RECEIVE 25% OFF PUBLISHED ANTIBODIES WITH CODE "PUB25"! Offer valid for US customers and available internationally through distributors.

RACGAP1 Recombinant Antibody

Applications

  • IHC-P
  • IHC-F
  • IF(IHC-P)

Reactivity

  • Human
Overview
Catalog # bsm-62359r-100ul
Product Name RACGAP1 Recombinant Antibody
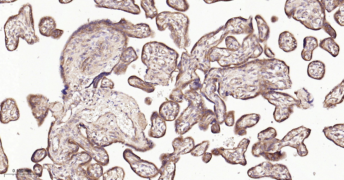
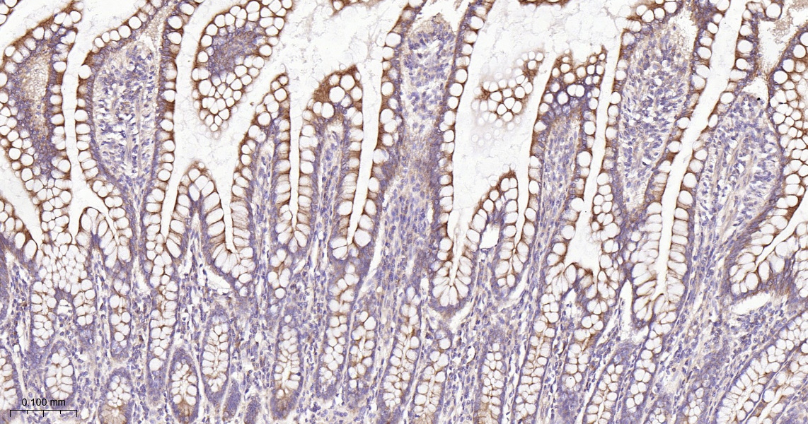
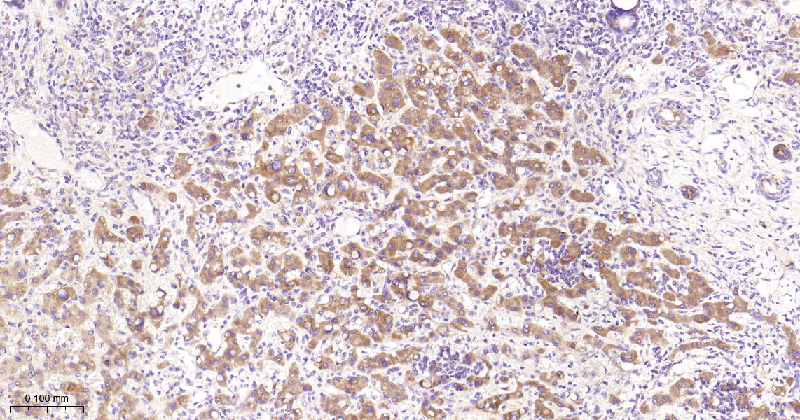
Applications IHC-P, IHC-F, IF(IHC-P)
Reactivity Human
Specifications
Conjugation Unconjugated
Host Rabbit
Source KLH conjugated synthetic peptide derived from human RacGAP1
Clonality Recombinant
Isotype IgG
Concentration Lot dependent
Purification Purified by Protein A.
Storage Buffer 0.01M TBS (pH 7.4), 1% BSA, 0.02% Proclin 300, and 50% Glycerol
Storage Condition Shipped at 4C. Store at -20C for one year. Avoid repeated freeze/thaw cycles.
Target
Gene ID 29127
Swiss Prot Q9H0H5
Subcellular location Cytoplasm, Nucleus
Synonyms CYK4; GAP; Gap1; ID GAP; MgcRacGAP; Racgap1.
Background Component of the centralspindlin complex that serves as a microtubule-dependent and Rho-mediated signaling required for the myosin contractile ring formation during the cell cycle cytokinesis. Required for proper attachment of the midbody to the cell membrane during cytokinesis. Sequentially binds to ECT2 and RAB11FIP3 which regulates cleavage furrow ingression and abscission during cytokinesis.
Application Dilution
IHC-P 1:100-500
IHC-F IHC-F1:100-500
IF(IHC-P) IFIHC-P1:100-500