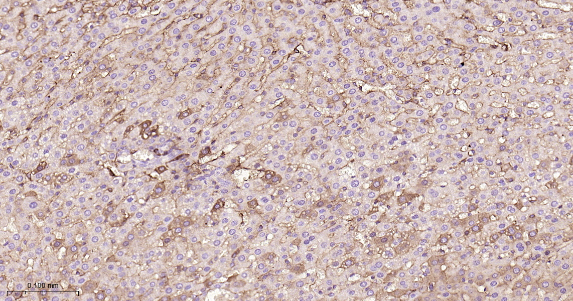
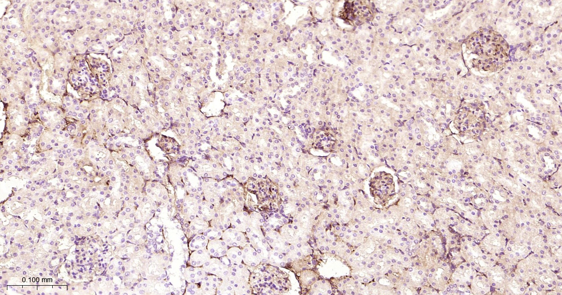
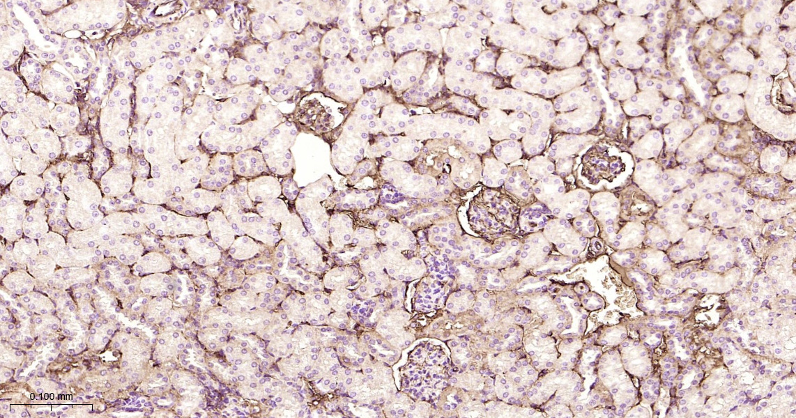
Albumin Recombinant Antibody
Applications
Reactivity
Predicted Reactivity
| Overview | |
| Catalog # | bsm-63200r |
| Product Name | Albumin Recombinant Antibody |
| Applications | WB, IHC-P, IHC-F, IF |
| Reactivity | Mouse, Rat |
| Predicted Reactivity | Cow |
| Specifications | |
| Conjugation | Unconjugated |
| Host | Rabbit |
| Clonality | Recombinant |
| Isotype | IgG |
| Concentration | Lot Dependent |
| Purification | Purified by Protein A. |
| Storage Buffer | 0.01M TBS(pH7.4) with 1% BSA, 0.02% Proclin300 and 50% Glycerol. |
| Storage Condition | Store short term for at 4°C. Store long term at -20°C. |
| Target | |
| Gene ID | 213 |
| Swiss Prot | P02768 |
| Synonyms | ALB; Albumin (32 AA) ;Albumin (AA 34) ;Albumin; BSA; Serum albumin; Bovine Serum Albumin. |
| Background | Binds water, Ca2+, Na+, K+, fatty acids, hormones, bilirubin and drugs (Probable). Its main function is the regulation of the colloidal osmotic pressure of blood (Probable). Major zinc transporter in plasma, typically binds about 80% of all plasma zinc. |
| Application Dilution | |
| WB | 1:300-5000 |
| IHC-P | 1:200-400 |
| IHC-F | 1:100-500 |
| IF | |