Receive 30% off all Monoclonal IHC antibodies with code "MONO-IHC-30"! Offer valid for US customers and available internationally through distributors.

Mouse CD13 Ready-To-Use IHC Kit

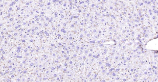
Immunohistochemical analysis of paraffin embedded mouse liver tissue slide using IHC0237M (Mouse CD13 IHC Kit).
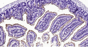
Immunohistochemical analysis of paraffin embedded Small intestine of mice tissue slide using IHC0237M (Mouse CD13 IHC Kit).

Mouse CD13 Ready-To-Use IHC Kit

Cat. No.: IHC0237M
Sample Type:
FFPE tissue
Size:
50T (including a control slide)
Storage and Stability:
Please store components at the temperatures indicated on the individual tube labels. The kit is stable for 6 months from the date of receipt.

Background

CD13 (ANPEP) is a 150-170 kDa type II transmembrane zinc-binding ectopeptidase expressed on various cell types. CD13 is a metalloprotease that preferentially catalyzes removal of neutral amino acids from small peptides, thus activating or inactivating bioactive peptides. CD13 also has a role in extracellular matrix degradation, antigen processing and signal transduction, is important in inflammatory responses, regulates intercellular contact, cell motility and vascularization. CD13 is expressed by granulocytes, monocytes, myeloid leukemia cells, and is involved in protection of leukemic cells against apoptosis and its expression associated with poor prognosis of carcinomas. CD13 functions as an aminopeptidase enzyme and is also alpha receptor for coronavirus.

Synonyms

ANPEP; AP-M; AP-N; APN; CD13; GP150; Lap-1; LAP1; P150; PEPN.

Materials Supplied

Number Component 50T Concentration Storage
1 PBS Buffer (powder) 2L x 2 20x RT
2 Antigen Retrieval Buffer 20ml 100x 2-8°C
3 Endogenous Peroxidase Blocking Buffer 3ml RTU 2-8°C
4 Blocking Buffer 3ml RTU 2-8°C
5 Primary Antibody (Mouse CD13 Recombinant Rabbit mAb) 6ml RTU 2-8°C
6 Secondary Antibody (Goat Anti-Rabbit IgG H&L / HRP) 6ml RTU 2-8°C
7 Chromogen Component A 0.3ml RTU -20°C
8 Chromogen Component B 0.3ml RTU -20°C
9 Counter Staining Reagent 5ml RTU RT
10 Differentiation Reagent 6ml RTU RT
11 Mounting Media 5ml RTU RT
12 Control slide (mouse liver) 1 slide RTU RT
13 Datasheet 1 copy

Notes

  1. The positive control slide provided in the kit allows you to be sure that the experimental set-up is working properly.
  2. Do not allow slides to dry at any time during this procedure.
  3. Please don't replace the matching reagents in this product with other manufacturers' products.
  4. As DAB is a carcinogen, please take necessary precautions.
  5. PBS (reagent 1) can be stored for one week at 4℃ after preparation; The antigen retrieval buffer (1×reagent 2) and the chromogenic agent (the mixture of reagents 7 and 8) should be prepared right before each assay.


As DAB is a carcinogen, please take necessary precautions.

Important Note: This product as supplied is intended for research use only, not for use in human, therapeutic or diagnostic applications.