| Overview |
| bsm-63321r |
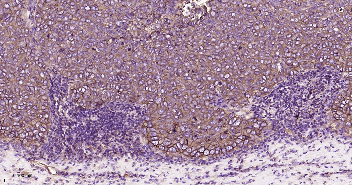
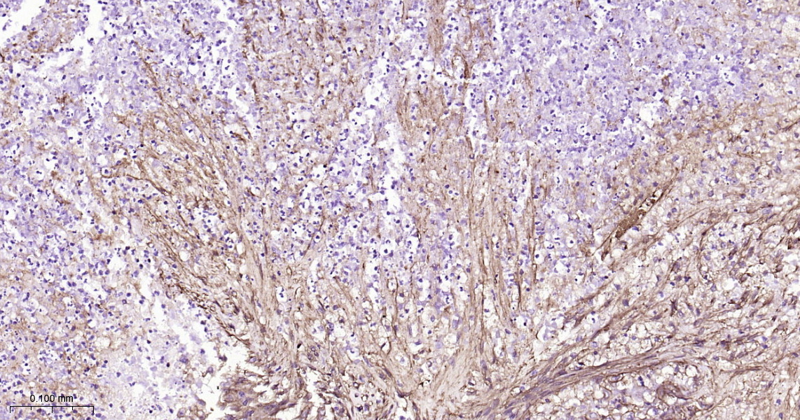
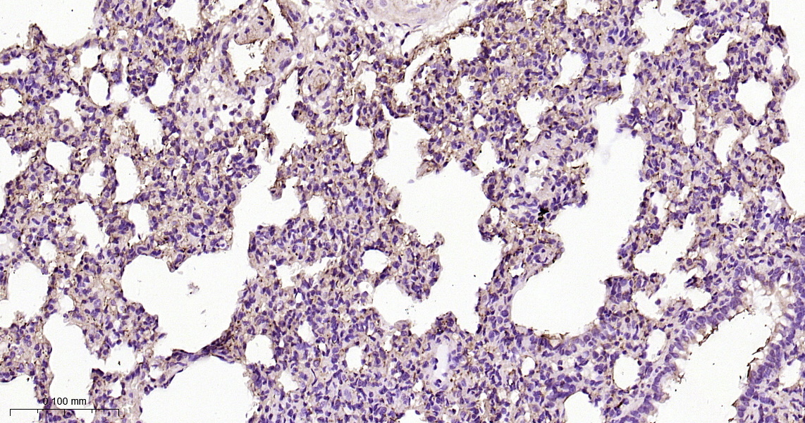
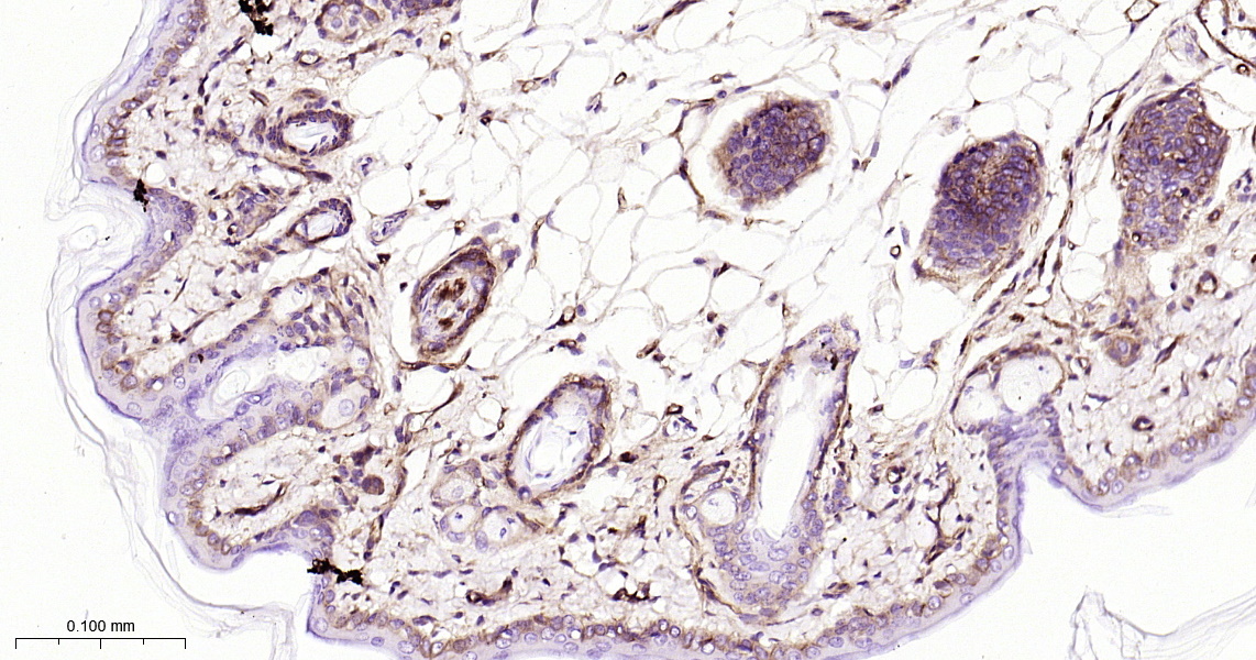
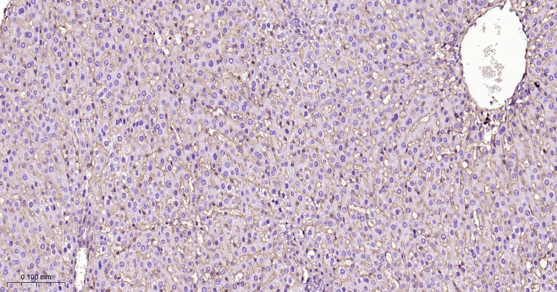
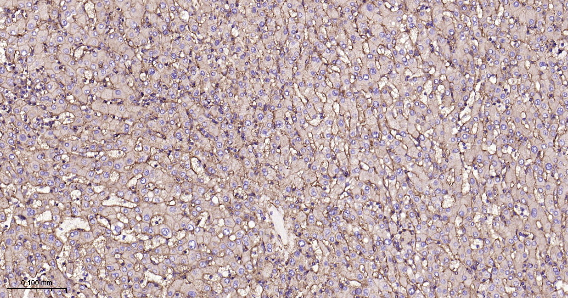
| Integrin beta 1 Recombinant Antibody |
| WB, IHC-P, IHC-F, IF |
| Human, Mouse, Rat |
| Specifications |
| Unconjugated |
| Rabbit |
| KLH conjugated synthetic peptide derived from human Integrin beta 1 |
| Recombinant |
| IgG |
| Lot Dependent |
| Purified by Protein A. |
| 0.01M TBS(pH7.4) with 1% BSA, 0.02% Proclin300 and 50% Glycerol. |
| Shipped at 4C. Store at -20C for one year. Avoid repeated freeze/thaw cycles. |
| Target |
| 3688 |
| P05556 |
| Cytoplasm, Cell membrane |
| Integrin beta-1; beta 1 subunit; CD 29; CD-29; CD29; CD29 antigen; Fibrinogen Receptor beta subunit; Fibronectin receptor subunit beta; Fibronectin receptor, beta subunit; FNRB; GPIIA; GP IIa; Integrin VLA 4 subunit beta; ITGB; ITGB1; ITGB 1; MDF2; MSK12; Very Late Activation Protein beta Polypeptide; Glycoprotein IIa; Integrin VLA 4 subunit beta; integrin VLA-4 beta subunit; ITB1_HUMAN; very late activation protein, beta polypeptide; VLA BETA; VLA-4 subunit beta; VLA-BETA; VLAB; VLAbeta; Integrin β1. |
| Application Dilution |
| WB |
1:300-5000 |
| IHC-P |
1:200-400 |
| IHC-F |
1:100-500 |
| IF |
|