RECEIVE 25% OFF PUBLISHED ANTIBODIES WITH CODE "PUB25"! Offer valid for US customers and available internationally through distributors.

CD84 Recombinant Antibody

Applications

  • WB
  • FCM
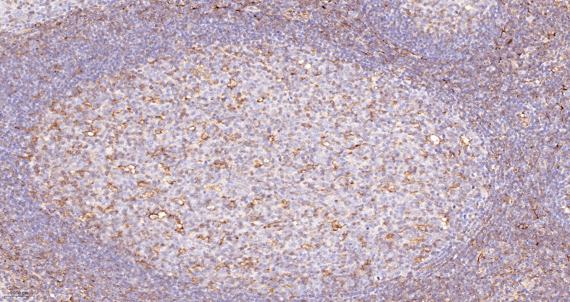
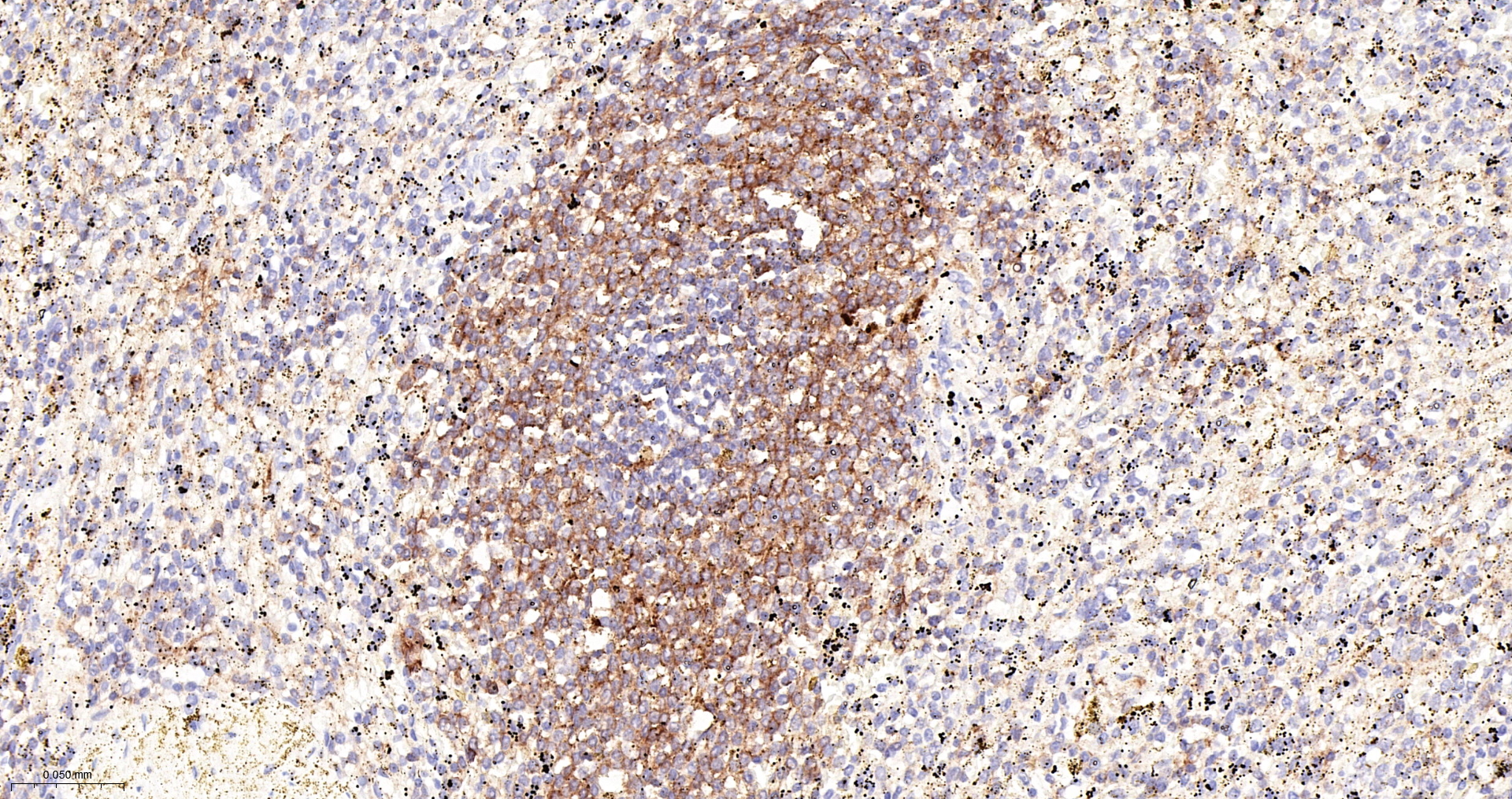
  • IHC-P
  • IHC-F
  • IF(IHC-P)
  • IF(ICC)

Reactivity

  • Human
Overview
Catalog # bsm-62503r-100ul
Product Name CD84 Recombinant Antibody
Applications WB, FCM, IHC-P, IHC-F, IF(IHC-P), IF(ICC)
Reactivity Human
Specifications
Conjugation Unconjugated
Host Rabbit
Source KLH conjugated synthetic peptide derived from human CD84
Clonality Recombinant
Isotype IgG
Concentration Lot dependent
Purification Purified by Protein A.
Storage Buffer 0.01M TBS (pH 7.4), 1% BSA, 0.02% Proclin 300, and 50% Glycerol
Storage Condition Shipped at 4C. Store at -20C for one year. Avoid repeated freeze/thaw cycles.
Target
Gene ID 8832
Swiss Prot Q9UIB8
Synonyms CD84; CDw84; hCD84; LY9B; mCD84; SLAMF5.
Background Self-ligand receptor of the signaling lymphocytic activation molecule (SLAM) family. SLAM receptors triggered by homo- or heterotypic cell-cell interactions are modulating the activation and differentiation of a wide variety of immune cells and thus are involved in the regulation and interconnection of both innate and adaptive immune response. Activities are controlled by presence or absence of small cytoplasmic adapter proteins, SH2D1A/SAP and/or SH2D1B/EAT-2.
Application Dilution
WB 1:500-2000
FCM FCM1:50-100
IHC-P IHC-P1:100-500
IHC-F IHC-F1:100-500
IF(IHC-P) IFIHC-P1:100-500
IF(ICC) IFICC1:100-500