RECEIVE 25% OFF PUBLISHED ANTIBODIES WITH CODE "PUB25"! Offer valid for US customers and available internationally through distributors.

PPCS Recombinant Antibody

Applications

  • WB
  • IHC-P
  • IHC-F
  • IF(IHC-P)
  • IF(ICC)

Reactivity

  • Human
Overview
Catalog # bsm-62644r-100ul
Product Name PPCS Recombinant Antibody
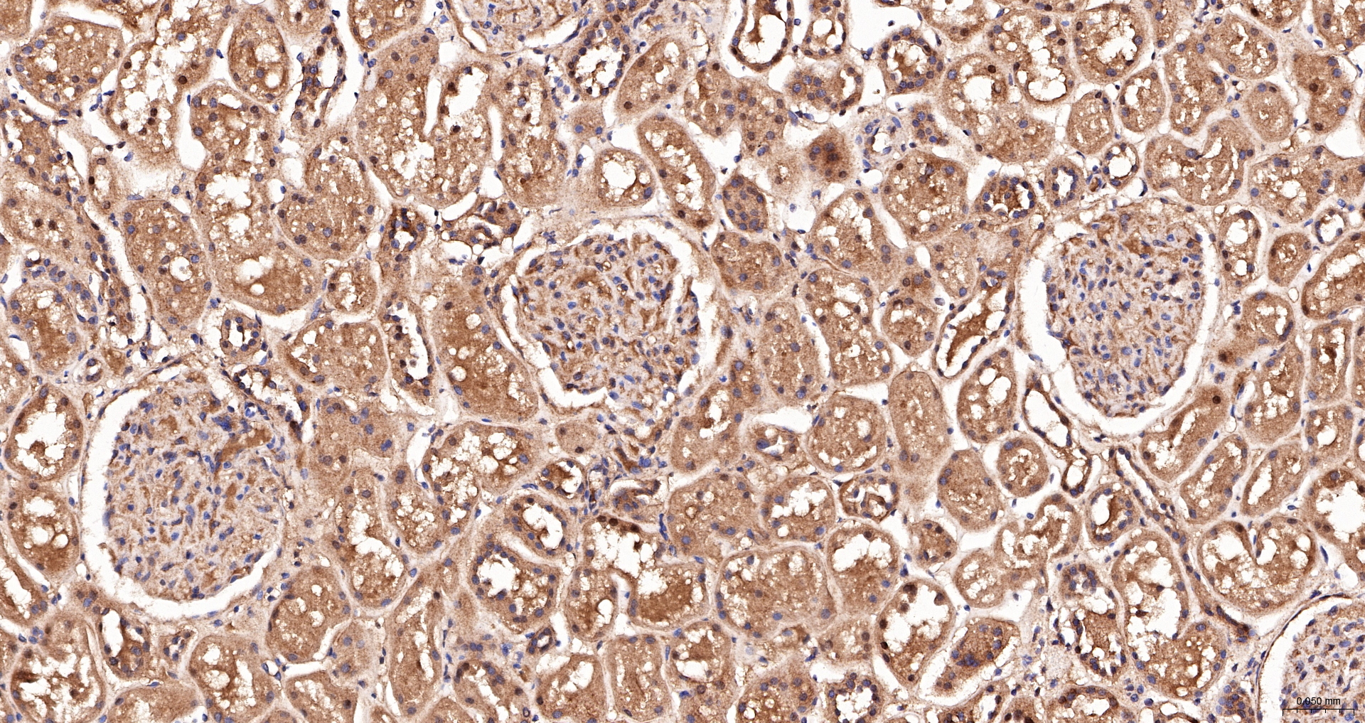
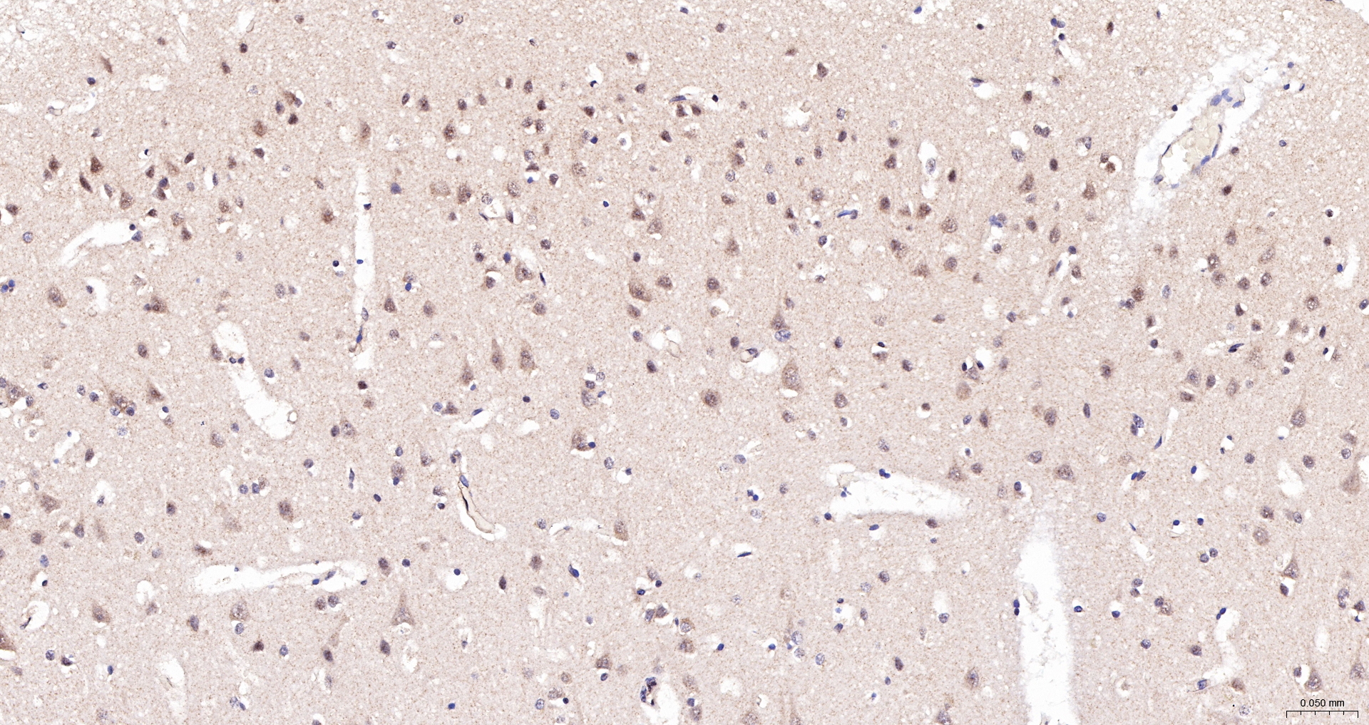
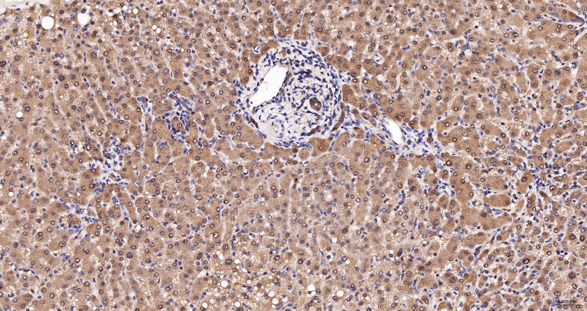
Applications WB, IHC-P, IHC-F, IF(IHC-P), IF(ICC)
Reactivity Human
Specifications
Conjugation Unconjugated
Host Rabbit
Source KLH conjugated synthetic peptide derived from human PPCS
Clonality Recombinant
Isotype IgG
Concentration Lot dependent
Purification Purified by Protein A.
Storage Buffer 0.01M TBS (pH 7.4), 1% BSA, 0.02% Proclin 300, and 50% Glycerol
Storage Condition Shipped at 4C. Store at -20C for one year. Avoid repeated freeze/thaw cycles.
Target
Gene ID 79717
Swiss Prot Q9HAB8
Subcellular location Cytoplasm
Synonyms COAB; PPC synthetase; Ppcs.
Background Catalyzes the second step in the biosynthesis of coenzyme A from vitamin B5, where cysteine is conjugated to 4'-phosphopantothenate to form 4-phosphopantothenoylcysteine.Has a preference for ATP over CTP as a cosubstrate.
Application Dilution
WB 1:500-2000
IHC-P IHC-P1:100-500
IHC-F IHC-F1:100-500
IF(IHC-P) IFIHC-P1:100-500
IF(ICC) IFICC1:50-200