Receive 30% off all Monoclonal IHC antibodies with code "MONO-IHC-30"! Offer valid for US customers and available internationally through distributors.

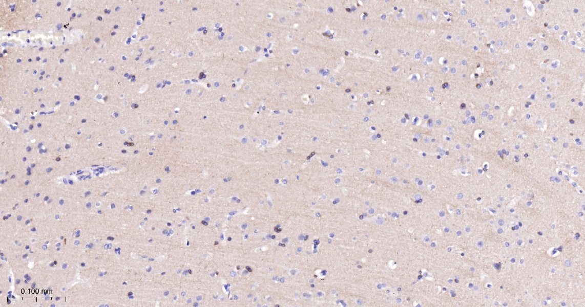
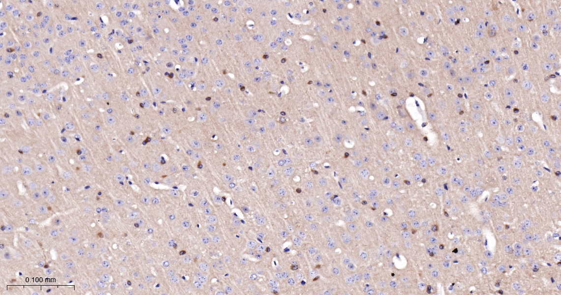
phospho-Tau (S396) Monoclonal Antibody

Applications

  • WB
  • IHC-P
  • IHC-F
  • IF

Reactivity

  • Human
  • Mouse
  • Rat
Overview
Catalog # bsm-63063r
Product Name phospho-Tau (S396) Monoclonal Antibody
Applications WB, IHC-P, IHC-F, IF
Reactivity Human, Mouse, Rat
Specifications
Conjugation Unconjugated
Host Rabbit
Source KLH conjugated Synthesised phosphopeptide derived from human Tau around the phosphorylation site of Ser396
Modification Site S396
Clonality Monoclonal
Isotype IgG
Concentration Lot Dependent
Purification Purified by Protein A.
Storage Buffer 10mM phosphate buffered saline , pH 7.4, 150mM sodium chloride, 0.05% BSA, 0.02% sodium azide and 50% glycerol.
Storage Condition Shipped at 4C. Store at -20C for one year. Avoid repeated freeze/thaw cycles.
Target
Gene ID 4137
Swiss Prot P10636
Subcellular location Cytoplasm, Cell membrane
Synonyms Tau (phospho S396); p-Tau (phospho S396);Tau (phospho S396); p-Tau (phospho S396); Tau(Phospho-Ser396); MAPT; Microtuble-associted protein Tau; AI413597; AW045860; DDPAC; Disinhibition dementia parkinsonism amyotrophy complex; FLJ31424; FTDP 17; FTDP17; G Protein beta 1 gamma 2 subunit interacting factor 1; G protein beta1/gamma2 subunit interacting factor 1; MAPTL; MGC134287; MGC138549; MGC156663; Microtubule associated protein tau isoform 4; MSTD; Mtapt; MTBT1; MTBT2; Neurofibrillary tangle protein; Paired helical filament tau; PHF tau; PHF-tau; PPND; pTau; RNPTAU; Tauopathy and respiratory failure, included; TAU_HUMAN
Application Dilution
WB 1:300-5000
IHC-P 1:200-400
IHC-F 1:100-500
IF