RECEIVE 25% OFF PUBLISHED ANTIBODIES WITH CODE "PUB25"! Offer valid for US customers and available internationally through distributors.

PKC Recombinant Antibody

Applications

  • WB
  • FCM
  • IHC-P
  • IHC-F
  • IF(IHC-P)
  • IF(ICC)
  • IP

Reactivity

  • Human
  • Mouse
  • Rat
Overview
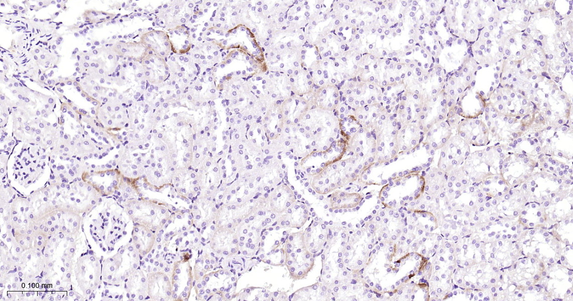
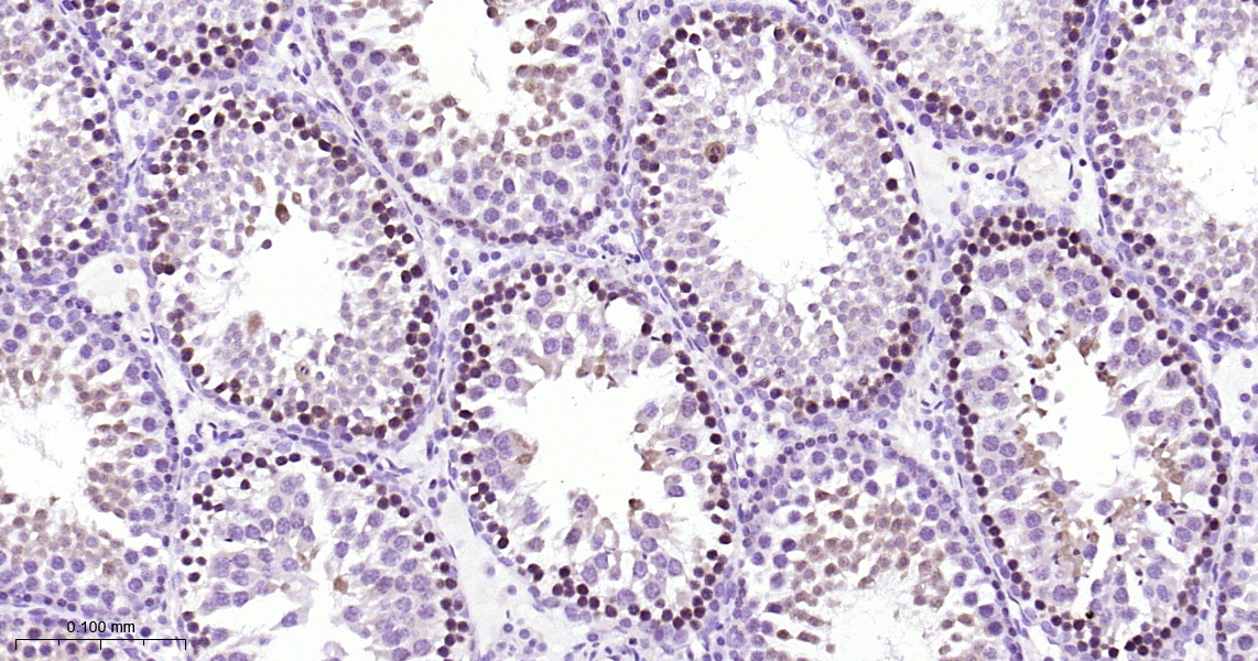
Catalog # bsm-62958r-100ul
Product Name PKC Recombinant Antibody
Applications WB, FCM, IHC-P, IHC-F, IF(IHC-P), IF(ICC), IP
Reactivity Human, Mouse, Rat
Specifications
Conjugation Unconjugated
Host Rabbit
Source KLH conjugated synthetic peptide derived from human PKC
Clonality Recombinant
Isotype IgG
Concentration Lot dependent
Purification Purified by Protein A.
Storage Buffer 0.01M TBS (pH 7.4), 1% BSA, 0.02% Proclin 300, and 50% Glycerol
Storage Condition Shipped at 4C. Store at -20C for one year. Avoid repeated freeze/thaw cycles.
Target
Gene ID 5582
Swiss Prot P05129,P05771, P17252,Q02156,Q05513,Q05655
Subcellular location Cytoplasm, Cell membrane
Synonyms PKC alpha; PKC beta; PKC delta; PKC epsilon; PKC gamma; PKC zeta; PKC-A; PKC-alpha; PKC2; PKCA; PKCB; PKCD; PKCE; PKCG; PRKCA; PRKCB; PRKCB1; PRKCB2; PRKCD; PRKCE; PRKCG; PRKCZ; Protein kinase C alpha; Protein kinase C alpha type; Protein kinase C; Protein kinase C beta; Protein kinase C delta; Protein kinase C epsilon; Protein kinase C gamma; Protein kinase C zeta.
Background Calcium-activated, phospholipid- and diacylglycerol (DAG)-dependent serine/threonine-protein kinase that plays diverse roles in neuronal cells and eye tissues, such as regulation of the neuronal receptors GRIA4/GLUR4 and GRIN1/NMDAR1, modulation of receptors and neuronal functions related to sensitivity to opiates, pain and alcohol, mediation of synaptic function and cell survival after ischemia, and inhibition of gap junction activity after oxidative stress.
Application Dilution
WB 1:500-2000
FCM FCM1:50-100
IHC-P IHC-P1:50-200
IHC-F IHC-F1:50-200
IF(IHC-P) IFIHC-P1:50-200
IF(ICC) IFICC1:50-200
IP IP1:20-50