| Overview |
| bsm-62957r |
| PKC gamma Recombinant Antibody |
| WB, IHC-P, IHC-F, IF, ICC/IF |
| Human, Mouse, Rat |
| Specifications |
| Unconjugated |
| Rabbit |
| KLH conjugated synthetic peptide derived from human PKC gamma |
| Recombinant |
| IgG |
| Lot dependent |
| Purified by Protein A. |
| 0.01M TBS (pH 7.4), 1% BSA, 0.02% Proclin 300, and 50% Glycerol |
| Shipped at 4C. Store at -20C for one year. Avoid repeated freeze/thaw cycles. |
| Target |
| 5582 |
| P05129 |
| PKC-gamma; PKCC; PKCG; PRKCG; SCA14. |
| Calcium-activated, phospholipid- and diacylglycerol (DAG)-dependent serine/threonine-protein kinase that plays diverse roles in neuronal cells and eye tissues, such as regulation of the neuronal receptors GRIA4/GLUR4 and GRIN1/NMDAR1, modulation of receptors and neuronal functions related to sensitivity to opiates, pain and alcohol, mediation of synaptic function and cell survival after ischemia, and inhibition of gap junction activity after oxidative stress. |
| Application Dilution |
| WB |
1:300-5000 |
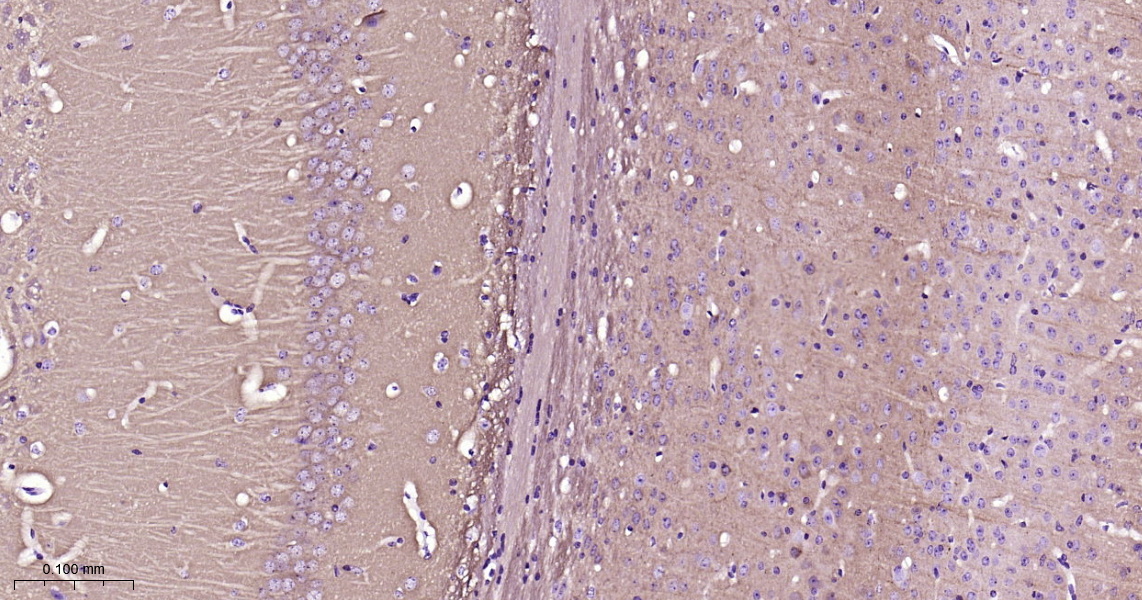
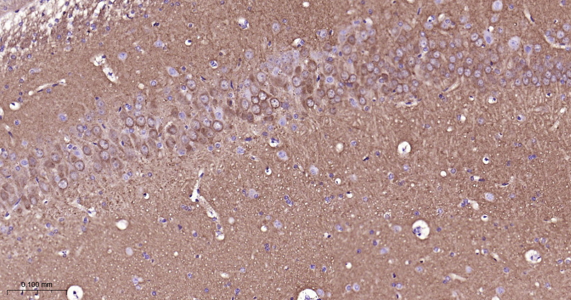
| IHC-P |
1:200-400 |
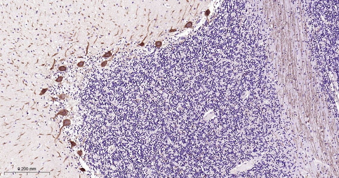
| IHC-F |
IFIHC-P1:50-200 |
| IF |
ICC1:50-200 |
| ICC/IF |
|