RECEIVE 25% OFF PUBLISHED ANTIBODIES WITH CODE "PUB25"! Offer valid for US customers and available internationally through distributors.

KLC3 Recombinant Antibody

Applications

  • WB
  • FCM
  • IHC-P
  • IHC-F
  • IF(IHC-P)
  • IF(ICC)
  • IP

Reactivity

  • Human
  • Mouse
Overview
Catalog # bsm-62881r-100ul
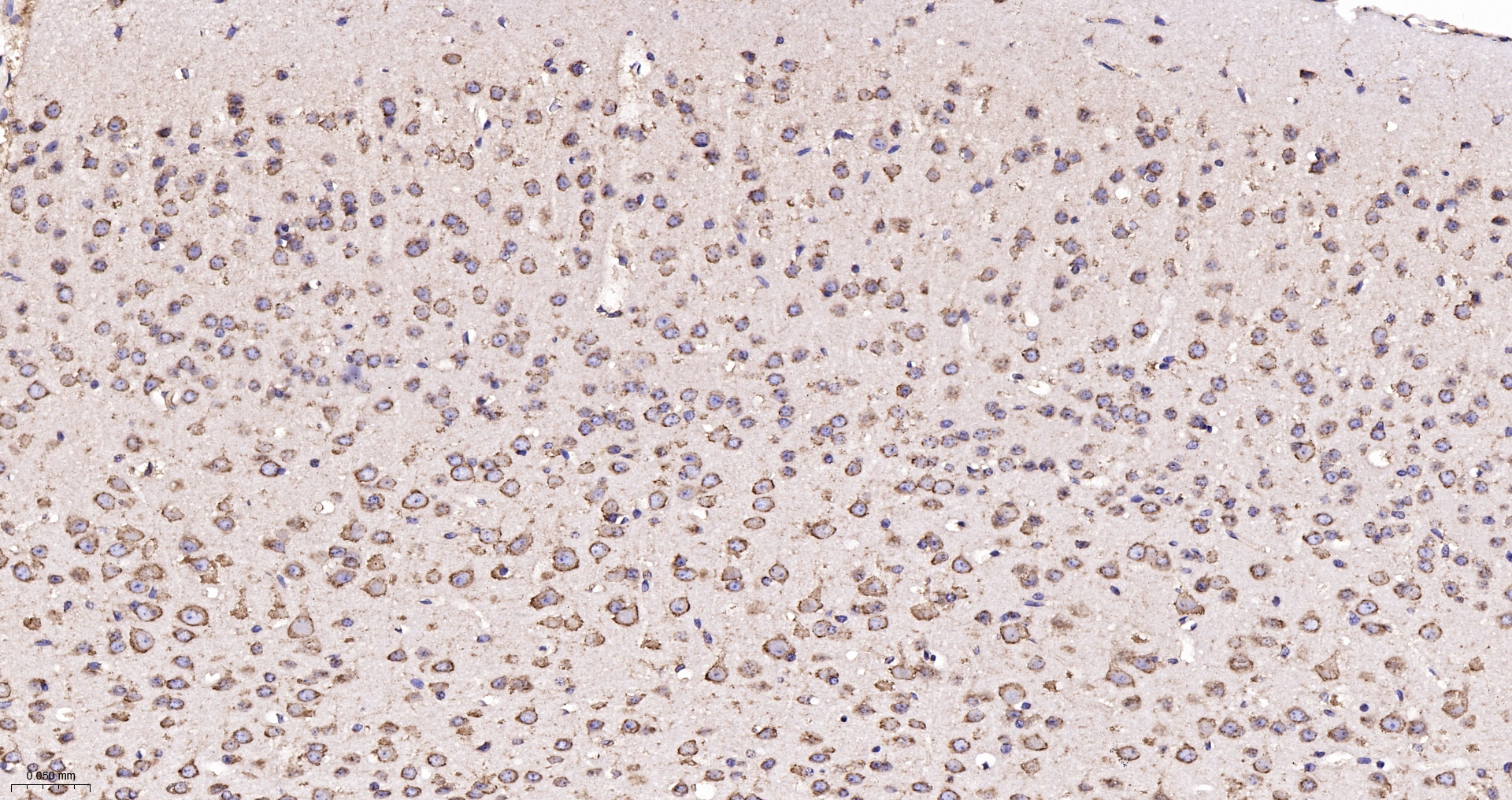
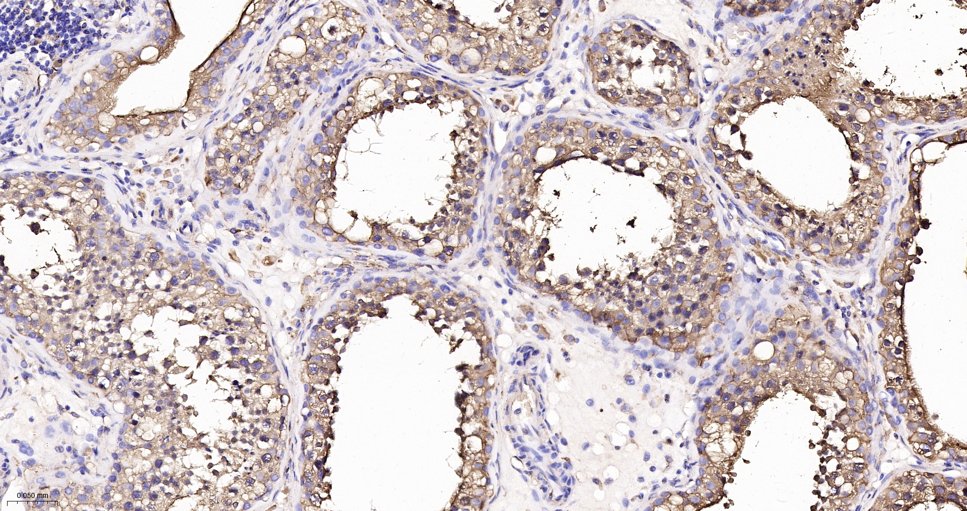
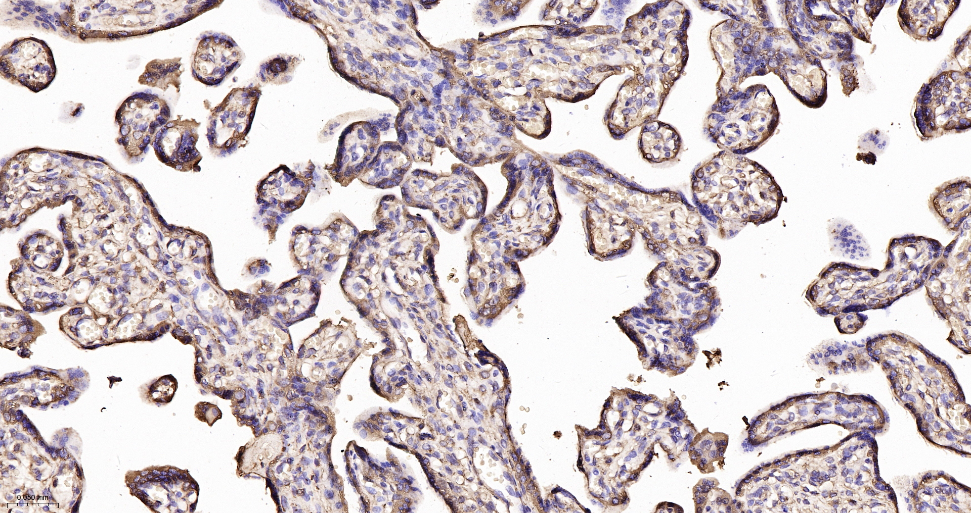
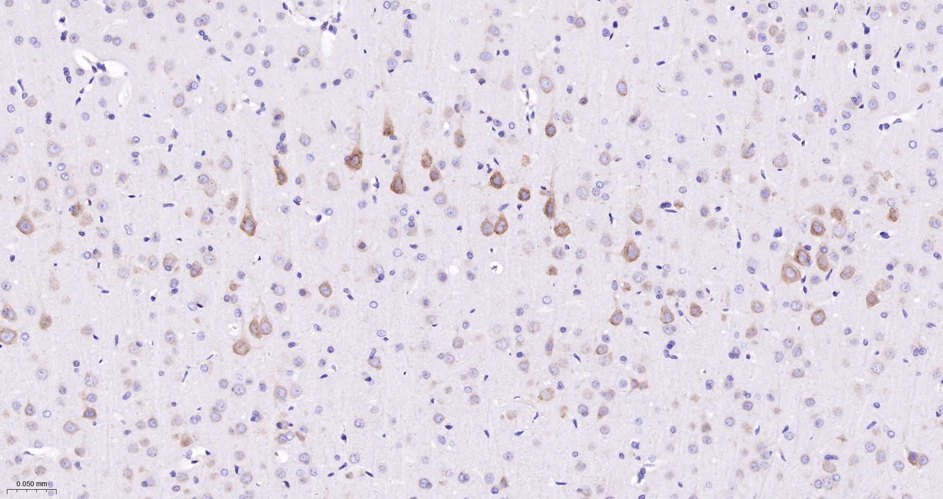
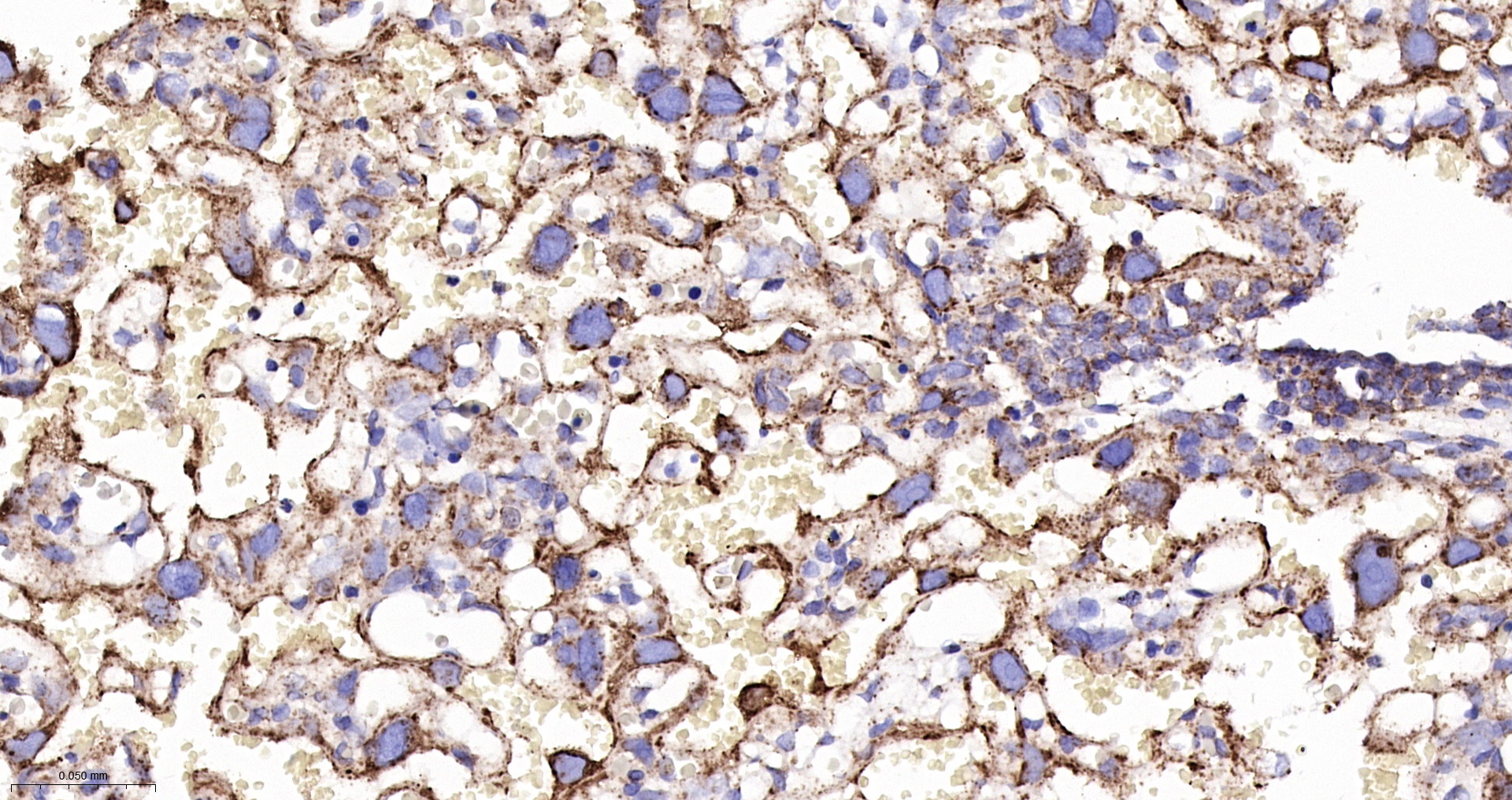
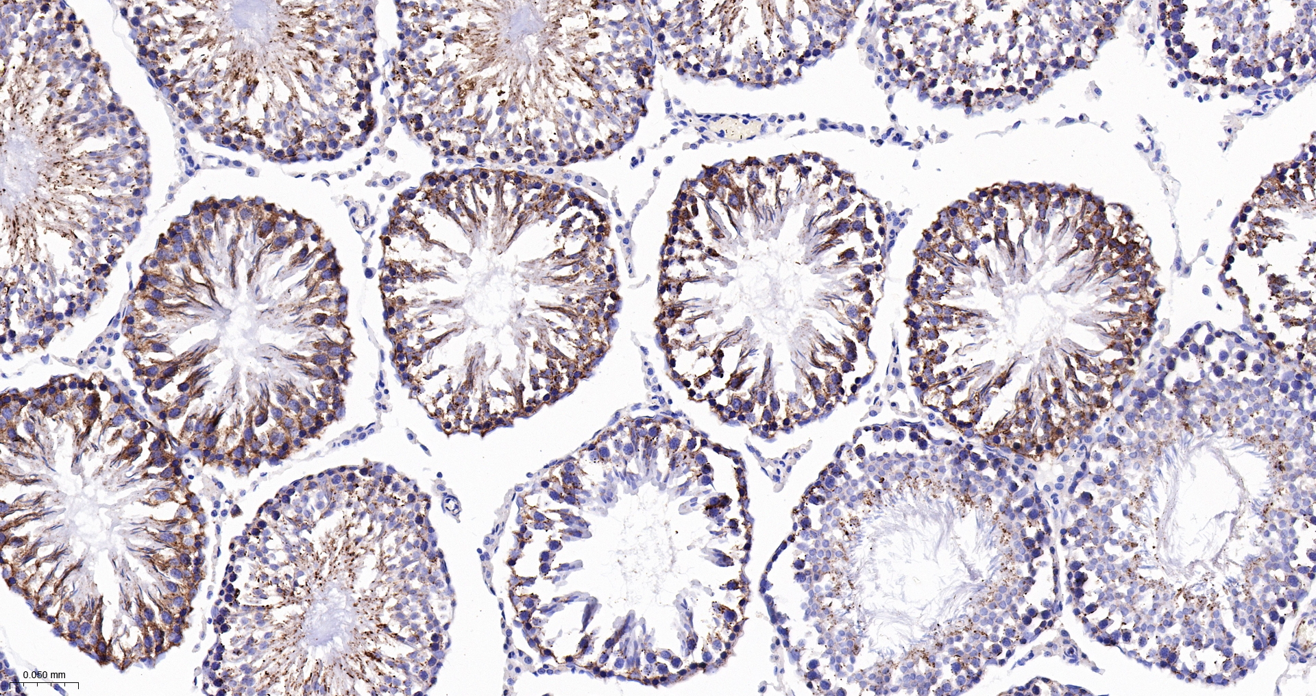
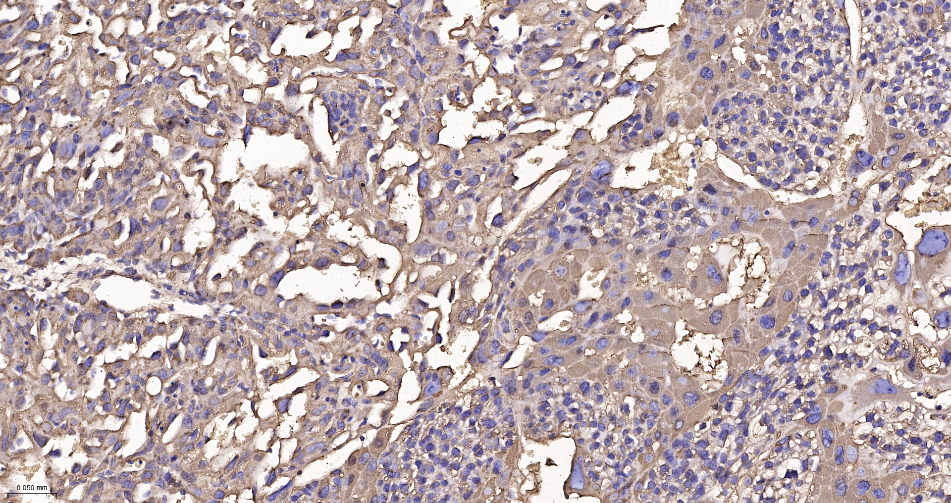
Product Name KLC3 Recombinant Antibody
Applications WB, FCM, IHC-P, IHC-F, IF(IHC-P), IF(ICC), IP
Reactivity Human, Mouse
Specifications
Conjugation Unconjugated
Host Rabbit
Source KLH conjugated synthetic peptide derived from human Kinesin light chain 3
Clonality Recombinant
Isotype IgG
Concentration Lot dependent
Purification Purified by Protein A.
Storage Buffer 0.01M TBS (pH 7.4), 1% BSA, 0.02% Proclin 300, and 50% Glycerol
Storage Condition Shipped at 4C. Store at -20C for one year. Avoid repeated freeze/thaw cycles.
Target
Gene ID 147700
Swiss Prot Q6P597
Subcellular location Cytoplasm
Synonyms KLC2; KLC2L; KLC3; KLCt; KNS2B.
Background Kinesin is a microtubule-associated force-producing protein that may play a role in organelle transport. Plays a role during spermiogenesis in the development of the sperm tail midpiece and in the normal function of spermatozoa (By similarity).
Application Dilution
WB 1:500-2000
FCM FCM1:50-100
IHC-P IHC-P1:100-200
IHC-F IHC-F1:100-200
IF(IHC-P) IFIHC-P1:100-200
IF(ICC) IFICC1:50-200
IP IP1:20-50