Receive 30% off all Monoclonal IHC antibodies with code "MONO-IHC-30"! Offer valid for US customers and available internationally through distributors.

Rat MYL2 Ready-To-Use IHC Kit

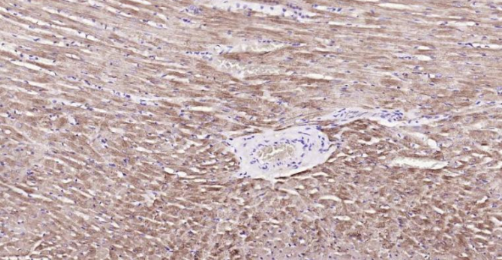
Immunohistochemical analysis of paraffin embedded rat heart tissue slide using IHC0136R (Rat MYL2 IHC Kit).

Rat MYL2 Ready-To-Use IHC Kit

Cat. No.: IHC0136R
Sample Type:
FFPE tissue
Size:
50T (including a control slide)
Storage and Stability:
Please store components at the temperatures indicated on the individual tube labels. The kit is stable for 6 months from the date of receipt.

Background

Thus gene encodes the regulatory light chain associated with cardiac myosin beta heavy chain. Ca+ triggers the phosphorylation of regulatory light chain that in turn triggers contraction. Mutations in this gene are associated with mid-left ventricular chamber type hypertrophic cardiomyopathy.

Synonyms

Cardiac myosin light chain-2, Cardiac ventricular myosin light chain 2, CMH10, MLC 2v, MLC2, MYL 2, Myosin light chain 2 regulatory cardiac slow, Myosin light polypeptide 2 regulatory cardiac slow, Myosin regulatory light chain 2 ventricular cardiac muscle isoform, Myosin regulatory light chain 2, ventricular/cardiac muscle isoform, Regulatory light chain of myosin, RLC of myosin, Slow cardiac myosin regulatory light chain 2, MLRV_HUMAN

Materials Supplied

Number Component 50T Concentration Storage
1 PBS Buffer (powder) 2L x 2 20x RT
2 Antigen Retrieval Buffer 20ml 100x 2-8°C
3 Endogenous Peroxidase Blocking Buffer 3ml RTU 2-8°C
4 Blocking Buffer 3ml RTU 2-8°C
5 Primary Antibody (Rat MYL2 Rabbit pAb) 6ml RTU 2-8°C
6 Secondary Antibody (HRP-Goat anti-Rabbit IgG pAb) 6ml RTU 2-8°C
7 Chromogen Component A 0.3ml RTU -20°C
8 Chromogen Component B 0.3ml RTU -20°C
9 Counter Staining Reagent 5ml RTU RT
10 Differentiation Reagent 6ml RTU RT
11 Mounting Media 5ml RTU RT
12 Control slide (Rat heart) 1 slide RTU RT
13 Datasheet 1 copy

Notes

  1. The positive control slide provided in the kit allows you to be sure that the experimental set-up is working properly.
  2. Do not allow slides to dry at any time during this procedure.
  3. Please don't replace the matching reagents in this product with other manufacturers' products.
  4. As DAB is a carcinogen, please take necessary precautions.
  5. PBS (reagent 1) can be stored for one week at 4℃ after preparation; The antigen retrieval buffer (1×reagent 2) and the chromogenic agent (the mixture of reagents 7 and 8) should be prepared right before each assay.


Please cite this product as " IHC0136R, Bioss Antibodies". Citation example: “Rat tissue sections using Rat MYL2 IHC Kit (IHC0136R, Bioss Antibodies) were stained for MYL2 according to the manufacturer's instructions.

Important Note: This product as supplied is intended for research use only, not for use in human, therapeutic or diagnostic applications.