RECEIVE 25% OFF PUBLISHED ANTIBODIES WITH CODE "PUB25"! Offer valid for US customers and available internationally through distributors.

PON1 Recombinant Antibody

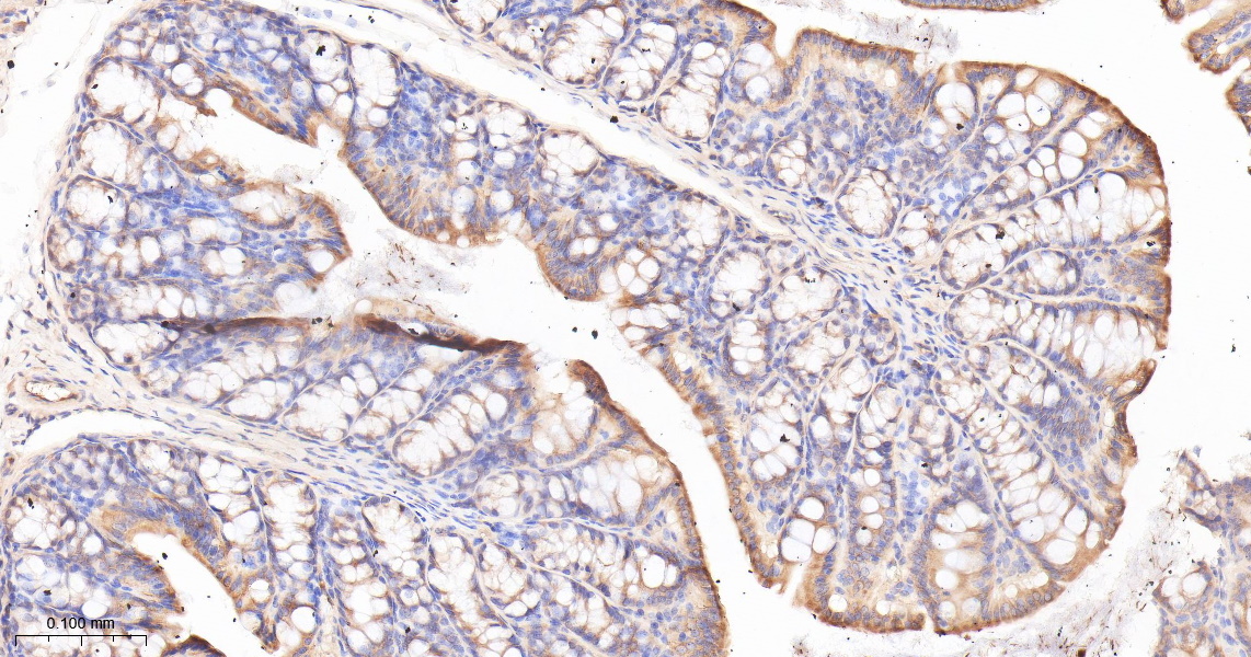
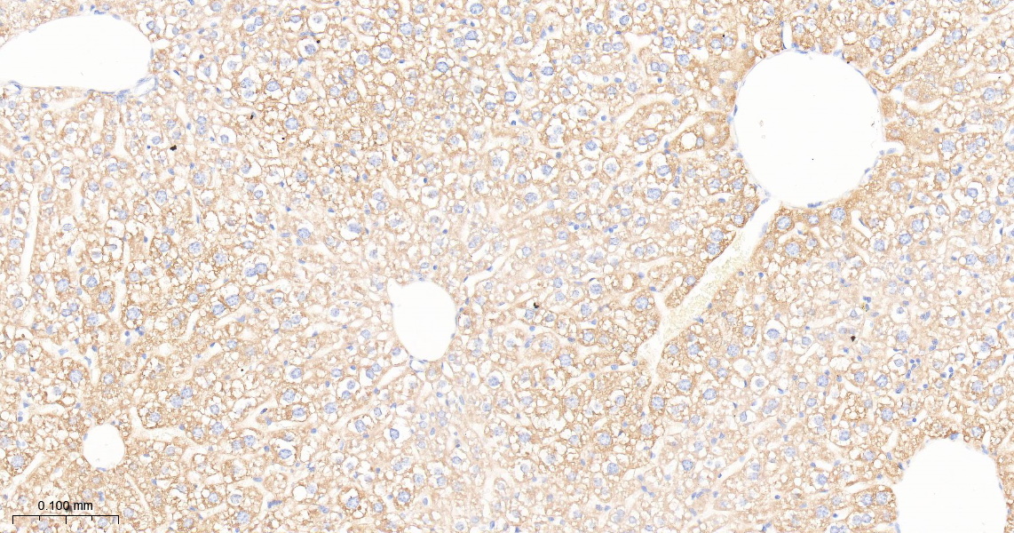
Applications

  • WB
  • IHC-P
  • IHC-F
  • IF(IHC-P)
  • IP

Reactivity

  • Human
  • Mouse
  • Rat
Overview
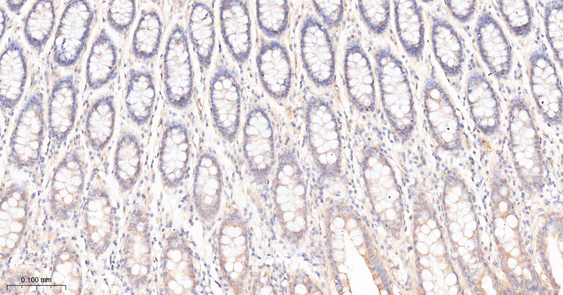
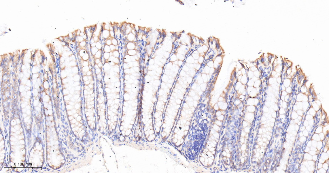
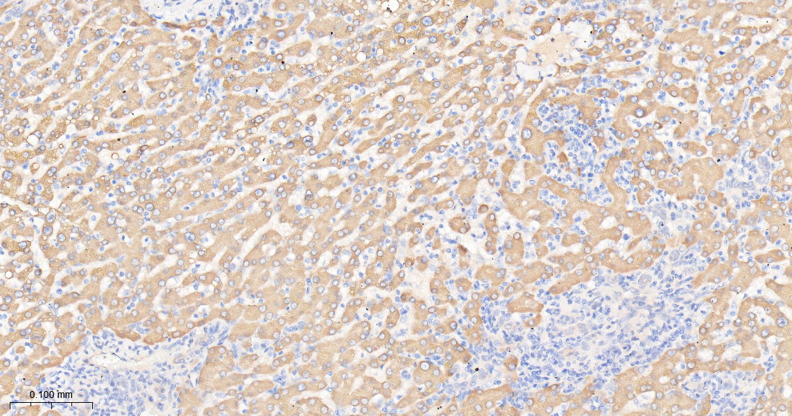
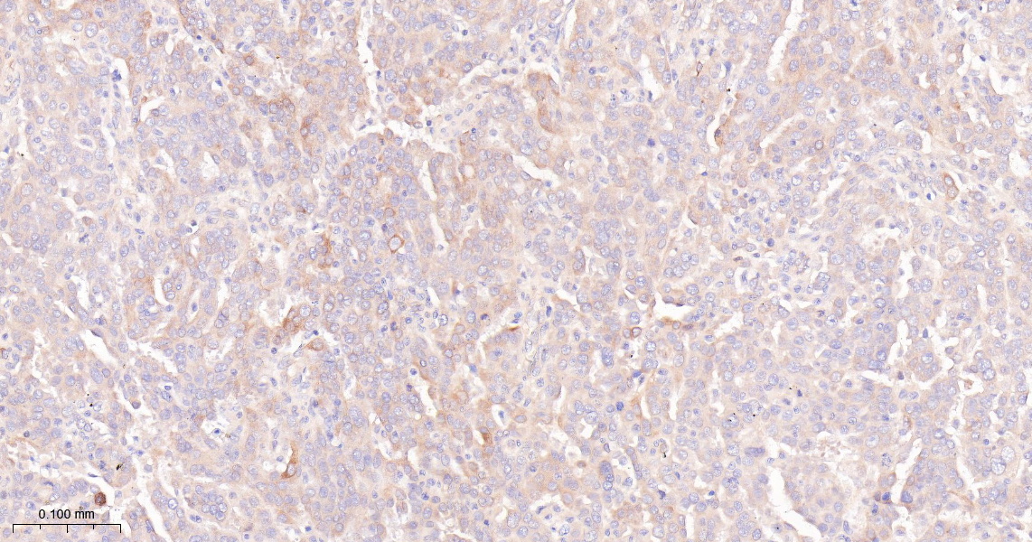
Catalog # bsm-62941r-100ul
Product Name PON1 Recombinant Antibody
Applications WB, IHC-P, IHC-F, IF(IHC-P), IP
Reactivity Human, Mouse, Rat
Specifications
Conjugation Unconjugated
Host Rabbit
Source KLH conjugated synthetic peptide derived from human PON1
Clonality Recombinant
Isotype IgG
Concentration Lot dependent
Purification Purified by Protein A.
Storage Buffer 0.01M TBS (pH 7.4), 1% BSA, 0.02% Proclin 300, and 50% Glycerol
Storage Condition Shipped at 4C. Store at -20C for one year. Avoid repeated freeze/thaw cycles.
Target
Gene ID 5444
Swiss Prot P27169
Subcellular location Extracellular, Secreted
Synonyms A esterase 1; Aromatic esterase 1; Arylesterase 1; Arylesterase B type; ESA; Esterase A; K-45; MVCD5; Paraoxonase 1; Paraoxonase B type; PON; PON1; Serum aryldiakylphosphatase.
Background Hydrolyzes the toxic metabolites of a variety of organophosphorus insecticides. Capable of hydrolyzing a broad spectrum of organophosphate substrates and lactones, and a number of aromatic carboxylic acid esters.
Application Dilution
WB 1:1000-2000
IHC-P IHC-P1:100-500
IHC-F IHC-F1:100-500
IF(IHC-P) IFIHC-P1:100-500
IP IP1:20-50