RECEIVE 25% OFF PUBLISHED ANTIBODIES WITH CODE "PUB25"! Offer valid for US customers and available internationally through distributors.

RPS6KB2 Recombinant Antibody

Applications

  • WB
  • FCM
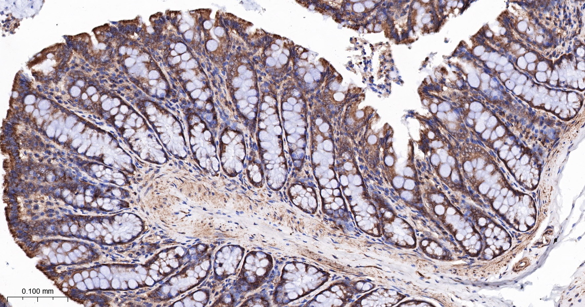
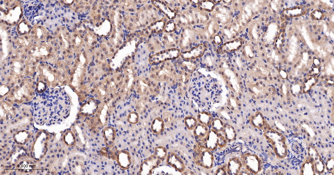
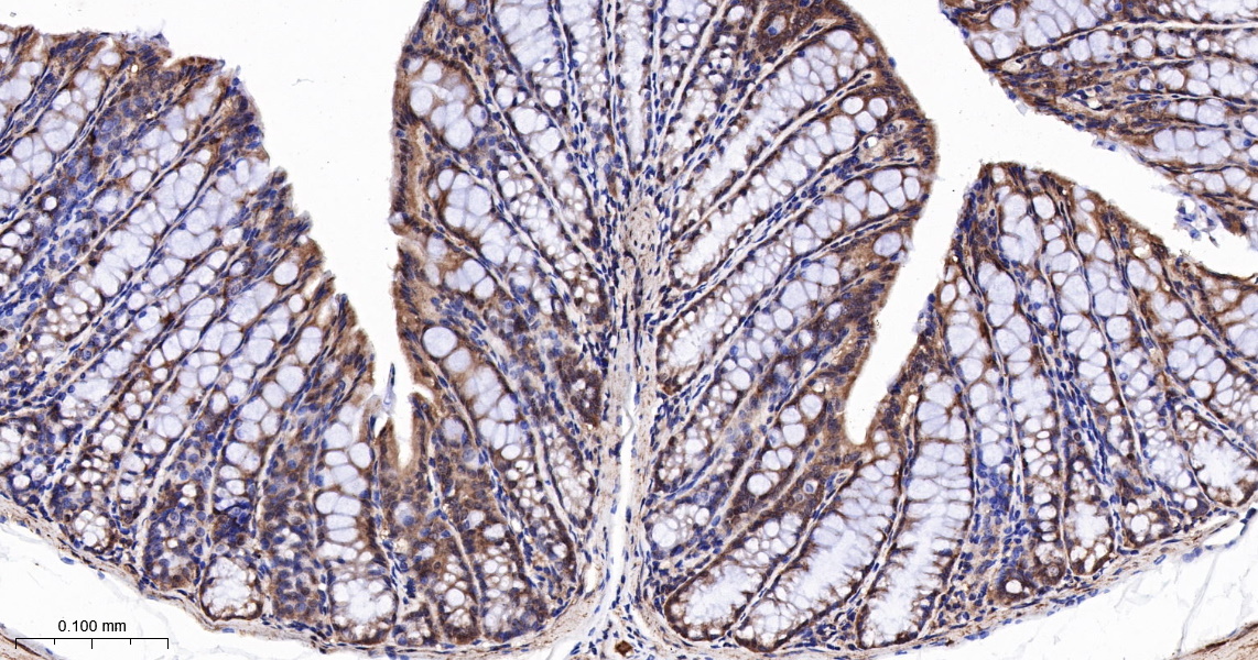
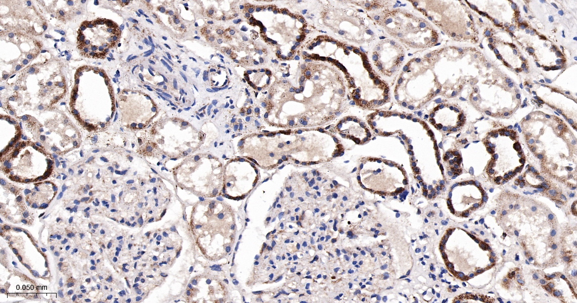
  • IHC-P
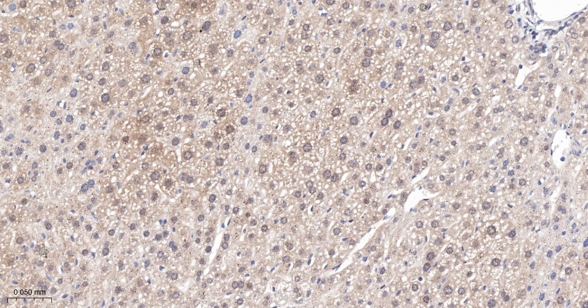
  • IHC-F
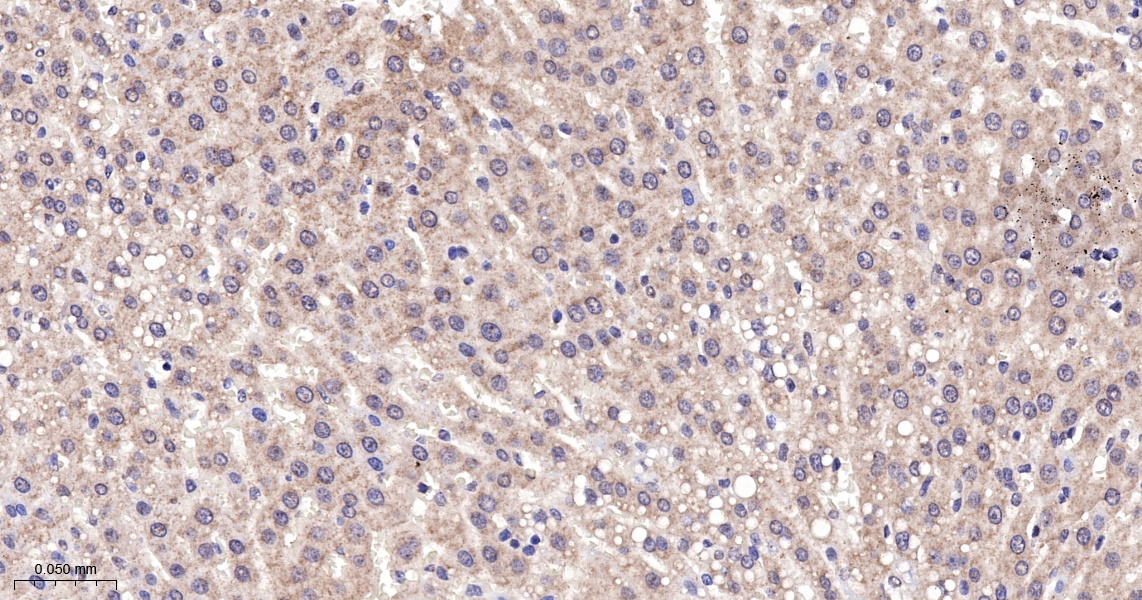
  • IF(IHC-P)
  • IF(ICC)

Reactivity

  • Human
  • Mouse
  • Rat
Overview
Catalog # bsm-62972r-100ul
Product Name RPS6KB2 Recombinant Antibody
Applications WB, FCM, IHC-P, IHC-F, IF(IHC-P), IF(ICC)
Reactivity Human, Mouse, Rat
Specifications
Conjugation Unconjugated
Host Rabbit
Source KLH conjugated synthetic peptide derived from human p70 S6 kinase beta 2
Clonality Recombinant
Isotype IgG
Concentration Lot dependent
Purification Purified by Protein A.
Storage Buffer 0.01M TBS (pH 7.4), 1% BSA, 0.02% Proclin 300, and 50% Glycerol
Storage Condition Shipped at 4C. Store at -20C for one year. Avoid repeated freeze/thaw cycles.
Target
Gene ID 6199
Swiss Prot Q9UBS0
Subcellular location Cytoplasm, Nucleus
Synonyms p70 beta; P70S6K2; p70S6Kb; Rps6kb2; S6K beta 2; S6K beta; S6K2; SRK; STK14B.
Background Phosphorylates specifically ribosomal protein S6.Seems to act downstream of mTOR signaling in response to growth factors and nutrients to promote cell proliferation, cell growth and cell cycle progression in an alternative pathway regulated by MEAK7.
Application Dilution
WB 1:500-2000
FCM FCM1:50-100
IHC-P IHC-P1:100-500
IHC-F IHC-F1:100-500
IF(IHC-P) IFIHC-P1:100-500
IF(ICC) IFICC1:50-200