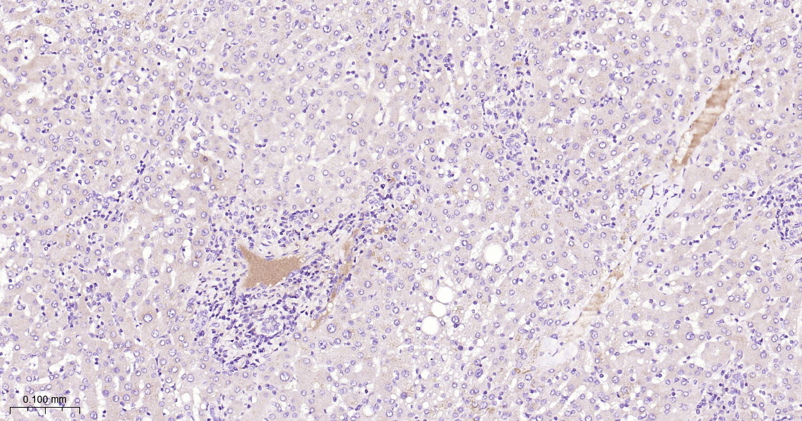
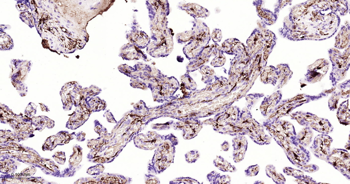
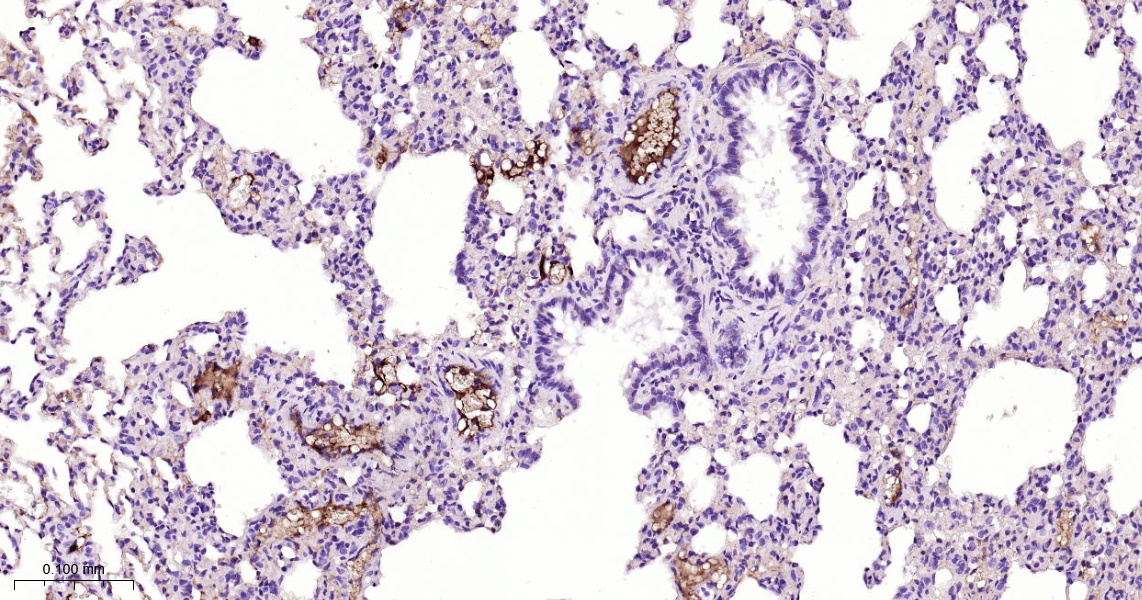
Applications WB, IHC-P, IHC-F, IP, IF, Flow-Cyt, ICC/IF
Reactivity Human, Mouse, Rat
Specifications
Conjugation Unconjugated
Host Rabbit
Source KLH conjugated synthetic peptide derived from human Fibrinogen alpha chain
Clonality Recombinant
Isotype IgG
Concentration Lot dependent
Purification Purified by Protein A.
Storage Buffer 0.01M TBS (pH 7.4), 1% BSA, 0.02% Proclin 300, and 50% Glycerol
Storage Condition Shipped at 4C. Store at -20C for one year. Avoid repeated freeze/thaw cycles.
Target
Gene ID 2243
Swiss Prot P02671
Synonyms Fba5e; FGA; Fib; Fib2; Fibrinopeptide A.
Background Cleaved by the protease thrombin to yield monomers which, together with fibrinogen beta (FGB) and fibrinogen gamma (FGG), polymerize to form an insoluble fibrin matrix. Fibrin has a major function in hemostasis as one of the primary components of blood clots.
Application Dilution
WB 1:300-5000
IHC-P FCM1:20-100
IHC-F IHC-P1:200-400
IP IHC-F1:100-500
IF ICC1:50-200
Flow-Cyt IP1-2ug
ICC/IF IF