RECEIVE 25% OFF PUBLISHED ANTIBODIES WITH CODE "PUB25"! Offer valid for US customers and available internationally through distributors.

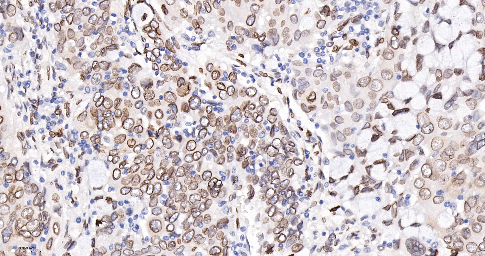
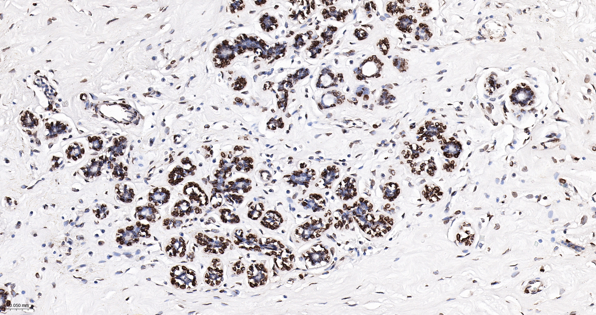
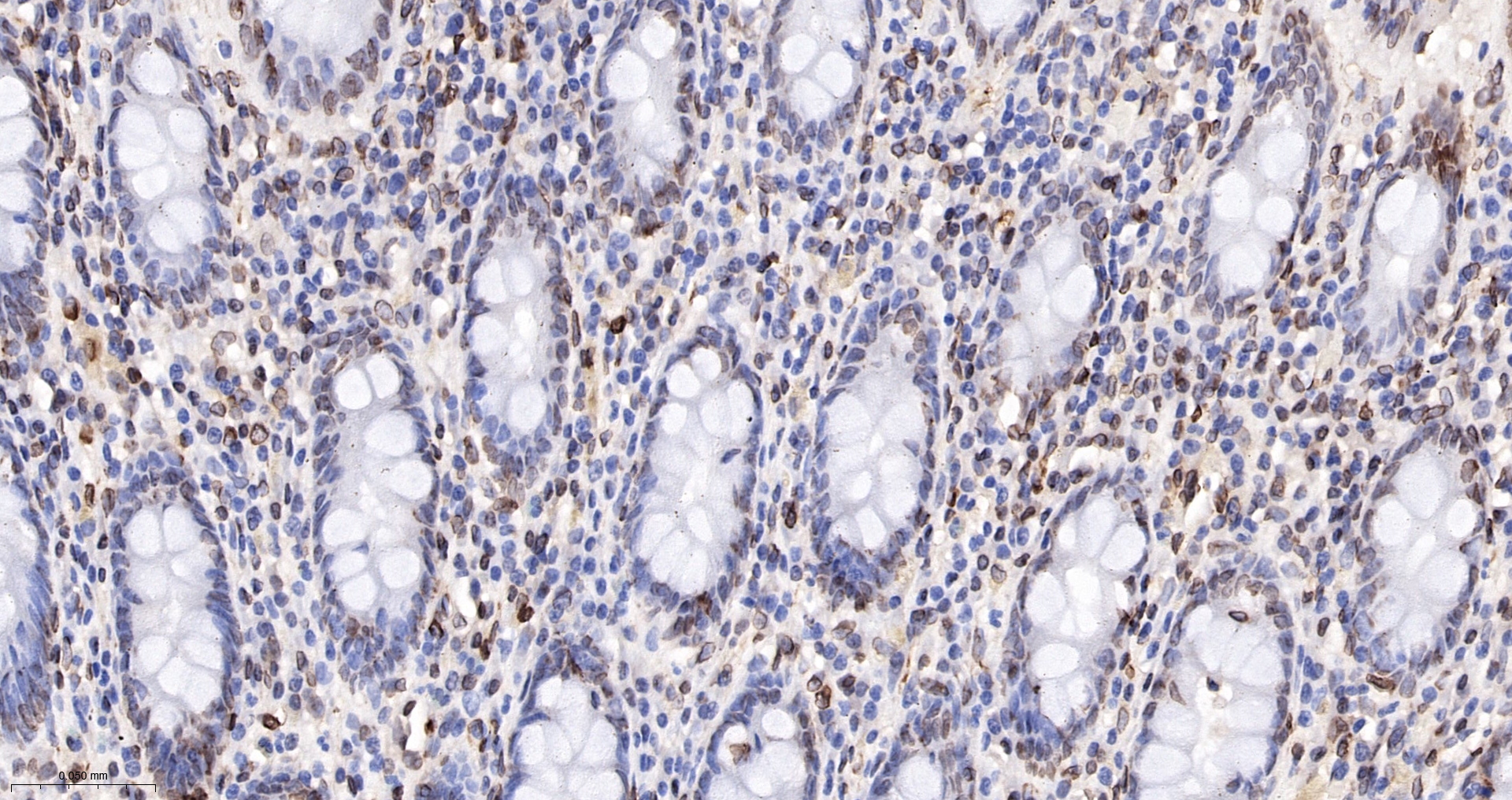
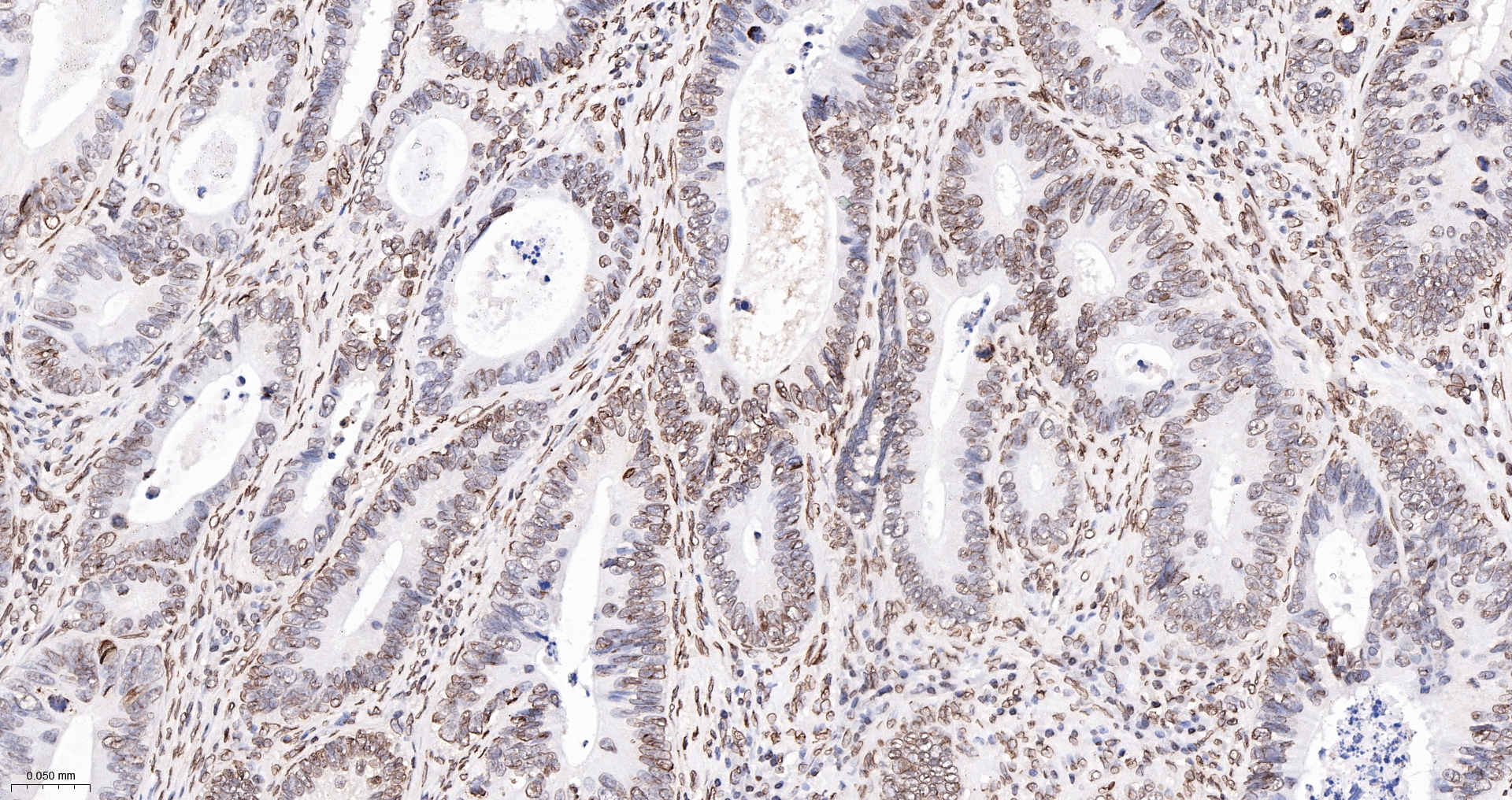
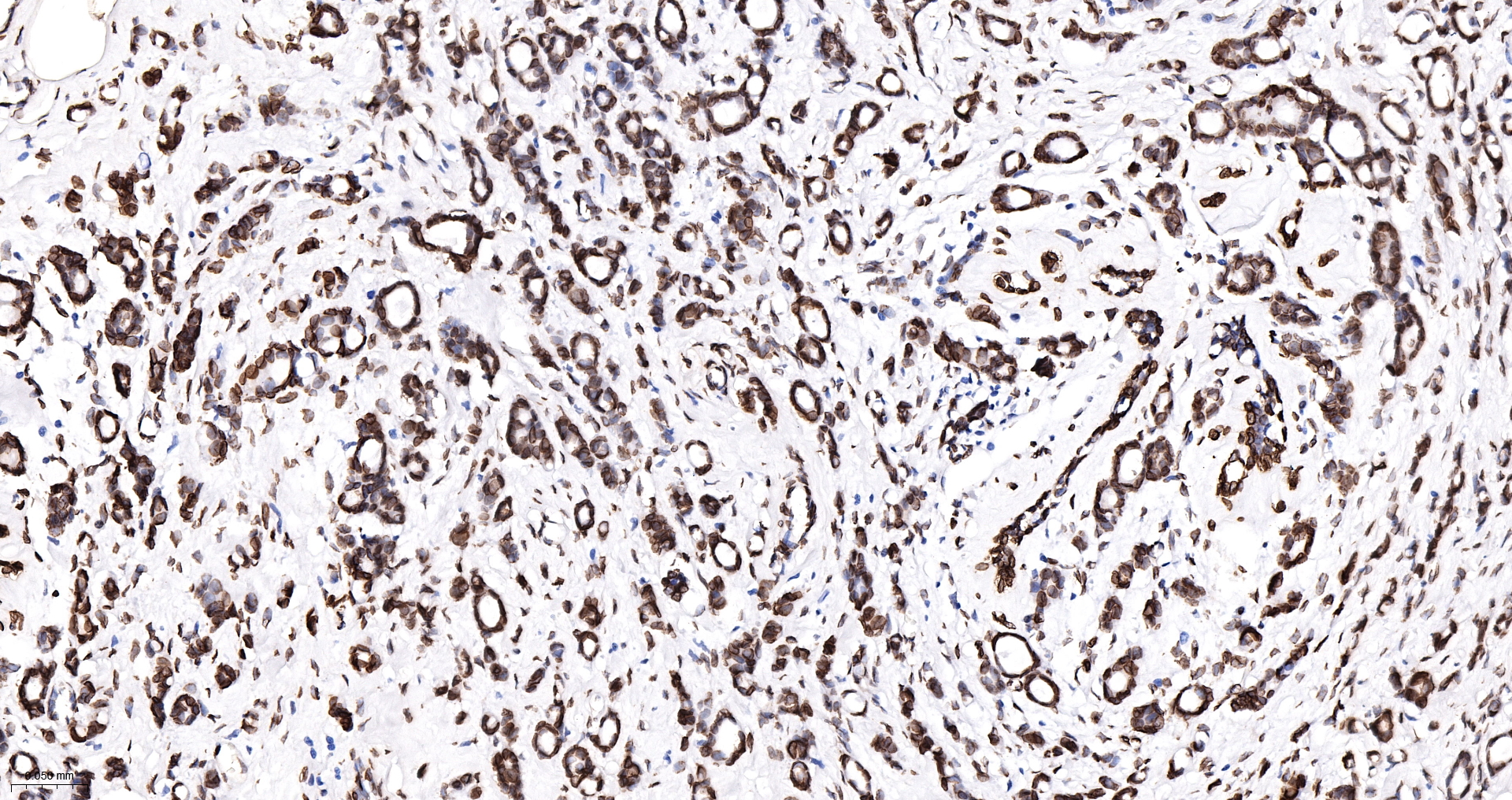
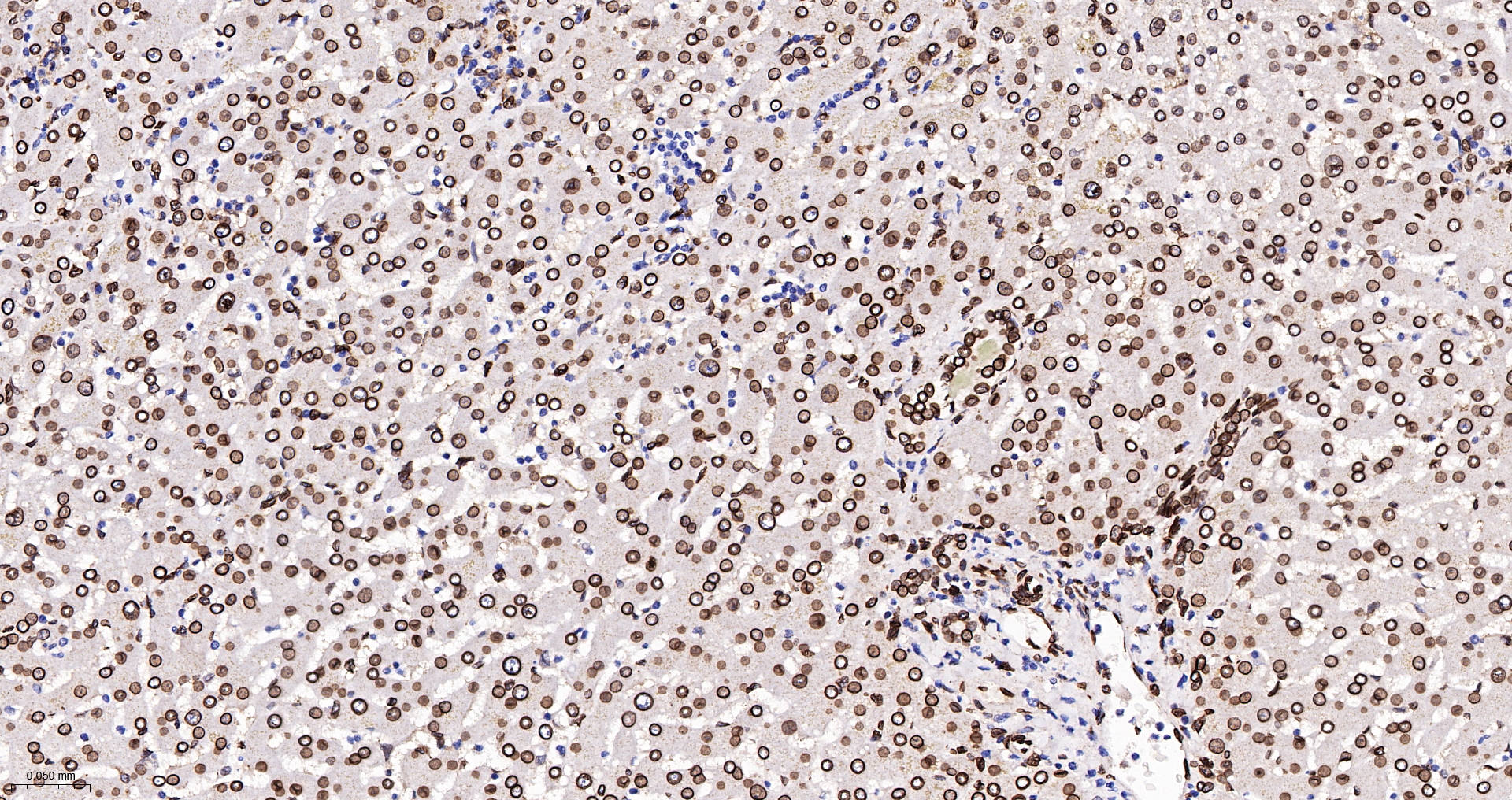
Lamin A/C Recombinant Antibody

Applications

  • WB
  • FCM
  • IHC-P
  • IHC-F
  • IF(IHC-P)
  • IF(ICC)
  • IP

Reactivity

  • Human
Overview
Catalog # bsm-62886r-100ul
Product Name Lamin A/C Recombinant Antibody
Applications WB, FCM, IHC-P, IHC-F, IF(IHC-P), IF(ICC), IP
Reactivity Human
Specifications
Conjugation Unconjugated
Host Rabbit
Source KLH conjugated synthetic peptide derived from human Lamin A/C
Clonality Recombinant
Isotype IgG
Concentration 1mg/ml
Purification Purified by Protein A.
Storage Buffer 0.01M TBS (pH 7.4), 1% BSA, 0.02% Proclin 300, and 50% Glycerol
Storage Condition Shipped at 4C. Store at -20C for one year. Avoid repeated freeze/thaw cycles.
Target
Gene ID 4000
Swiss Prot P02545
Subcellular location Nucleus
Synonyms 70 kDa lamin;LAMA,;LMN1;LMN C; lamin A/C; Lamin; HGPS; EMD2.
Background Lamins are intermediate filament proteins that assemble into a filamentous meshwork, and which constitute the major components of the nuclear lamina, a fibrous layer on the nucleoplasmic side of the inner nuclear membrane.
Application Dilution
WB 1:1000-5000
FCM FCM1:50-200
IHC-P IHC-P1:200-800
IHC-F IHC-F1:200-800
IF(IHC-P) IFIHC-P1:200-800
IF(ICC) IFICC1:100-200
IP IP1:20-50