RECEIVE 25% OFF PUBLISHED ANTIBODIES WITH CODE "PUB25"! Offer valid for US customers and available internationally through distributors.

MYO1B Recombinant Antibody

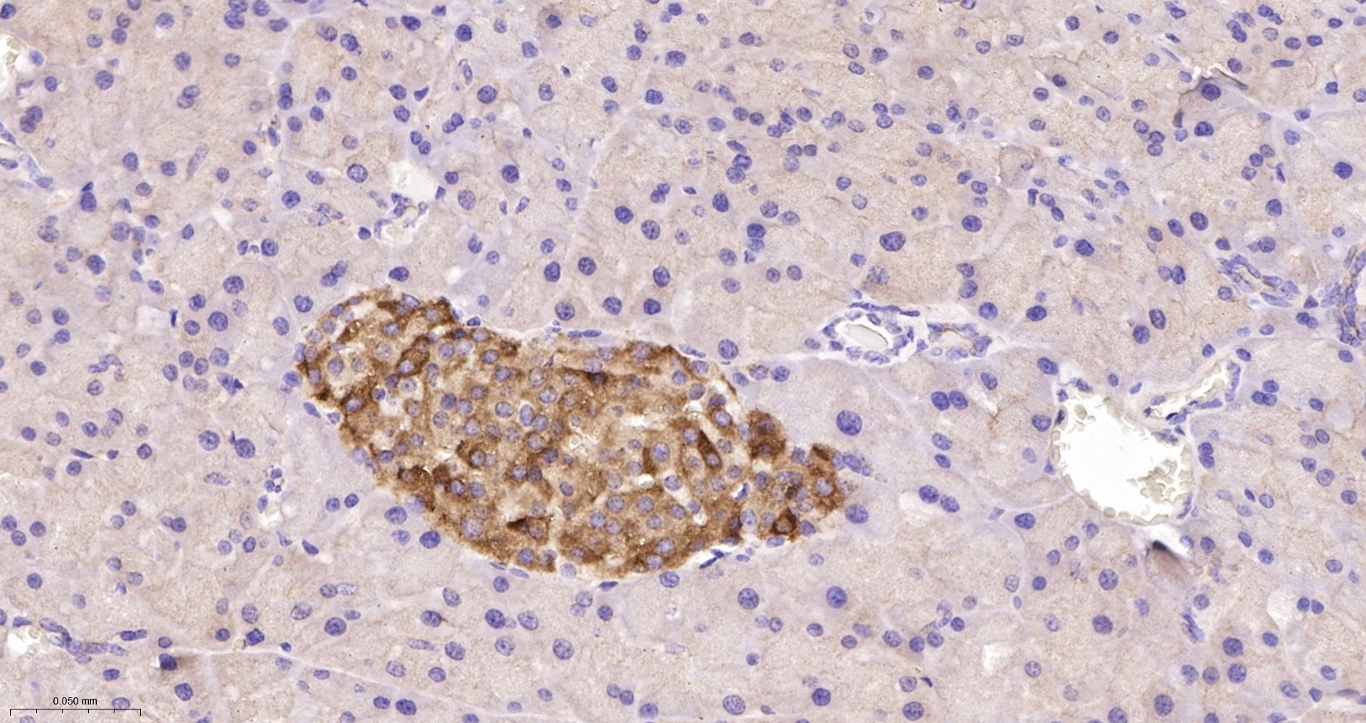
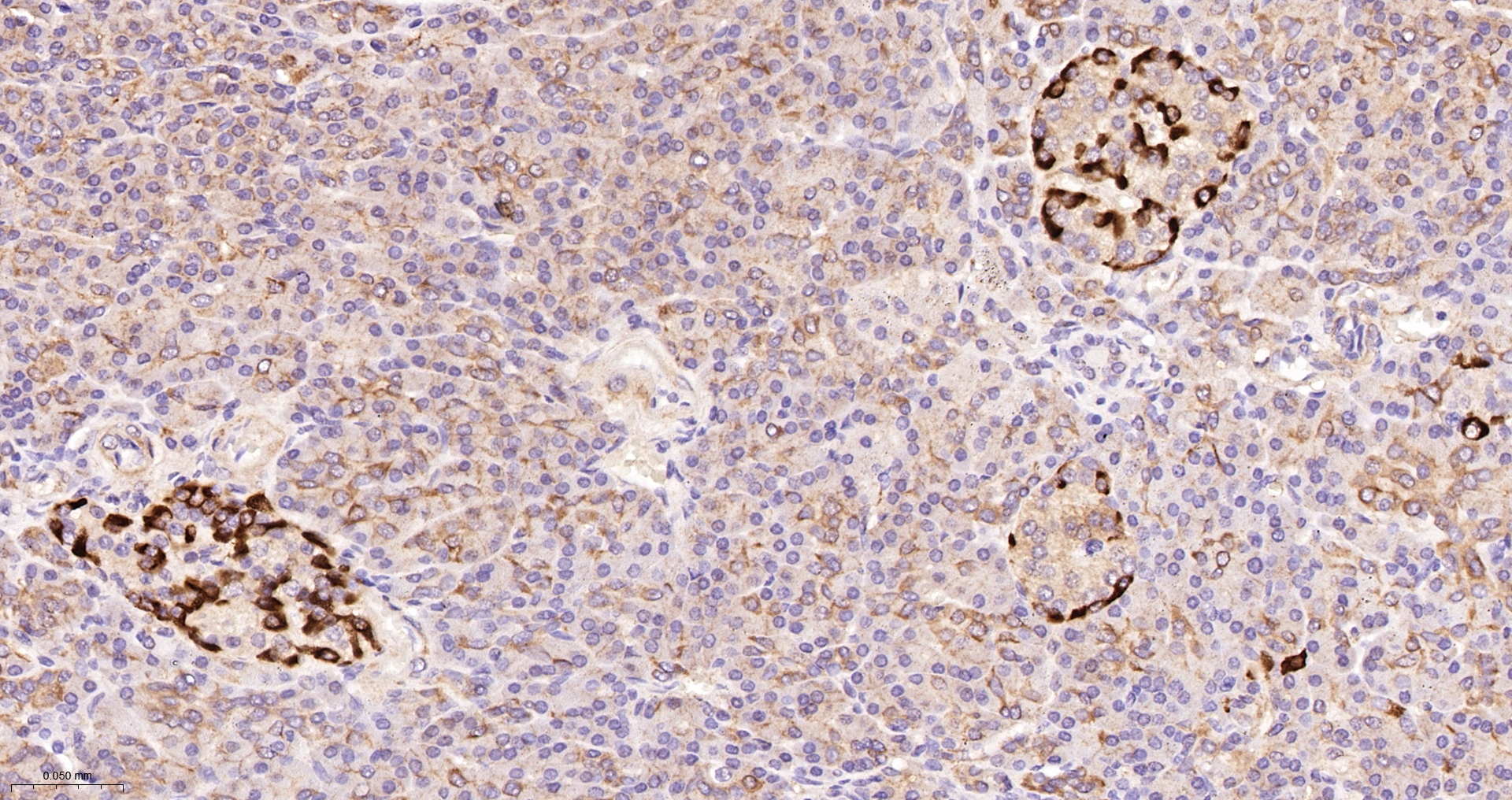
Applications

  • WB
  • IHC-P
  • IHC-F
  • IF(IHC-P)

Reactivity

  • Mouse
  • Rat

Predicted Reactivity

  • Human
Overview
Catalog # bsm-62726r-100ul
Product Name MYO1B Recombinant Antibody
Applications WB, IHC-P, IHC-F, IF(IHC-P)
Reactivity Mouse, Rat
Predicted Reactivity Human
Specifications
Conjugation Unconjugated
Host Rabbit
Source KLH conjugated synthetic peptide derived from human Myosin 1B
Clonality Recombinant
Isotype IgG
Concentration Lot dependent
Purification Purified by Protein A.
Storage Buffer 0.01M TBS (pH 7.4), 1% BSA, 0.02% Proclin 300, and 50% Glycerol
Storage Condition Shipped at 4C. Store at -20C for one year. Avoid repeated freeze/thaw cycles.
Target
Gene ID 4430
Swiss Prot O43795
Subcellular location Cytoplasm
Synonyms MMI alpha; MMIa; MYH 1c; Myo1b; myr1.
Background Motor protein that may participate in process critical to neuronal development and function such as cell migration, neurite outgrowth and vesicular transport.
Application Dilution
WB 1:500-2000
IHC-P IHC-P1:100-500
IHC-F IHC-F1:100-500
IF(IHC-P) IFIHC-P1:100-200