Receive 30% off all Monoclonal IHC antibodies with code "MONO-IHC-30"! Offer valid for US customers and available internationally through distributors.

SATB2 Recombinant Antibody

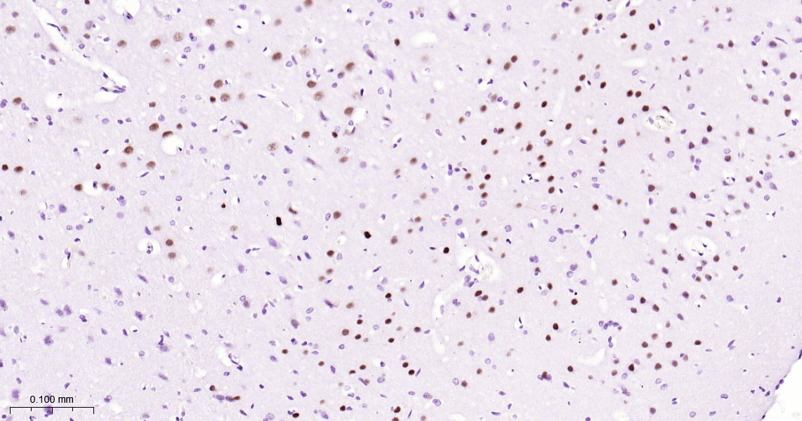
Applications

  • WB
  • IHC-P
  • IHC-F
  • IF
  • ICC/IF

Reactivity

  • Human
  • Mouse
  • Rat
Overview
Catalog # bsm-62976r-TR
Product Name SATB2 Recombinant Antibody
Applications WB, IHC-P, IHC-F, IF, ICC/IF
Reactivity Human, Mouse, Rat
Specifications
Conjugation Unconjugated
Host Rabbit
Source KLH conjugated synthetic peptide derived from human SATB2
Clonality Recombinant
Isotype IgG
Concentration Lot dependent
Purification Purified by Protein A.
Storage Buffer 0.01M TBS (pH 7.4), 1% BSA, 0.02% Proclin 300, and 50% Glycerol
Storage Condition Shipped at 4C. Store at -20C for one year. Avoid repeated freeze/thaw cycles.
Target
Gene ID 23314
Swiss Prot Q9UPW6
Subcellular location Nucleus
Synonyms GLSS; SATB family member 2; SATB homeobox 2; SATB2;Special AT rich sequence binding protein 2.
Background Binds to DNA, at nuclear matrix- or scaffold-associated regions. Thought to recognize the sugar-phosphate structure of double-stranded DNA. Transcription factor controlling nuclear gene expression, by binding to matrix attachment regions (MARs) of DNA and inducing a local chromatin-loop remodeling. Acts as a docking site for several chromatin remodeling enzymes and also by recruiting corepressors (HDACs) or coactivators (HATs) directly to promoters and enhancers.
Application Dilution
WB 1:300-5000
IHC-P 1:200-400
IHC-F 1:100-500
IF
ICC/IF 1:50-100