Receive 30% off all Monoclonal IHC antibodies with code "MONO-IHC-30"! Offer valid for US customers and available internationally through distributors.

SLC45A3 Recombinant Antibody

Applications

  • WB
  • IHC-P
  • IHC-F
  • IF

Reactivity

  • Human
Overview
Catalog # bsm-62496r
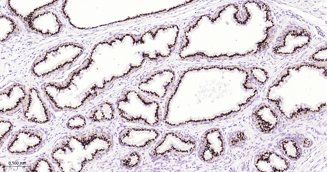
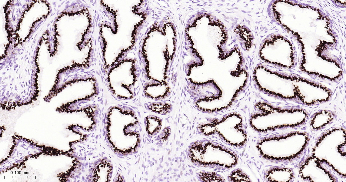
Product Name SLC45A3 Recombinant Antibody
Applications WB, IHC-P, IHC-F, IF
Reactivity Human
Specifications
Conjugation Unconjugated
Host Rabbit
Source KLH conjugated synthetic peptide derived from human SLC45A3
Clonality Recombinant
Isotype IgG
Concentration Lot dependent
Purification Purified by Protein A.
Storage Buffer 0.01M TBS (pH 7.4), 1% BSA, 0.02% Proclin 300, and 50% Glycerol
Storage Condition Shipped at 4C. Store at -20C for one year. Avoid repeated freeze/thaw cycles.
Target
Gene ID 85414
Swiss Prot Q96JT2
Synonyms IPCA6; PCANAP2; PCANAP6; PCANAP8; Prostein; PRST; Slc45a3.
Background Proton-associated sucrose transporter. May be able to transport also glucose and fructose.
Application Dilution
WB 1:300-5000
IHC-P 1:200-400
IHC-F 1:100-500
IF