RECEIVE 25% OFF PUBLISHED ANTIBODIES WITH CODE "PUB25"! Offer valid for US customers and available internationally through distributors.

LC3A Recombinant Antibody

Applications

  • WB
  • IHC-P
  • IHC-F
  • IF(IHC-P)
  • IF(ICC)
  • IP

Reactivity

  • Human
  • Mouse
  • Rat
Overview
Catalog # bsm-62899r-100ul
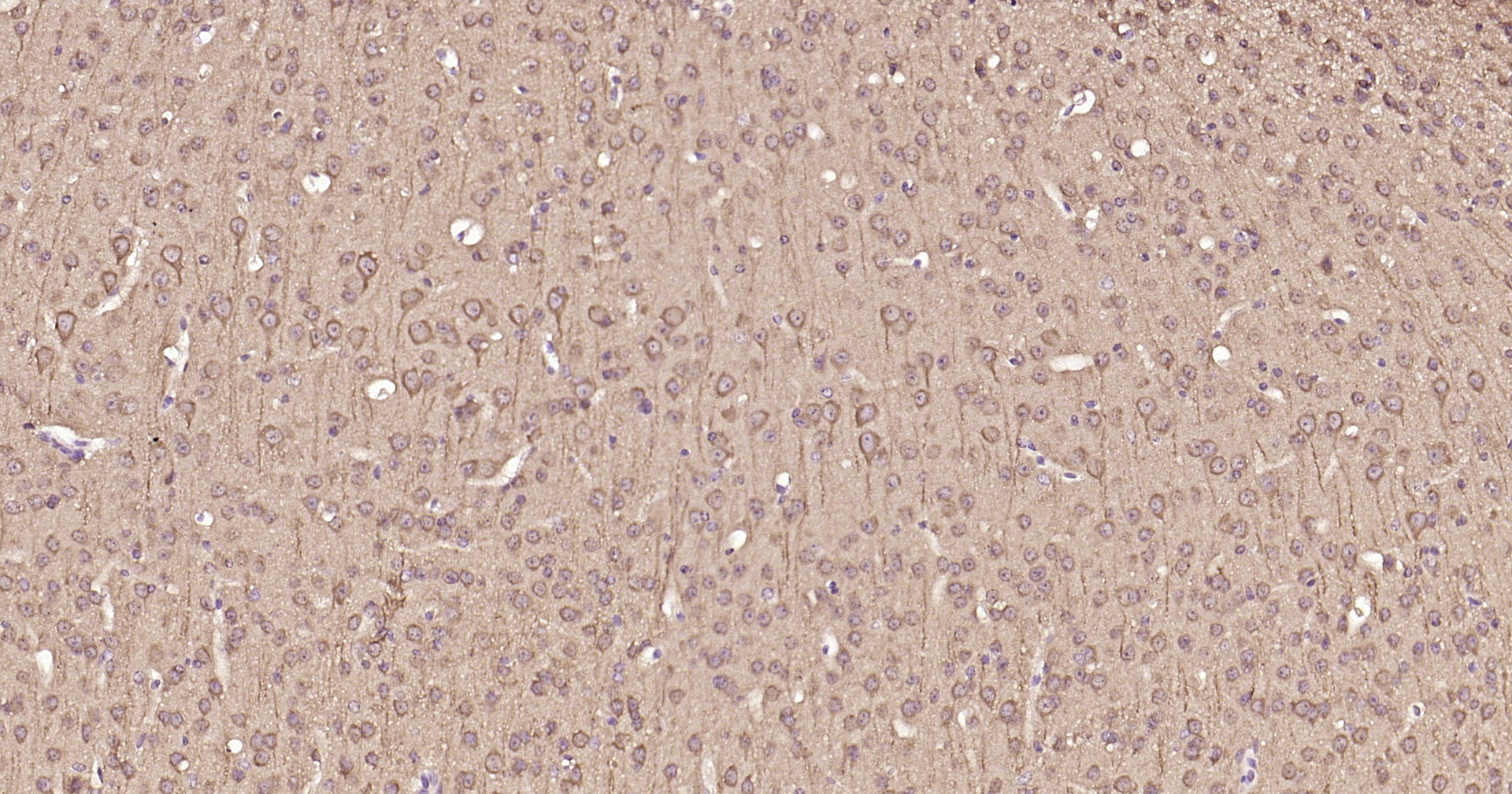
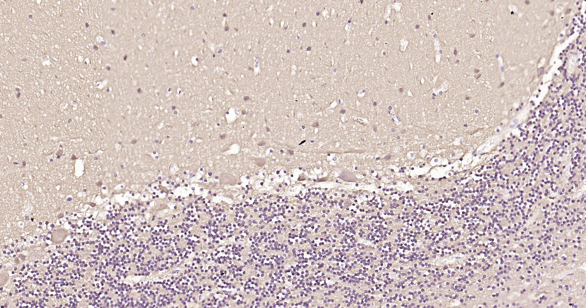
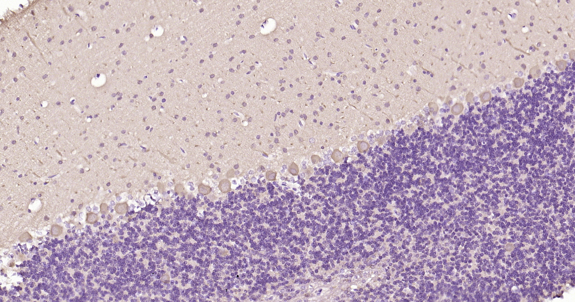
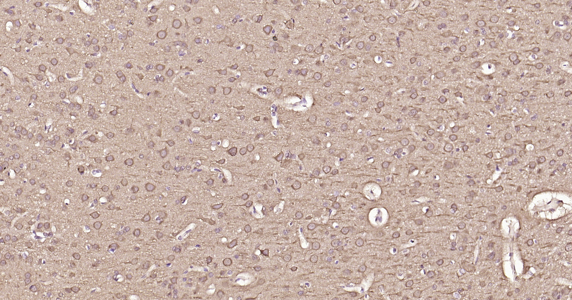
Product Name LC3A Recombinant Antibody
Applications WB, IHC-P, IHC-F, IF(IHC-P), IF(ICC), IP
Reactivity Human, Mouse, Rat
Specifications
Conjugation Unconjugated
Host Rabbit
Source KLH conjugated synthetic peptide derived from human LC3A
Clonality Recombinant
Isotype IgG
Concentration 1 mg/ml
Purification Purified by Protein A.
Storage Buffer 0.01M TBS (pH 7.4), 1% BSA, 0.02% Proclin 300, and 50% Glycerol
Storage Condition Shipped at 4C. Store at -20C for one year. Avoid repeated freeze/thaw cycles.
Target
Gene ID 84557
Swiss Prot Q9H492
Subcellular location Cytoplasm, Cell membrane
Synonyms MAP1LC3;LC3;LC3A;MAP1ALC3;MAP1BLC3 ;MAP1LC3A.
Background Ubiquitin-like modifier involved in formation of autophagosomal vacuoles .While LC3s are involved in elongation of the phagophore membrane, the GABARAP/GATE-16 subfamily is essential for a later stage in autophagosome maturation.
Application Dilution
WB 1:1000-5000
IHC-P IHC-P1:100-500
IHC-F IHC-F1:100-500
IF(IHC-P) IFIHC-P1:100-500
IF(ICC) IFICC1:50-200
IP IP1:20-50