| Overview |
| bsm-62927r-100ul |
| Phospho-PAK1/2/3 (Ser144/Ser141/Ser154) Recombinant Antibody |
| WB, FCM, IHC-P, IHC-F, IF(IHC-P), IF(ICC), IP |
| Human, Mouse, Rat |
| Specifications |
| Unconjugated |
| Rabbit |
| KLH conjugated synthetic peptide derived from human PAK1 around the phosphorylation site of S144 |
| Ser144/Ser141/Ser154 |
| Recombinant |
| IgG |
| Lot dependent |
| Purified by Protein A. |
| 0.01M TBS (pH 7.4), 1% BSA, 0.02% Proclin 300, and 50% Glycerol |
| Shipped at 4C. Store at -20C for one year. Avoid repeated freeze/thaw cycles. |
| Target |
| 5058 |
| Q13153,Q13177,O75914 |
| Cytoplasm, Cell membrane |
| ADRB2; Alpha-PAK; CDC42/RAC effector kinase PAK-A; EC 2.7.11.1; P65-PAK; P68-PAK; PAK1 (phospho S144); PAK2 (phospho S141); PAK3 (phospho S139). |
| Serine/threonine protein kinase that plays a role in a variety of different signaling pathways including cytoskeleton regulation, cell migration, or cell cycle regulation. |
| Application Dilution |
| WB |
1:500-5000 |
| FCM |
FCM1:50-100 |
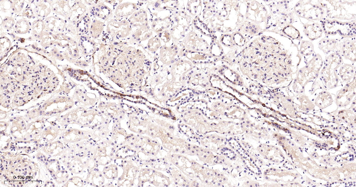
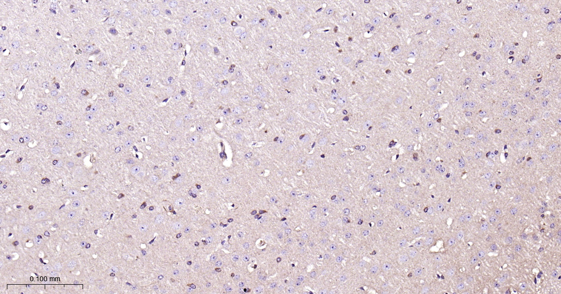
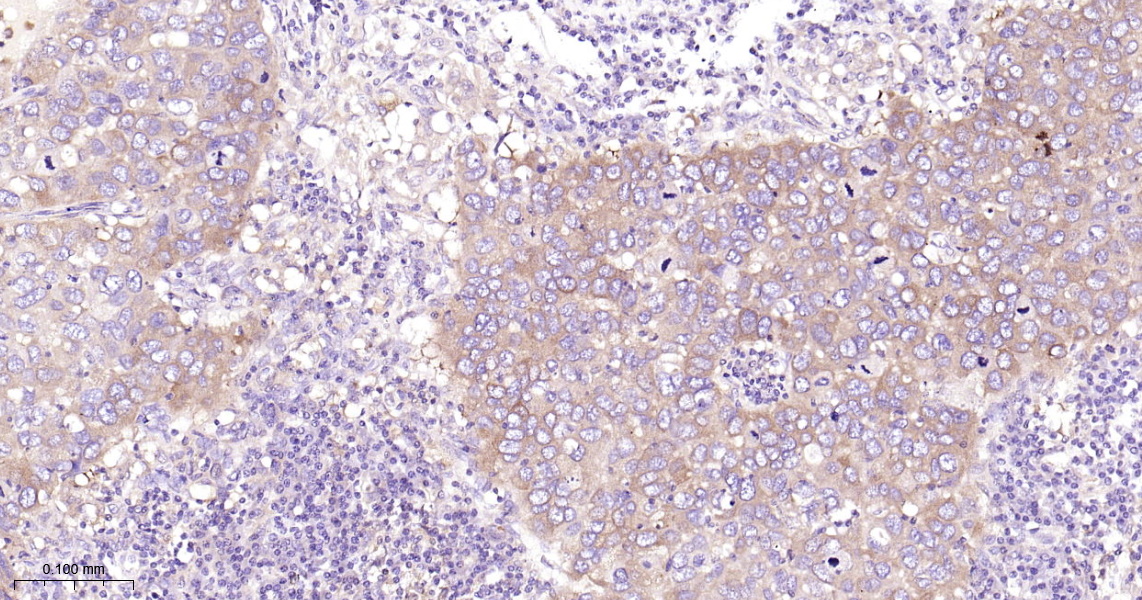
| IHC-P |
IHC-P1:100-200 |
| IHC-F |
IHC-F1:100-200 |
| IF(IHC-P) |
IFIHC-P1:100-200 |
| IF(ICC) |
IFICC1:50-200 |
| IP |
IP1:20-50 |