Receive 30% off all Monoclonal IHC antibodies with code "MONO-IHC-30"! Offer valid for US customers and available internationally through distributors.

Mouse LRP2 Ready-To-Use IHC Kit

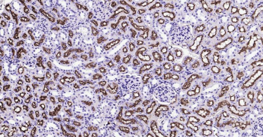
Immunohistochemical analysis of paraffin embedded mouse kidney tissue slide using IHC0138M (Mouse LRP2 IHC Kit).

Mouse LRP2 Ready-To-Use IHC Kit

Cat. No.: IHC0138M
Sample Type:
FFPE tissue
Size:
50T (including a control slide)
Storage and Stability:
Please store components at the temperatures indicated on the individual tube labels. The kit is stable for 6 months from the date of receipt.

Background

The protein encoded by this gene, low density lipoprotein-related protein 2 (LRP2) or megalin, is a multi-ligand endocytic receptor that is expressed in many different tissues but primarily in absorptive epithilial tissues such as the kidney. This glycoprotein has a large amino-terminal extracellular domain, a single transmembrane domain, and a short carboxy-terminal cytoplasmic tail. The extracellular ligand-binding-domains bind diverse macromolecules including albumin, apolipoproteins B and E, and lipoprotein lipase. The LRP2 protein is critical for the reuptake of numerous ligands, including lipoproteins, sterols, vitamin-binding proteins, and hormones. This protein also has a role in cell-signaling; extracellular ligands include parathyroid horomones and the morphogen sonic hedgehog while cytosolic ligands include MAP kinase scaffold proteins and JNK interacting proteins. Recycling of this membrane receptor is regulated by phosphorylation of its cytoplasmic domain. Mutations in this gene cause Donnai-Barrow syndrome (DBS) and facio-oculoacoustico-renal syndrome (FOAR).

Synonyms

Calcium sensor protein, DBS, Glycoprotein 330, gp330, Heymann nephritis antigen homolog, Low-density lipoprotein receptor-related protein 2, LRP-2, Lrp2, LRP2_HUMAN

Materials Supplied

Number Component 50T Concentration Storage
1 PBS Buffer (powder) 2L x 2 20x RT
2 Antigen Retrieval Buffer 20ml 100x 2-8°C
3 Endogenous Peroxidase Blocking Buffer 3ml RTU 2-8°C
4 Blocking Buffer 3ml RTU 2-8°C
5 Primary Antibody (Mouse LRP2 Rabbit pAb) 6ml RTU 2-8°C
6 Secondary Antibody (HRP-Goat anti-Rabbit IgG pAb) 6ml RTU 2-8°C
7 Chromogen Component A 0.3ml RTU -20°C
8 Chromogen Component B 0.3ml RTU -20°C
9 Counter Staining Reagent 5ml RTU RT
10 Differentiation Reagent 6ml RTU RT
11 Mounting Media 5ml RTU RT
12 Control slide (Mouse kidney) 1 slide RTU RT
13 Datasheet 1 copy

Notes

  1. The positive control slide provided in the kit allows you to be sure that the experimental set-up is working properly.
  2. Do not allow slides to dry at any time during this procedure.
  3. Please don't replace the matching reagents in this product with other manufacturers' products.
  4. As DAB is a carcinogen, please take necessary precautions.
  5. PBS (reagent 1) can be stored for one week at 4℃ after preparation; The antigen retrieval buffer (1×reagent 2) and the chromogenic agent (the mixture of reagents 7 and 8) should be prepared right before each assay.


Please cite this product as " IHC0136R, Bioss Antibodies". Citation example: “Rat tissue sections using Rat MYL2 IHC Kit (IHC0136R, Bioss Antibodies) were stained for MYL2 according to the manufacturer's instructions.

Important Note: This product as supplied is intended for research use only, not for use in human, therapeutic or diagnostic applications.