Receive 30% off all Monoclonal IHC antibodies with code "MONO-IHC-30"! Offer valid for US customers and available internationally through distributors.

Human IgA Ready-To-Use IHC Kit

Immunohistochemical analysis of paraffin embedded human tonsil tissue slide using IHC0230H (Human IgA IHC Kit).
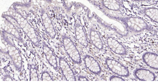
Immunohistochemical analysis of paraffin embedded human colon tissue slide using IHC0230H (Human IgA IHC Kit).
Immunohistochemical analysis of paraffin embedded human colon cancer tissue slide using IHC0230H (Human IgA IHC Kit).
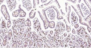
Immunohistochemical analysis of paraffin embedded human duodenum tissue slide using IHC0230H (Human IgA IHC Kit).

Human IgA Ready-To-Use IHC Kit

Cat. No.: IHC0230H
Sample Type:
FFPE tissue
Size:
50T (including a control slide)
Storage and Stability:
Please store components at the temperatures indicated on the individual tube labels. The kit is stable for 6 months from the date of receipt.

Background

Human IgA, also known as human immunoglobulin A, is an antibody that is produced by the immune system in response to antigens. It is the most abundant immunoglobulin in mucosal secretions, such as saliva, tears, and breast milk, and plays a key role in defense against pathogens at mucosal surfaces. IgA works by binding to specific antigens and preventing them from entering the body's tissues. It can also activate complement and promote phagocytosis by immune cells. Human IgA can be used in research to study the immune response to pathogens and to develop diagnostic tests and therapeutic interventions for infectious diseases.

Synonyms

IgA1;IGHA1;Immunoglobulin heavy constant alpha 1.

Materials Supplied

Number Component 50T Concentration Storage
1 PBS Buffer (powder) 2L x 2 20x RT
2 Antigen Retrieval Buffer 20ml 100x 2-8°C
3 Endogenous Peroxidase Blocking Buffer 3ml RTU 2-8°C
4 Blocking Buffer 3ml RTU 2-8°C
5 Primary Antibody (Human IgA Mouse mAb) 6ml RTU 2-8°C
6 Secondary Antibody (AffiniPure Goat Anti-Mouse IgG H&L (min X Hu, Bov, Hrs, Rb, Sw Sr Prot)/HRP) 6ml RTU 2-8°C
7 Chromogen Component A 0.3ml RTU -20°C
8 Chromogen Component B 0.3ml RTU -20°C
9 Counter Staining Reagent 5ml RTU RT
10 Differentiation Reagent 6ml RTU RT
11 Mounting Media 5ml RTU RT
12 Control slide (Human tonsil) 1 slide RTU RT
13 Datasheet 1 copy

Notes

  1. The positive control slide provided in the kit allows you to be sure that the experimental set-up is working properly.
  2. Do not allow slides to dry at any time during this procedure.
  3. Please don't replace the matching reagents in this product with other manufacturers' products.
  4. As DAB is a carcinogen, please take necessary precautions.
  5. PBS (reagent 1) can be stored for one week at 4℃ after preparation; The antigen retrieval buffer (1×reagent 2) and the chromogenic agent (the mixture of reagents 7 and 8) should be prepared right before each assay.


As DAB is a carcinogen, please take necessary precautions.

Important Note: This product as supplied is intended for research use only, not for use in human, therapeutic or diagnostic applications.