RECEIVE 25% OFF PUBLISHED ANTIBODIES WITH CODE "PUB25"! Offer valid for US customers and available internationally through distributors.

PREPL Recombinant Antibody

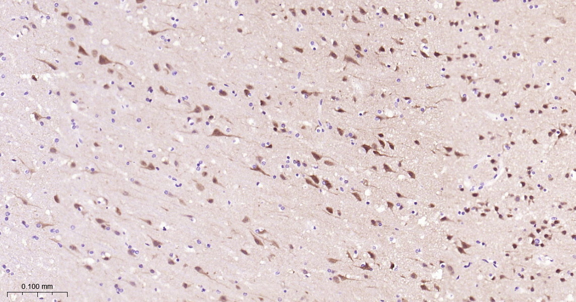
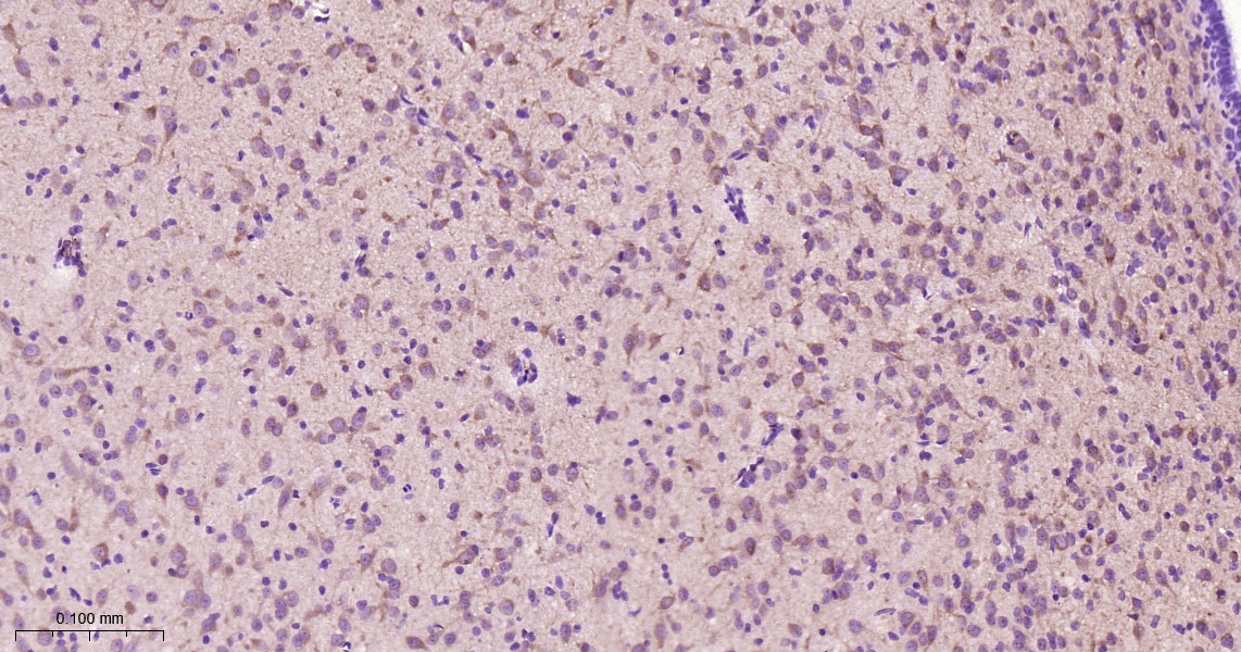
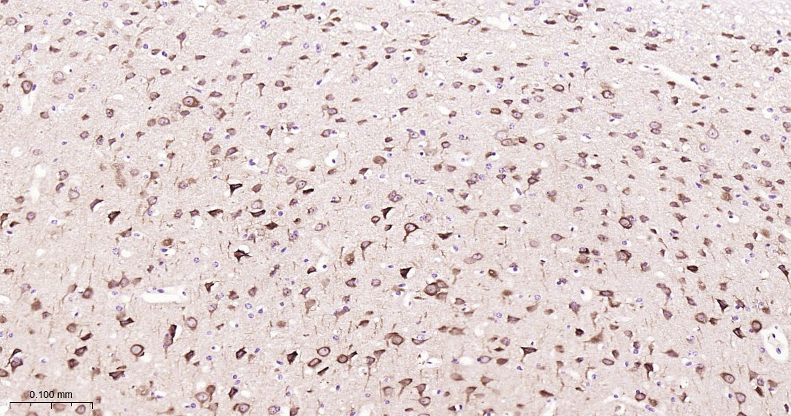
Applications

  • WB
  • IHC-P
  • IHC-F
  • IF(IHC-P)
  • IP

Reactivity

  • Human
  • Mouse
  • Rat
Overview
Catalog # bsm-62950r-100ul
Product Name PREPL Recombinant Antibody
Applications WB, IHC-P, IHC-F, IF(IHC-P), IP
Reactivity Human, Mouse, Rat
Specifications
Conjugation Unconjugated
Host Rabbit
Source KLH conjugated synthetic peptide derived from human PREPL
Clonality Recombinant
Isotype IgG
Concentration Lot dependent
Purification Purified by Protein A.
Storage Buffer 0.01M TBS (pH 7.4), 1% BSA, 0.02% Proclin 300, and 50% Glycerol
Storage Condition Shipped at 4C. Store at -20C for one year. Avoid repeated freeze/thaw cycles.
Target
Gene ID 9581
Swiss Prot Q4J6C6
Synonyms prepl; Prolyl endopeptidase-like.
Background Serine peptidase whose precise substrate specificity remains unclear.Does not cleave peptides after a arginine or lysine residue.
Application Dilution
WB 1:500-2000
IHC-P IHC-P1:100-500
IHC-F IHC-F1:100-500
IF(IHC-P) IFIHC-P1:100-500
IP IP1:20-50