Receive 30% off all Monoclonal IHC antibodies with code "MONO-IHC-30"! Offer valid for US customers and available internationally through distributors.

Rat MYBL2 Ready-To-Use IHC Kit

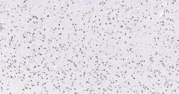
Immunohistochemical analysis of paraffin embedded rat brain tissue slide using IHC0105R (Rat MYBL2 IHC Kit).

Rat MYBL2 Ready-To-Use IHC Kit

Cat. No.: IHC0105R
Sample Type:
FFPE tissue
Size:
50T (including a control slide)
Storage and Stability:
Please store components at the temperatures indicated on the individual tube labels. The kit is stable for 6 months from the date of receipt.

Background

Nucleocytoplasmic transport, a signal- and energy-dependent process, takes place through nuclear pore complexes embedded in the nuclear envelope. The import of proteins containing a nuclear localization signal requires the NLS import receptor, a heterodimer of importin alpha and beta subunits also known as karyopherins. Importin alpha binds the NLS-containing cargo in the cytoplasm and importin beta docks the complex at the cytoplasmic side of the nuclear pore complex. In the presence of nucleoside triphosphates and the small GTP binding protein Ran, the complex moves into the nuclear pore complex and the importin subunits dissociate. Importin alpha enters the nucleoplasm with its passenger protein and importin beta remains at the pore. Interactions between importin beta and the FG repeats of nucleoporins are essential in translocation through the pore complex. The protein encoded by this gene is a member of the importin beta family.

Synonyms

B-Myb; BMyB; MYB L2; Myb related protein B; Myb-like protein 2; Myb-related protein B; MybB; MYBB_HUMAN; MYBL 2; Mybl2; v myb avian myeloblastosis viral oncogene homolog like 2; v myb myeloblastosis viral oncogene homolog (avian) like 2; v myb myeloblastosis viral oncogene homolog like 2.

materials Supplied

Number Component 50T Concentration Storage
1 PBS Buffer (powder) 2L x 2 20x RT
2 Antigen Retrieval Buffer 20ml 100x 2-8°C
3 Endogenous Peroxidase Blocking Buffer 3ml RTU 2-8°C
4 Blocking Buffer 3ml RTU 2-8°C
5 Primary Antibody (Rat MYBL2 Rabbit pAb) 6ml RTU 2-8°C
6 Secondary Antibody (HRP-Goat anti-Rabbit IgG pAb) 6ml RTU 2-8°C
7 Chromogen Component A 0.3ml RTU -20°C
8 Chromogen Component B 0.3ml RTU -20°C
9 Counter Staining Reagent 5ml RTU RT
10 Differentiation Reagent 6ml RTU RT
11 Mounting Media 5ml RTU RT
12 Control slide (Rat brain) 1 slide RTU RT
13 Datasheet 1 copy

Notes

  1. The positive control slide provided in the kit allows you to be sure that the experimental set-up is working properly.
  2. Do not allow slides to dry at any time during this procedure.
  3. Please don't replace the matching reagents in this product with other manufacturers' products.
  4. As DAB is a carcinogen, please take necessary precautions.
  5. PBS (reagent 1) can be stored for one week at 4℃ after preparation; The antigen retrieval buffer (1×reagent 2) and the chromogenic agent (the mixture of reagents 7 and 8) should be prepared right before each assay.

Please cite this product as "IHC0105R, Bioss Antibodies".
Citation example: “Rat tissue sections using Rat MYBL2 IHC Kit (IHC0105R, Bioss Antibodies) were stained for MYBL2 according to the manufacturer's instructions.

Important Note: This product as supplied is intended for research use only, not for use in human, therapeutic or diagnostic applications.