Receive 30% off all Monoclonal IHC antibodies with code "MONO-IHC-30"! Offer valid for US customers and available internationally through distributors.

Multiplex Fluorescent (7 colors) IHC Staining Kit

Immunohistochemical analysis of paraffin embedded human bladder cancer using IHCT005.
Immunohistochemical analysis of paraffin embedded human intestine tissue using IHCT005.
Immunohistochemical analysis of paraffin embedded mouse spleen tissue using IHCT005.
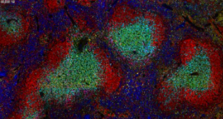
Immunohistochemical analysis of paraffin embedded human liver cancer using IHCT005.

Multiplex Fluorescent (7 colors) IHC Staining Kit

Cat. No.: IHCT005
Detection method: Fluorescent
Section type: FFPE
Size: 30T | 100T
Storage and Stability: Store protected from light at 2–8℃ for 12 months.

Product Components

Name Component Specification
30 T 100 T
TSA dye 1 TSA AbBy Fluor® 350 15 µL 100 µL
TSA dye 2 TSA AbBy Fluor® 488 15 µL 100 µL
TSA dye 3 TSA AbBy Fluor® 555 15 µL 100 µL
TSA dye 4 TSA AbBy Fluor® 633 15 µL 100 µL
TSA dye 5 TSA AbBy Fluor® 680 15 µL 100 µL
TSA dye 6 TSA AbBy Fluor® 750 15 µL 100 µL
Nuclear dye 1 DAPI 15 µL 100 µL
Reagent 1 TSA Buffer for Rapid Reaction 30 mL 60 mL
Reagent 2

Retrieval/Stripping 2-in-1 Buffer

(Make using the supplied powder)

2L 5 L
Reagent 3 3 % Hydrogen Peroxide 50 mL 100 mL
Reagent 4 Blocking Buffer 15 mL 50 mL
Reagent 5 Antibody Dilution Buffer 15 mL 50 mL
Reagent 6 Rapid Mounting Medium 5 mL 10 mL

Principle

Tyramide Signal Amplification (TSA) is a powerful enzymatic detection method that uses horseradish peroxidase (HRP) to achieve high-density, site-specific labeling of target proteins in situ. In the presence of hydrogen peroxide (H₂O₂), HRP catalyzes the activation of tyramide-fluorophore conjugates; the activated tyramide then covalently binds to tyrosine residues on nearby proteins, resulting in massive, localized deposition of fluorophores precisely at the antigen-antibody binding site and dramatically amplifying the fluorescence signal. After each staining round, non-covalently bound antibodies are stripped via antigen retrieval, while the covalently deposited fluorophores remain stably attached, allowing sequential multi-round staining without signal loss.

This approach eliminates concerns about antibody cross-reactivity or species mismatch because only one primary antibody (regardless of host species) and its corresponding HRP-conjugated secondary antibody are used per cycle. The Retrieval/Stripping 2-in-1 Buffer provided in this kit greatly outperforms traditional retrieval solutions by effectively preventing “signal bleeding” and over-retrieval artifacts. The optimized TSA Rapid Reaction Buffer eliminates the need for exogenous H₂O₂, reducing amplification time from 5–20 minutes to just 10 seconds–10 minutes. The included Rapid Mounting Medium contains advanced anti-bubble and anti-fade formulations, minimizing air-bubble formation during coverslipping and preserving fluorescence intensity for 6 months to 2 years. By supplying all required reagents in a single, ready-to-use package, this kit dramatically simplifies workflow, reduces hands-on time, and enables robust, high-plex immunofluorescence staining with superior signal stability and reproducibility.

Protocol Summary

  1. Deparaffinization And Rehydration: Immerse the slides in three changes of fresh xylene for 10 minutes each, using a separate container for each change. Then sequentially immerse the slides in 100% ethanol (twice), 95% ethanol (twice), 85% ethanol, and 75% ethanol for 5 minutes per step. Finally, rinse slides with ddH₂O for 5 minutes.
  2. Antigen Retrieval: To prepare the Retrieval/Stripping 2-in-1 Buffer working solution, add the supplied powder to 100 mL ddH₂O and stir until fully dissolved; then dilute this reconstituted concentrate with ddH₂O to a final volume of either 2 L (sufficient for 30 tests) or 5 L (sufficient for 100 tests) and mix thoroughly. Place the slides in a microwave-safe container fully covered by the buffer, heat on high power until the solution reaches a rolling boil, maintain boiling for 20 seconds, immediately switch to low power and continue gentle boiling for 5 minutes, then turn off the microwave and allow the slides to cool naturally to room temperature inside the closed microwave (approximately 45-60 min) without removing them from the hot buffer to prevent tissue damage. 
  3. Rinse 3 times with PBS Buffer for 5 minutes each.
  4. Block Endogenous Peroxidase: Gently drain excess liquid from the slides by tilting and tapping them on absorbent paper, then use a hydrophobic IHC pen to draw complete circles around each tissue section. Apply sufficient 3% hydrogen peroxide to fully cover the tissue within the circled area and incubate for 10 minutes at room temperature to block endogenous peroxidase activity.
  5. Rinse 3 times with PBS Buffer for 5 minutes each.
  6. Blocking: Gently remove excess liquid from the slides using absorbent paper, add blocking buffer to fully cover the tissue, and incubate for 30 min at room temperature.
  7. Primary Antibody Incubation: Remove excess blocking solution with absorbent paper, apply appropriately diluted primary antibody and incubate either overnight at 4°C in a humidified chamber or for 1 h at 37°C in an incubator.
  8. Rinse 3 times with PBS Buffer for 5 minutes each.
  9. Secondary Antibody Incubation: Remove excess liquid with absorbent paper, add HRP-conjugated secondary antibody to cover the tissue, and incubate for 30 min at room temperature.
  10. Rinse 3 times with PBS Buffer for 5 minutes each.
  11. Color development and signal amplification: Dilute the TSA dye in TSA Buffer for Rapid Reaction to prepare the working solution (refer to the Fluorophore Spectral Data for specific dilution ratios). Apply 50-200 μL of working solution to completely cover the tissue section. Incubate at RT for 60 seconds. Terminate the reaction by immersing slides in PBS for 2 minutes. Note: Check staining under a fluorescence microscope after each round; if background fluorescence is high, extend soaking time in PBS before re-evaluation; if signal intensity is insufficient, reapply TSA working solution diluted 1:20–1:50 and extend reaction time as needed. Recommended reaction time is ~60 sec and should not exceed 20 min.
  12. Removal of Antibody Complexes: 1) Preferred Option (Retrieval/Stripping 2-in-1 Buffer): Place slides in Retrieval/Stripping 2-in-1 Buffer working solution, heat in microwave on high power until boiling, hold for 10 seconds, then turn off the microwave and let stand for 5 minutes. Transfer the container to a water bath at room temperature and cool to room temperature together. Discard used buffer; do not reuse. 2) Traditional Method: Submerge slides in citrate or EDTA antigen retrieval buffer, heat on high power until boiling, hold for 20 seconds, then switch to low power and maintain gentle boiling for 10–20 minutes. Cool the container to room temperature in a water bath at room temperature.
  13. Rinse with PBS Buffer for 5 minutes.
  14. Repeat Steps 6-13 for each additional target until all rounds of multi-round staining are completed.
  15. Nuclear Staining: Apply an appropriate volume of nuclear dye to fully cover the tissue section and incubate in a light-protected humidified chamber at room temperature for 5 min. Rinse 3 times with PBS Buffer for 5 min each.
  16. Mounting: Add 1–2 drops of anti-fade mounting medium to cover the tissue, gently apply a coverslip avoiding air bubbles, and cure/dry the slides in a 37°C incubator for 30 min–1 h. Note: Do not place in a humidified chamber.
  17. Slides Preservation: Store finished slides in a slide box at –20°C for long-term preservation. If stored at room temperature, keep protected from light and complete imaging within 1 month.


 

Fluorophore Spectral Data

Product Name Excitation/Emission (nm) Dilution Dilution Conditions
TSA AbBy Fluor® 350 362/436 1:99~199 Dilute with TSA Buffer for Rapid Reaction, incubate in a light-proof wet box for 5 minutes at RT after dilution.
TSA AbBy Fluor® 488 488/519 1:99~199 Dilute with TSA Buffer for Rapid Reaction, incubate in a light-proof wet box for 5 minutes at RT after dilution.
TSA AbBy Fluor® 555 555/570 1:99~199 Dilute with TSA Buffer for Rapid Reaction, incubate in a light-proof wet box for 5 minutes at RT after dilution.
TSA AbBy Fluor® 594 594/615 1:99~199 Dilute with TSA Buffer for Rapid Reaction, incubate in a light-proof wet box for 5 minutes at RT after dilution.
TSA AbBy Fluor® 633 633/655 1:99~199 Dilute with TSA Buffer for Rapid Reaction, incubate in a light-proof wet box for 5 minutes at RT after dilution.
TSA AbBy Fluor® 647 650/670 1:99~199 Dilute with TSA Buffer for Rapid Reaction, incubate in a light-proof wet box for 5 minutes at RT after dilution.
TSA AbBy Fluor® 680 682/702 1:99~199 Dilute with TSA Buffer for Rapid Reaction, incubate in a light-proof wet box for 5 minutes at RT after dilution.
TSA AbBy Fluor® 750 750/780 1:99~199 Dilute with TSA Buffer for Rapid Reaction, incubate in a light-proof wet box for 5 minutes at RT after dilution.
AbBy NU470 450/470 1:99~199 Dilute with PBS
DAPI 360/460 1:99~199 Dilute with ddH2O

Note

Please cite this product as "IHCT005, Bioss Antibodies". Example: “Co-staining of A and B was performed using the Multiplex Fluorescent IHC Staining Kit (IHCT005, Bioss Antibodies), which relies on the Tyramide Signal Amplification (TSA) technology, following the manufacturer’s instructions.”

For research use only. Not for use in diagnostic or therapeutic procedures.