Mouse ATP1A1 Ready-To-Use IHC Kit
Mouse ATP1A1 Ready-To-Use IHC Kit
Cat. No.: IHC0139MSample Type: FFPE tissue
Size: 50T (including a control slide)
Storage and Stability: Please store components at the temperatures indicated on the individual tube labels. The kit is stable for 6 months from the date of receipt.
Background
The protein encoded by this gene belongs to the family of P-type cation transport ATPases, and to the subfamily of Na+/K+ -ATPases. Na+/K+ -ATPase is an integral membrane protein responsible for establishing and maintaining the electrochemical gradients of Na and K ions across the plasma membrane. These gradients are essential for osmoregulation, for sodium-coupled transport of a variety of organic and inorganic molecules, and for electrical excitability of nerve and muscle. This enzyme is composed of two subunits, a large catalytic subunit (alpha) and a smaller glycoprotein subunit (beta). The catalytic subunit of Na+/K+ -ATPase is encoded by multiple genes. This gene encodes an alpha 1 subunit. Multiple transcript variants encoding different isoforms have been found for this gene.
Synonyms
ATP1A1, alpha 1 Sodium Potassium ATPase,A1A1, AT1A1, AT1A1_HUMAN, Atpa-1, ATPase Na+/K+ transporting alpha 1 polypeptide, ATPase Na+/K+ transporting subunit alpha 1, BC010319, EC 3.6.3.9, MGC3285, MGC38419, MGC51750, Na K ATPase alpha A catalytic polypeptide, Na K ATPase catalytic subunit alpha A protein, Na(+)/K(+) ATPase 1, Na(+)/K(+) ATPase alpha-1 subunit, Na+, K+ ATPase alpha subunit, Na+/K+ ATPase alpha 1 subunit, Na+/K+ ATPase 1, Na,K ATPase alpha 1 subunit, Nkaa1b, Sodium potassium ATPase alpha 1 polypeptide, Sodium pump 1, Sodium pump subunit alpha-1, sodium-potassium ATPase catalytic subunit alpha-1, Sodium/potassium-transporting ATPase subunit alpha-1.
Materials Supplied
| Number | Component | 50T | Concentration | Storage |
|---|---|---|---|---|
| 1 | PBS Buffer (powder) | 2L x 2 | 20x | RT |
| 2 | Antigen Retrieval Buffer | 20ml | 100x | 2-8°C |
| 3 | Endogenous Peroxidase Blocking Buffer | 3ml | RTU | 2-8°C |
| 4 | Blocking Buffer | 3ml | RTU | 2-8°C |
| 5 | Primary Antibody (Mouse ATP1A1 Rabbit pAb) | 6ml | RTU | 2-8°C |
| 6 | Secondary Antibody (HRP-Goat anti-Rabbit IgG pAb) | 6ml | RTU | 2-8°C |
| 7 | Chromogen Component A | 0.3ml | RTU | -20°C |
| 8 | Chromogen Component B | 0.3ml | RTU | -20°C |
| 9 | Counter Staining Reagent | 5ml | RTU | RT |
| 10 | Differentiation Reagent | 6ml | RTU | RT |
| 11 | Mounting Media | 5ml | RTU | RT |
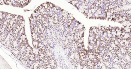
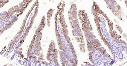
| 12 | Control slide (Mouse colon) | 1 slide | RTU | RT |
| 13 | Datasheet | 1 copy |
Notes
- The positive control slide provided in the kit allows you to be sure that the experimental set-up is working properly.
- Do not allow slides to dry at any time during this procedure.
- Please don't replace the matching reagents in this product with other manufacturers' products.
- As DAB is a carcinogen, please take necessary precautions.
- PBS (reagent 1) can be stored for one week at 4℃ after preparation; The antigen retrieval buffer (1×reagent 2) and the chromogenic agent (the mixture of reagents 7 and 8) should be prepared right before each assay.
Please cite this product as " IHC0136R, Bioss Antibodies". Citation example: “Rat tissue sections using Rat MYL2 IHC Kit (IHC0136R, Bioss Antibodies) were stained for MYL2 according to the manufacturer's instructions.
Important Note: This product as supplied is intended for research use only, not for use in human, therapeutic or diagnostic applications.