| Overview |
| bsm-62758r-100ul |
| c-Jun & JunD (phospho-S73/S100) Recombinant Antibody |
| WB, IHC-P, IHC-F, IF(IHC-P), IP |
| Human, Mouse |
| Specifications |
| Unconjugated |
| Rabbit |
| KLH conjugated synthetic peptide derived from human c Jun around the phosphorylation site of S73 |
| Ser73+Ser100 |
| Recombinant |
| IgG |
| Lot dependent |
| Purified by Protein A. |
| 0.01M TBS (pH 7.4), 1% BSA, 0.02% Proclin 300, and 50% Glycerol |
| Shipped at 4C. Store at -20C for one year. Avoid repeated freeze/thaw cycles. |
| Target |
| 3725 |
| P05412,P17535 |
| Nucleus |
| JunD; c-Jun. |
| Transcription factor that recognizes and binds to the AP-1 consensus motif 5'-TGA[GC]TCA-3'. Heterodimerizes with proteins of the FOS family to form an AP-1 transcription complex, thereby enhancing its DNA binding activity to the AP-1 consensus sequence 5'-TGA[GC]TCA-3' and enhancing its transcriptional activity. |
| Application Dilution |
| WB |
1:500-2000 |
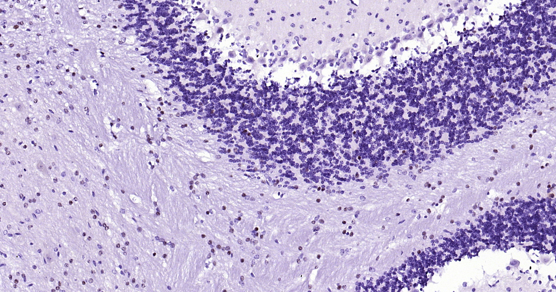
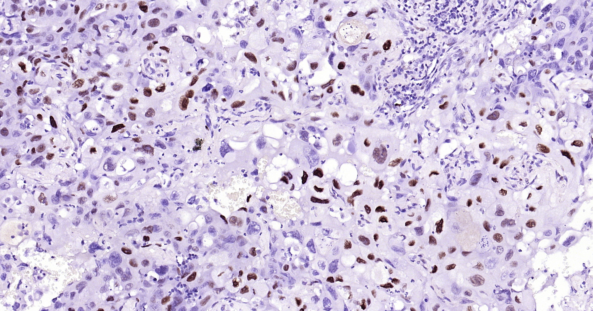
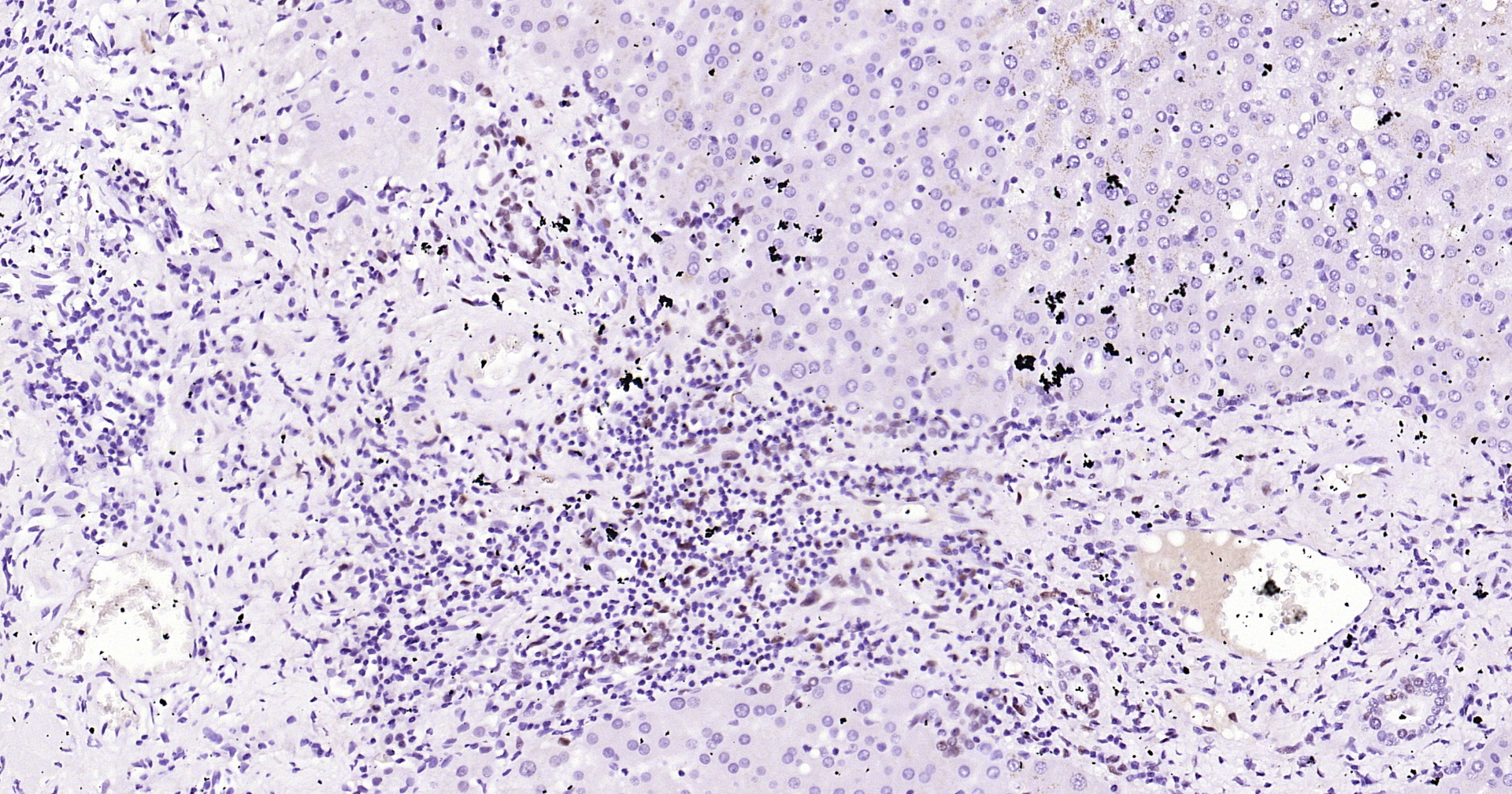
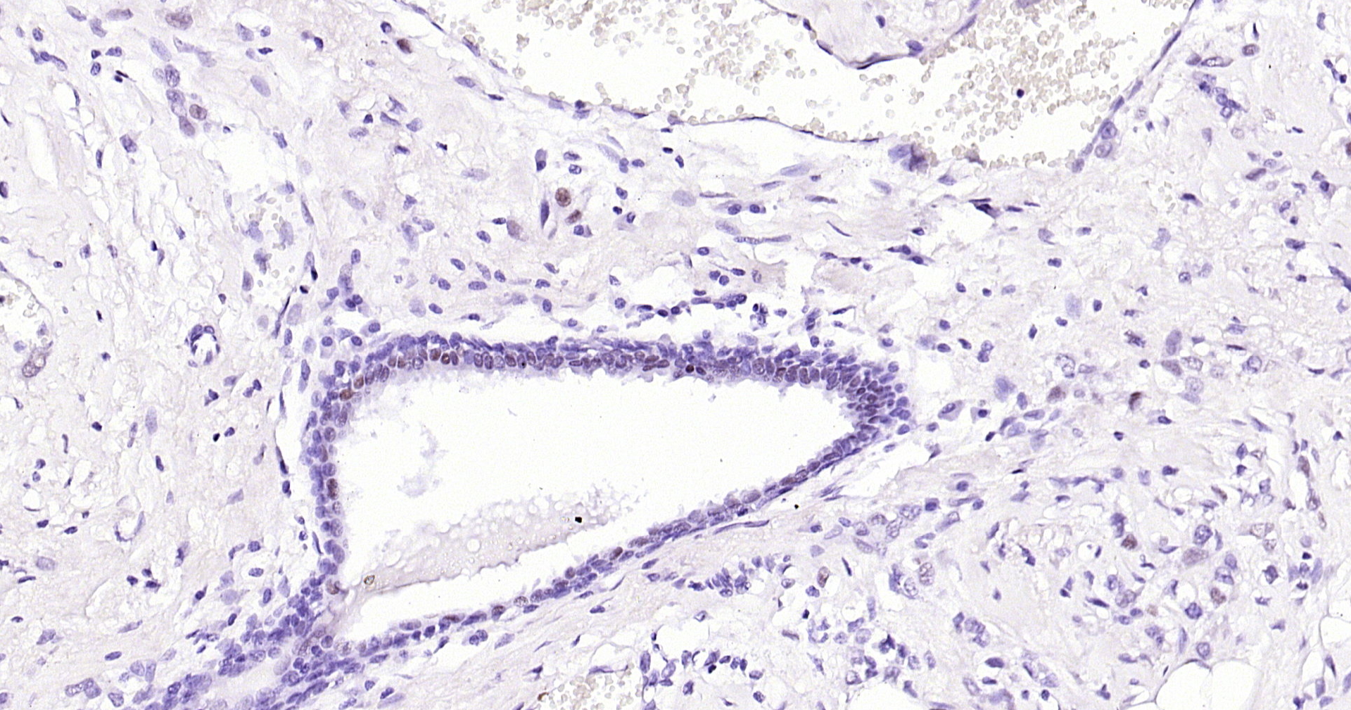
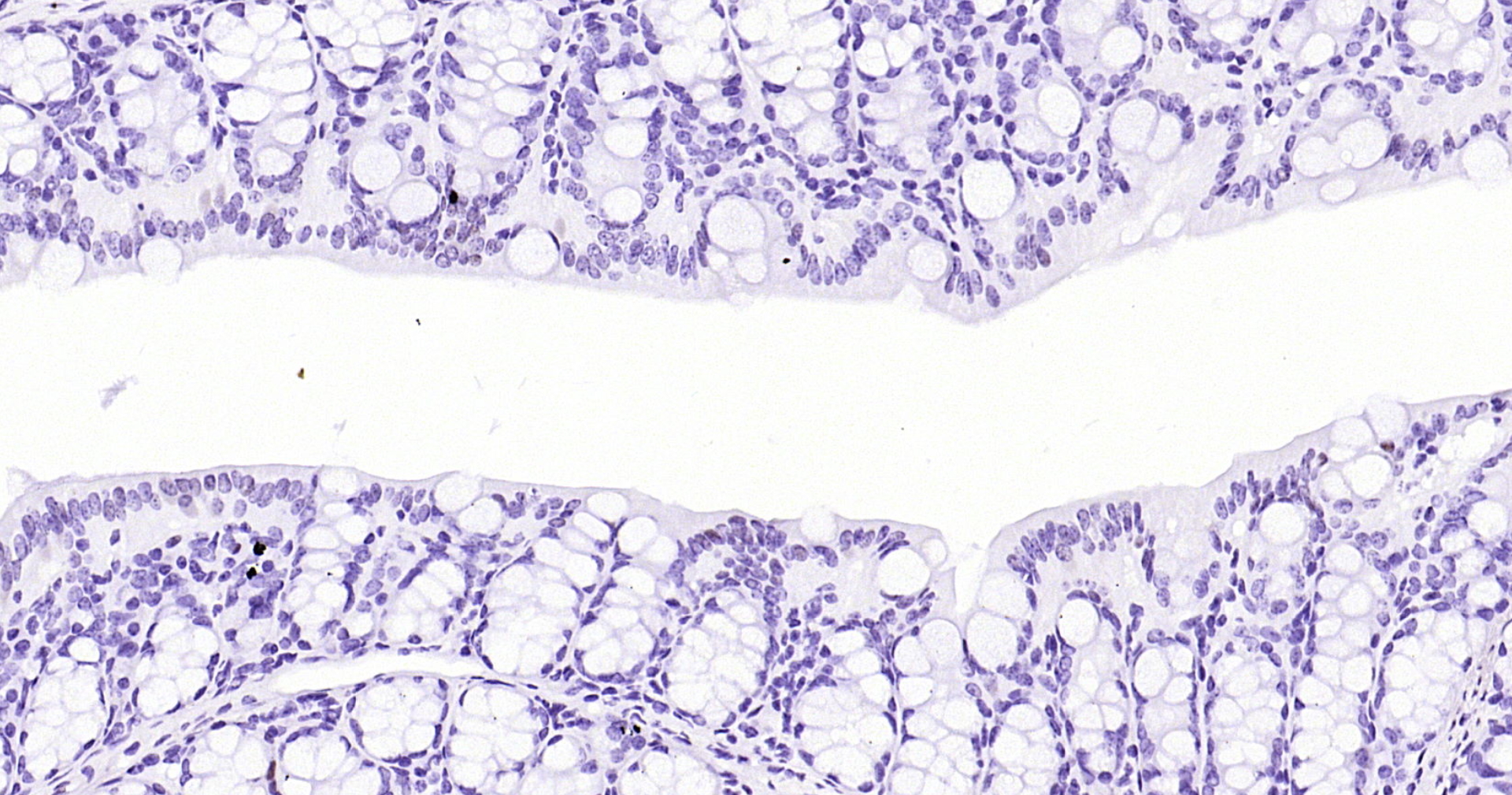
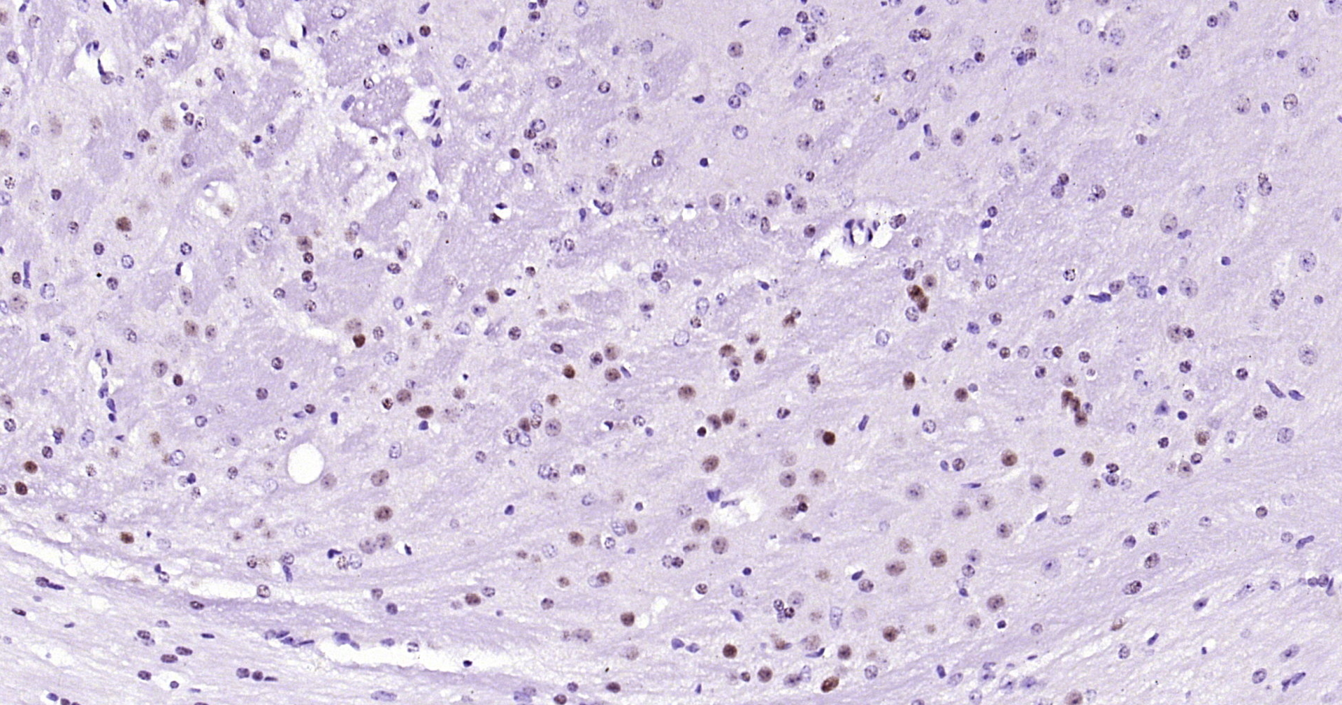
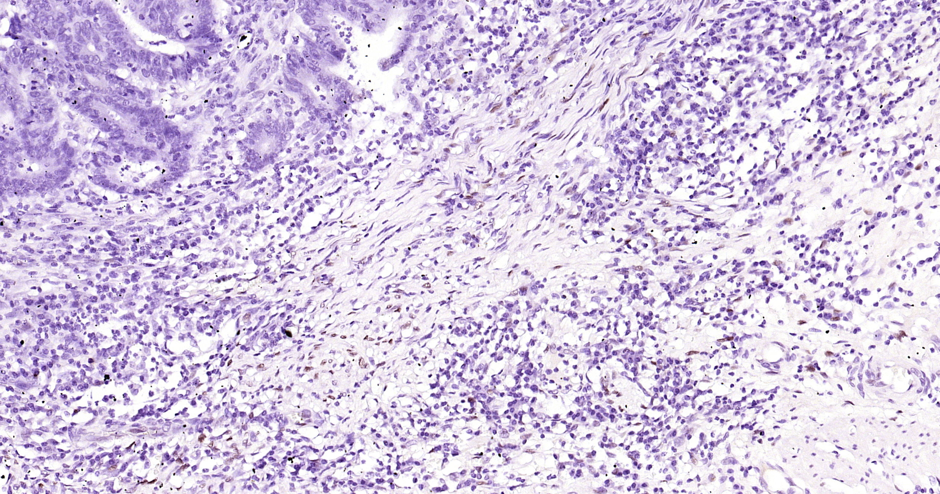
| IHC-P |
IHC-P1:50-200 |
| IHC-F |
IHC-F1:50-200 |
| IF(IHC-P) |
IFIHC-P1:50-200 |
| IP |
IP1:20-50 |