RECEIVE 25% OFF PUBLISHED ANTIBODIES WITH CODE "PUB25"! Offer valid for US customers and available internationally through distributors.

GNAI2 Recombinant Antibody

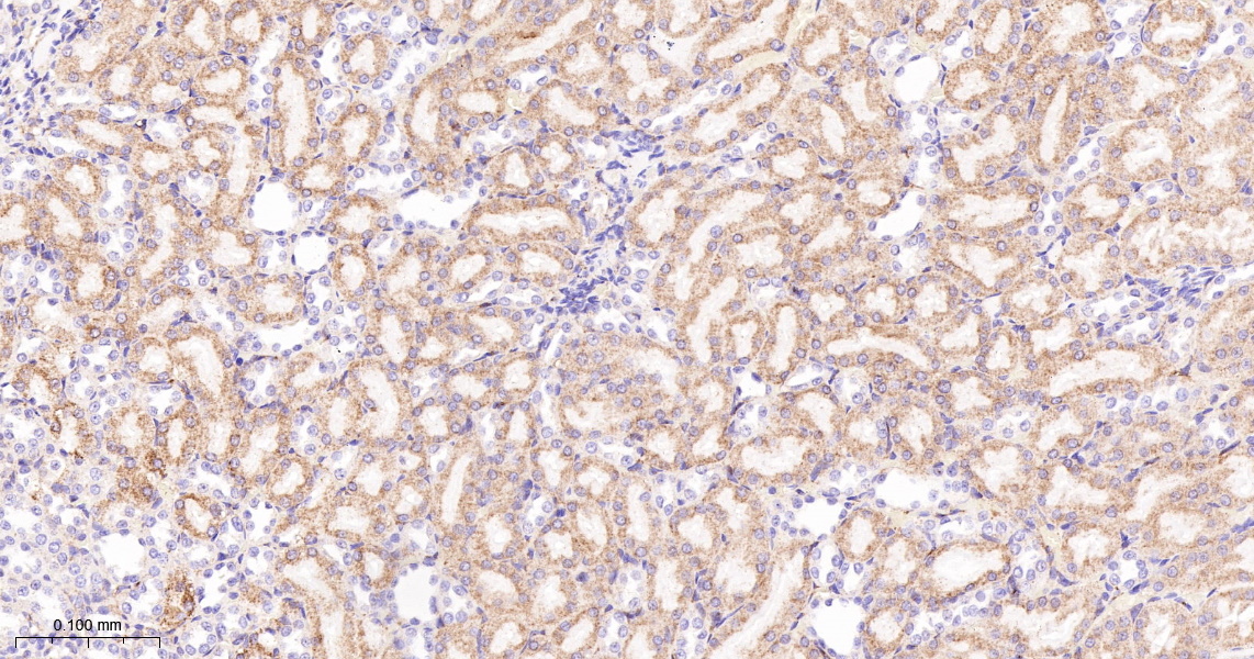
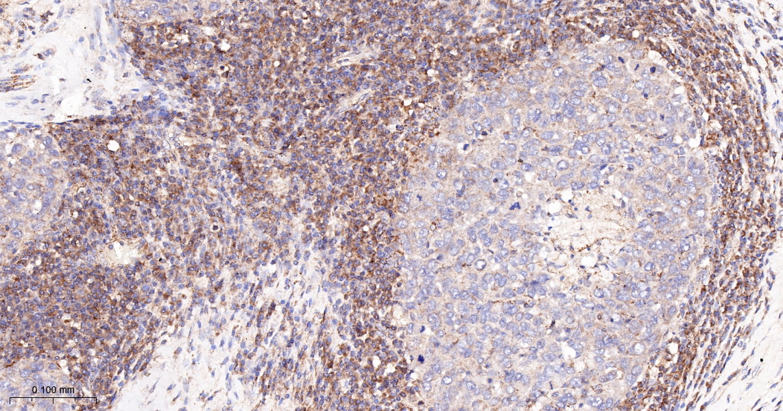
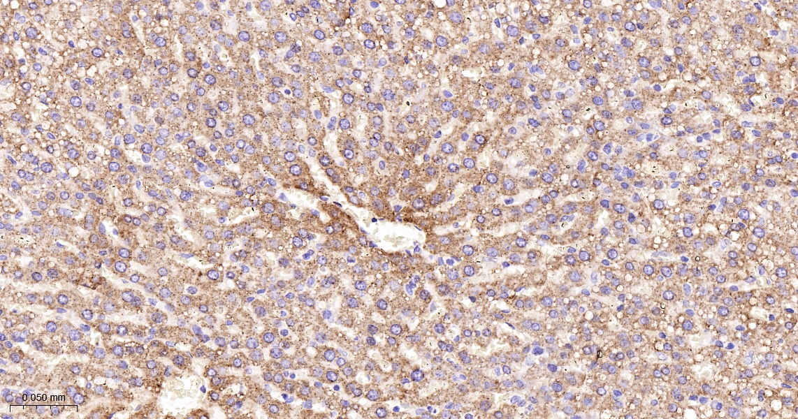
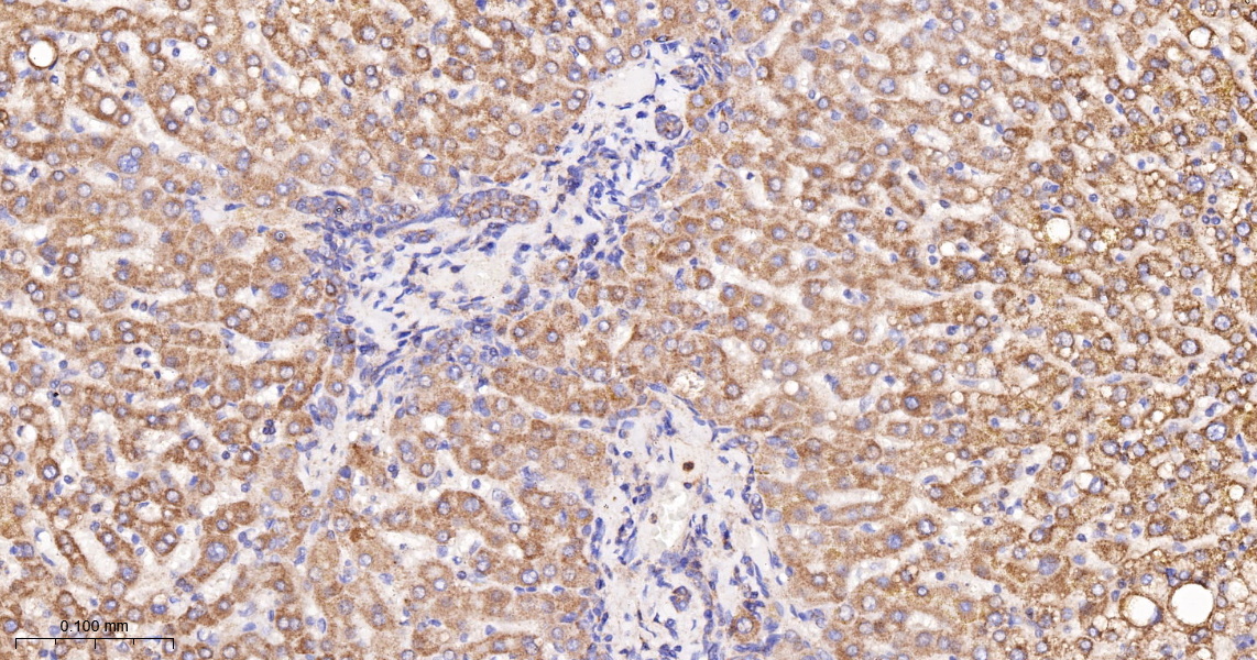
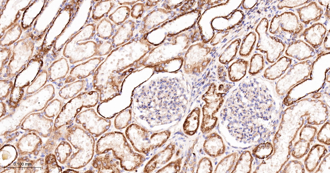
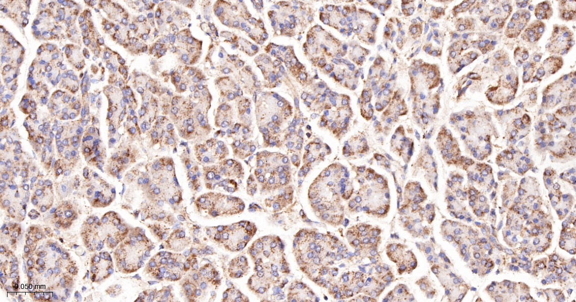
Applications

  • IHC-P
  • IHC-F
  • IF(IHC-P)

Reactivity

  • Human
  • Mouse
  • Rat
Overview
Catalog # bsm-62662r-100ul
Product Name GNAI2 Recombinant Antibody
Applications IHC-P, IHC-F, IF(IHC-P)
Reactivity Human, Mouse, Rat
Specifications
Conjugation Unconjugated
Host Rabbit
Source KLH conjugated synthetic peptide derived from human GNAI2
Clonality Recombinant
Isotype IgG
Concentration Lot dependent
Purification Purified by Protein A.
Storage Buffer 0.01M TBS (pH 7.4), 1% BSA, 0.02% Proclin 300, and 50% Glycerol
Storage Condition Shipped at 4C. Store at -20C for one year. Avoid repeated freeze/thaw cycles.
Target
Gene ID 2771
Swiss Prot P04899
Subcellular location Cytoplasm, Cell membrane
Synonyms GIP; Gnai2; GNAI2B.
Background Guanine nucleotide-binding proteins (G proteins) are involved as modulators or transducers in various transmembrane signaling systems. The G(i) proteins are involved in hormonal regulation of adenylate cyclase: they inhibit the cyclase in response to beta-adrenergic stimuli. May play a role in cell division.
Application Dilution
IHC-P 1:100-500
IHC-F IHC-F1:100-500
IF(IHC-P) IFIHC-P1:100-500