Receive 30% off all Monoclonal IHC antibodies with code "MONO-IHC-30"! Offer valid for US customers and available internationally through distributors.

Human CD26/DPP4 Ready-To-Use IHC Kit

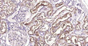
Immunohistochemical analysis of paraffin embedded human kidney tissue slide using IHC0239H (Human CD26/DPP4 IHC Kit).

Human CD26/DPP4 Ready-To-Use IHC Kit

Cat. No.: IHC0239H
Sample Type:
FFPE tissue
Size:
50T (including a control slide)
Storage and Stability:
Please store components at the temperatures indicated on the individual tube labels. The kit is stable for 6 months from the date of receipt.

Background

CD26 (dipeptidyl peptidase IV, DPP IV), adenosine deaminase (ADA) binding protein) is a homodimeric atypical serine protease belonging to the prolyl oligopeptidase family. CD26 is expressed on lymphocyte cells and is upregulated during T-cell activation. CD26 is also expressed on activated B cells and natural killer cells and abundantly on epithelia. CD26 is implicated in a variety of biological functions including T-cell activation, cell adhesion with extracellular matrix such as fibronectin or collagens, and in HIV infection. CD26 identical to adenosine deaminase complexing protein-2, and to the T-cell activation antigen CD26. Further, CD26 is an intrinsic membrane glycoprotein and a serine exopeptidase that cleaves X-proline dipeptides from the N-terminus of polypeptides. Alterations in CD26 peptidase activity are characteristic of malignant transformation, and the enzymatic activity increases dramatically with tumor grade and severity. CD26 is expressed in various blood cell types, but also in cells that are histogenetically related to activated fibroblasts. Alterations in CD26 density have been reported on circulating monocytes and CD4+ T cells during rheumatoid arthritis and systemic lupus erythematosus.

Synonyms

ADABP; ADCP2; CD26; Dpp-4; DPP4; DPPIV; THAM; TP103.

Materials Supplied

Number Component 50T Concentration Storage
1 PBS Buffer (powder) 2L x 2 20x RT
2 Antigen Retrieval Buffer 20ml 100x 2-8°C
3 Endogenous Peroxidase Blocking Buffer 3ml RTU 2-8°C
4 Blocking Buffer 3ml RTU 2-8°C
5 Primary Antibody (Human CD26/DPP4 Recombinant Rabbit mAb) 6ml RTU 2-8°C
6 Secondary Antibody (Goat Anti-Rabbit IgG H&L / HRP) 6ml RTU 2-8°C
7 Chromogen Component A 0.3ml RTU -20°C
8 Chromogen Component B 0.3ml RTU -20°C
9 Counter Staining Reagent 5ml RTU RT
10 Differentiation Reagent 6ml RTU RT
11 Mounting Media 5ml RTU RT
12 Control slide (human kidney) 1 slide RTU RT
13 Datasheet 1 copy

Notes

  1. The positive control slide provided in the kit allows you to be sure that the experimental set-up is working properly.
  2. Do not allow slides to dry at any time during this procedure.
  3. Please don't replace the matching reagents in this product with other manufacturers' products.
  4. As DAB is a carcinogen, please take necessary precautions.
  5. PBS (reagent 1) can be stored for one week at 4℃ after preparation; The antigen retrieval buffer (1×reagent 2) and the chromogenic agent (the mixture of reagents 7 and 8) should be prepared right before each assay.


As DAB is a carcinogen, please take necessary precautions.

Important Note: This product as supplied is intended for research use only, not for use in human, therapeutic or diagnostic applications.