RECEIVE 25% OFF PUBLISHED ANTIBODIES WITH CODE "PUB25"! Offer valid for US customers and available internationally through distributors.

BAD Recombinant Antibody

Applications

  • WB
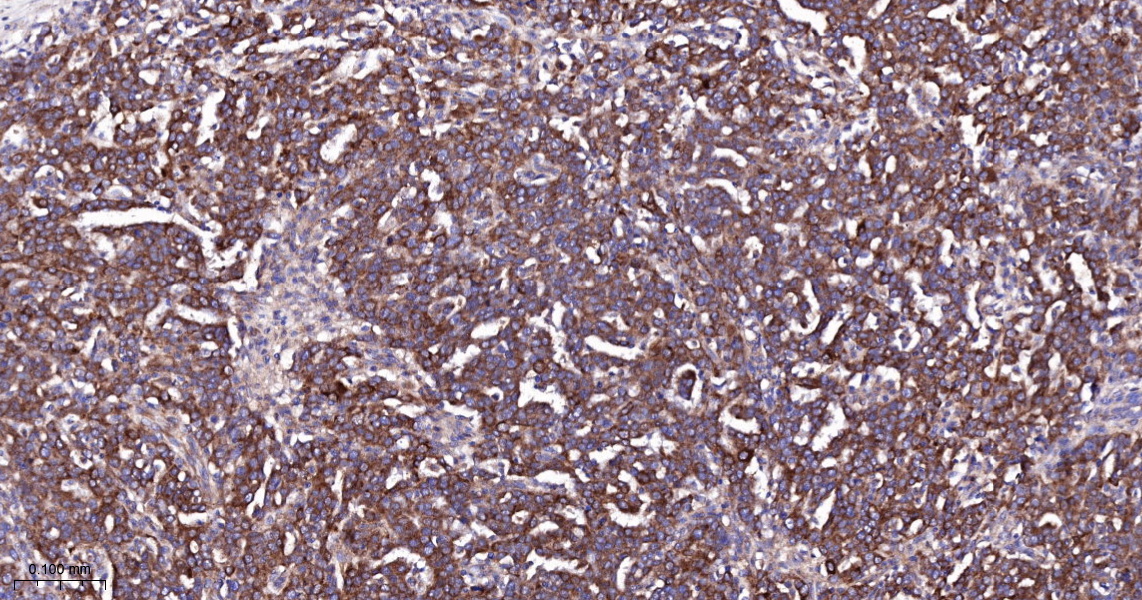
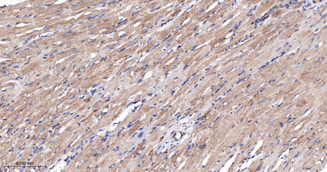
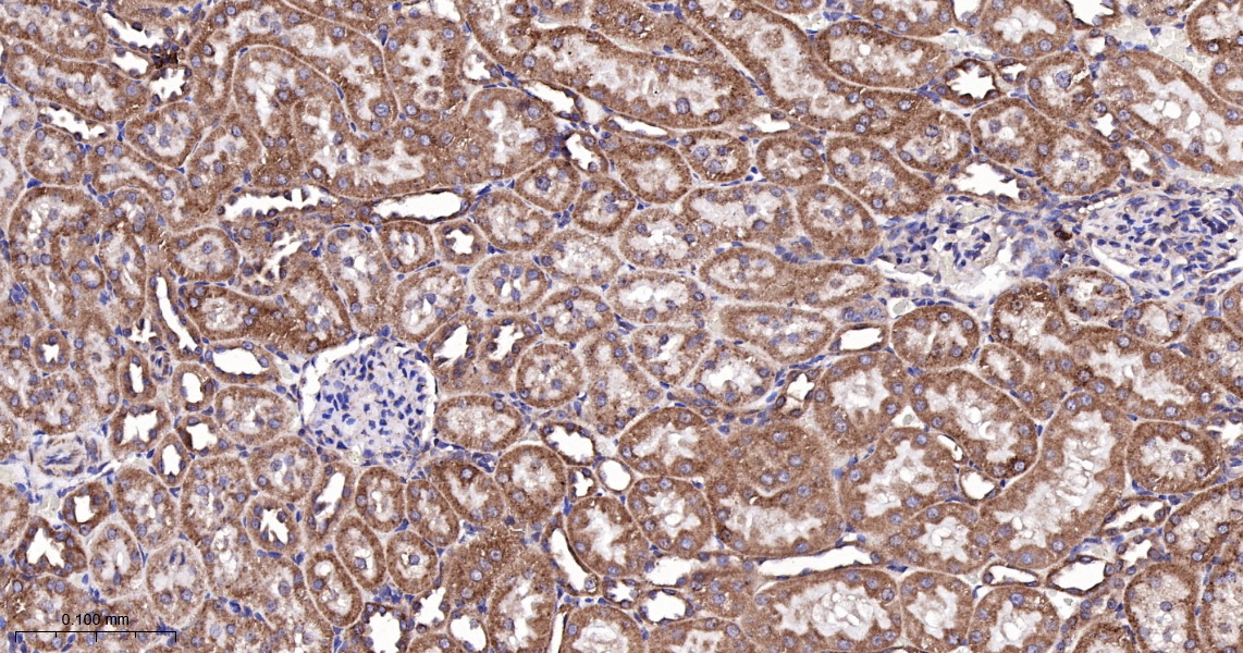
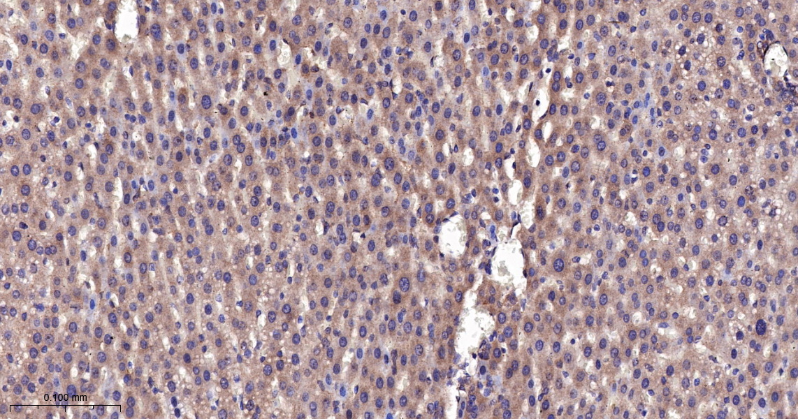
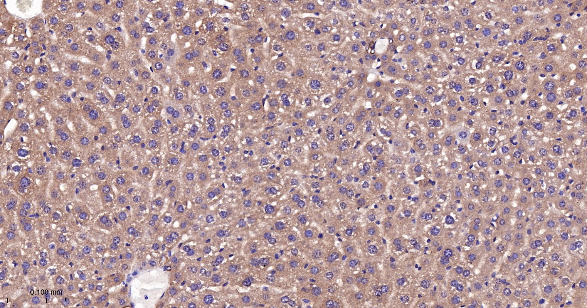
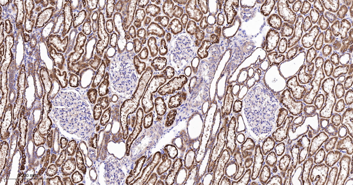
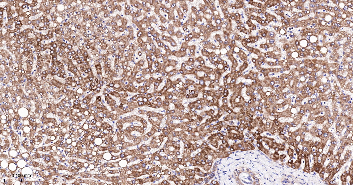
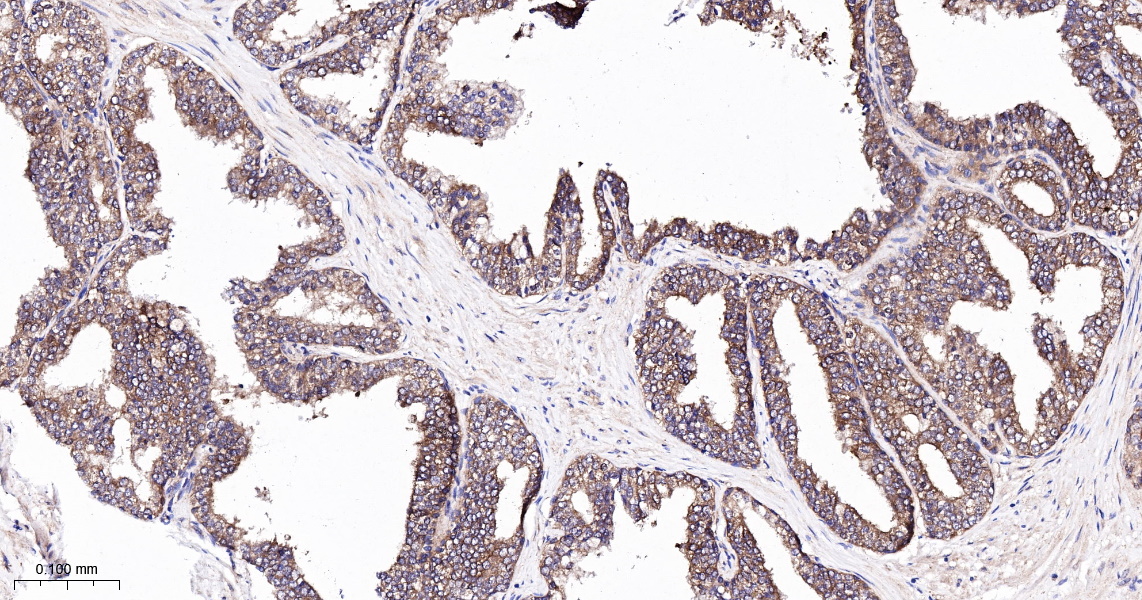
  • IHC-P
  • IHC-F
  • IF(IHC-P)

Reactivity

  • Human
  • Mouse
  • Rat
Overview
Catalog # bsm-63058r-100ul
Product Name BAD Recombinant Antibody
Applications WB, IHC-P, IHC-F, IF(IHC-P)
Reactivity Human, Mouse, Rat
Specifications
Conjugation Unconjugated
Host Rabbit
Source KLH conjugated synthetic peptide derived from human Bad
Clonality Recombinant
Isotype IgG
Concentration Lot Dependent
Purification Purified by Protein A.
Storage Buffer 0.01M TBS(pH7.4) with 1% BSA, 0.02% Proclin300 and 50% Glycerol.
Storage Condition Shipped at 4°. Store at -20°C for one year. Avoid repeated freeze/thaw cycles.
Target
Gene ID 572
Swiss Prot Q92934
Synonyms BBC 2; BBC2; BBC6; Bcl 2 Antagonist of Cell Death; Bcl 2 Binding Component 6; BCL X / BCL 2 Binding Protein; BCL X Binding Protein; Bcl XL/Bcl 2 Associated Death Promoter; Bcl-2-like protein 8; Bcl2 antagonist of cell death; BCL2 antagonist of cell death protein; BCL2 associated agonist of cell death; Bcl2 Associated Death Promoter; BCL2 binding component 6; BCL2 binding protein; Bcl2 Like 8 Protein; Bcl2-L-8; BCL2L8; BclXL; Proapoptotic BH3 Only Protein; BAD_HUMAN; Bcl-2-binding component 6.
Background Bad is a member of the Bcl2 family and acts to promote apoptosis by forming heterodimers with the survival proteins Bcl2 and BclxL, thus preventing them from binding with BAX. Bad is found on the outer mitochondrial membrane and, once phosphorylated in response to growth stimuli, translocates to the cytoplasm. The phosphorylation status of Bad represents a key checkpoint for death or cell survival. JNK-induced phosphorylation of BAD serine 128 promotes the apoptotic role of Bad by opposing the inhibitory effect of growth factor on Bad-mediated apoptosis. Cdc2-induced phosphorylation of Bad serine 128 has an inhibitory effect on its interaction with 14-3-3 proteins. The latter interaction is critical for Bad phosphorylation at serine 155, a site within the BH3 domain that leads to the release of BclxL and the promotion of cell survival. Alternative splicing of this gene results in two transcript variants which encode the same isoform.
Application Dilution
WB 1:500-2000
IHC-P IHC-P1:100-500
IHC-F IHC-F1:100-500
IF(IHC-P) IFIHC-P1:100-500