Receive 30% off all Monoclonal IHC antibodies with code "MONO-IHC-30"! Offer valid for US customers and available internationally through distributors.

PLCG 2 Recombinant Antibody

Applications

  • WB
  • IHC-P
  • IHC-F
  • IP
  • IF
  • Flow-Cyt

Reactivity

  • Human
Overview
Catalog # bsm-62254r
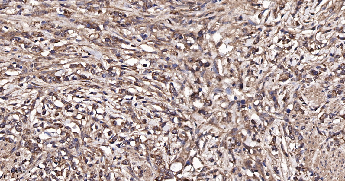
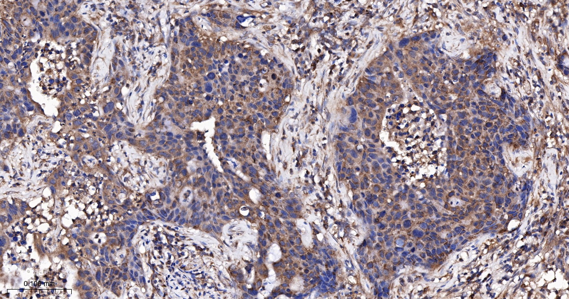
Product Name PLCG 2 Recombinant Antibody
Applications WB, IHC-P, IHC-F, IP, IF, Flow-Cyt
Reactivity Human
Specifications
Conjugation Unconjugated
Host Rabbit
Source KLH conjugated synthetic peptide derived from human PLCG2
Clonality Recombinant
Isotype IgG
Concentration Lot dependent
Purification Purified by Protein A.
Storage Buffer 0.01M TBS (pH 7.4), 1% BSA, 0.02% Proclin 300, and 50% Glycerol
Storage Condition Shipped at 4C. Store at -20C for one year. Avoid repeated freeze/thaw cycles.
Target
Gene ID 5336
Swiss Prot P16885
Synonyms PLC 2; PLC gamma 2; PLC IV; PLC-IV; Plcg2.
Background The production of the second messenger molecules diacylglycerol (DAG) and inositol 1,4,5-trisphosphate (IP3) is mediated by activated phosphatidylinositol-specific phospholipase C enzymes. It is a crucial enzyme in transmembrane signaling.
Application Dilution
WB 1:300-5000
IHC-P FCM1:20-100
IHC-F IHC-P1:200-400
IP IHC-F1:100-500
IF IP1-2ug
Flow-Cyt IF