Receive 30% off all Monoclonal IHC antibodies with code "MONO-IHC-30"! Offer valid for US customers and available internationally through distributors.

Flotillin 1 Recombinant Antibody

Applications

  • WB
  • IHC-P
  • IHC-F
  • IP
  • IF

Reactivity

  • Human

Predicted Reactivity

  • Mouse
  • Rat
Overview
Catalog # bsm-62476r
Product Name Flotillin 1 Recombinant Antibody
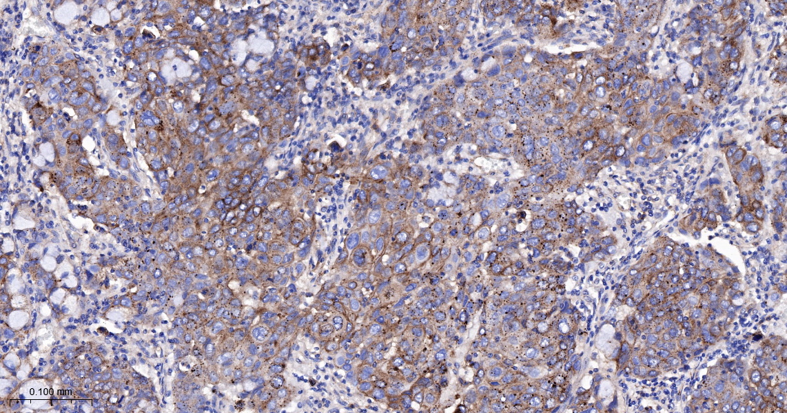
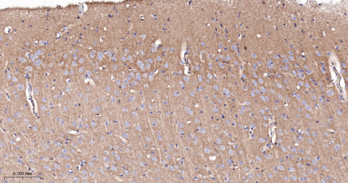
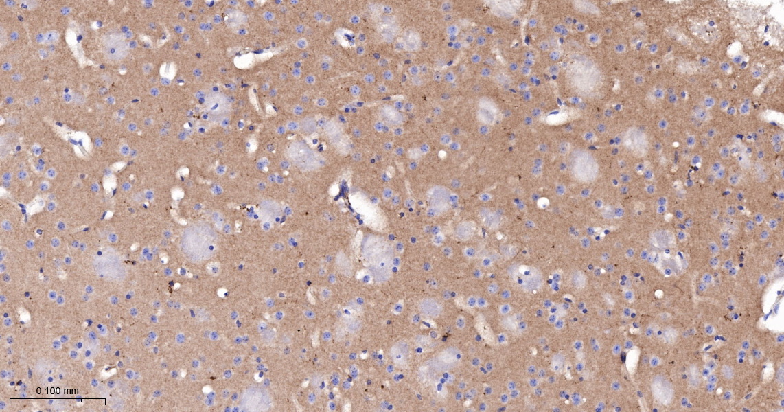
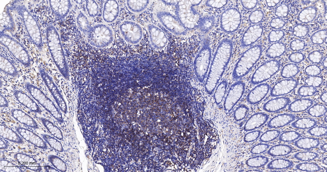
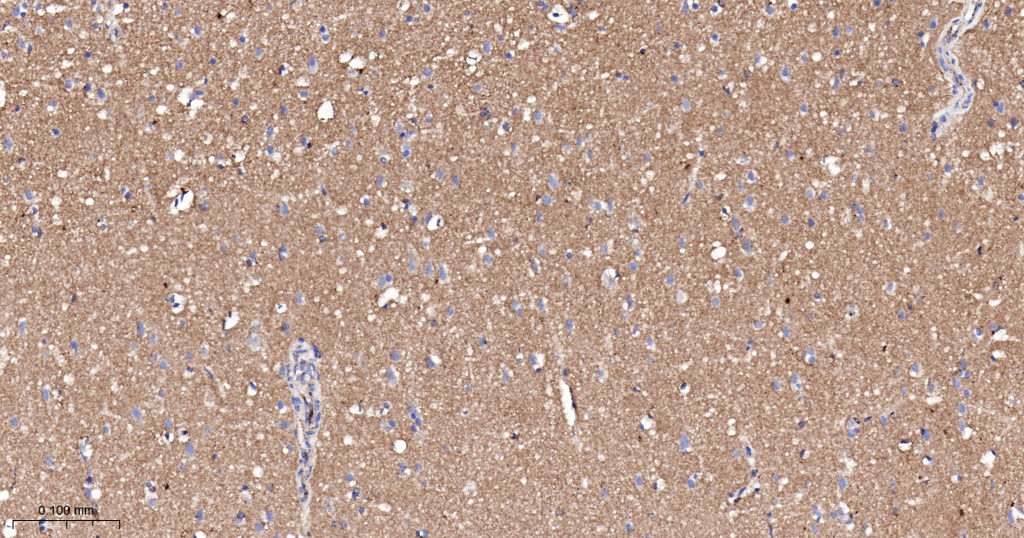
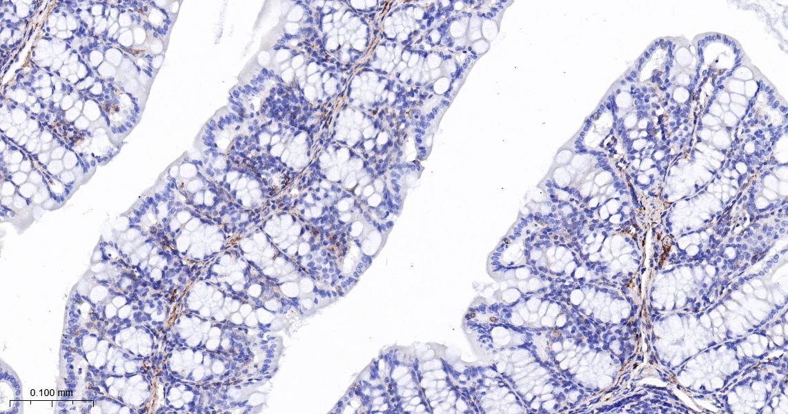
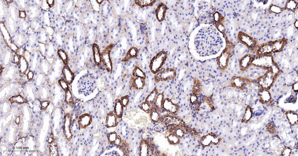
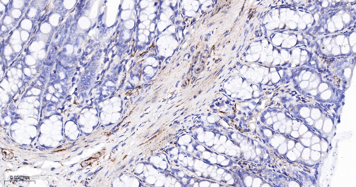
Applications WB, IHC-P, IHC-F, IP, IF
Reactivity Human
Predicted Reactivity Mouse, Rat
Specifications
Conjugation Unconjugated
Host Rabbit
Source KLH conjugated synthetic peptide derived from human Flotillin 1
Clonality Recombinant
Isotype IgG
Concentration Lot dependent
Purification Purified by Protein A.
Storage Buffer 0.01M TBS (pH 7.4), 1% BSA, 0.02% Proclin 300, and 50% Glycerol
Storage Condition Shipped at 4C. Store at -20C for one year. Avoid repeated freeze/thaw cycles.
Target
Gene ID 10211
Swiss Prot O75955
Synonyms Flotillin1 ; Flotillin 1; Reggie 2; FLOT1; Integral membrane component of caveolae.
Background May act as a scaffolding protein within caveolar membranes, functionally participating in formation of caveolae or caveolae-like vesicles.
Application Dilution
WB 1:300-5000
IHC-P 1:200-400
IHC-F 1:100-500
IP 1-2ug
IF