Receive 30% off all Monoclonal IHC antibodies with code "MONO-IHC-30"! Offer valid for US customers and available internationally through distributors.

Mouse CALD1 Ready-To-Use IHC Kit

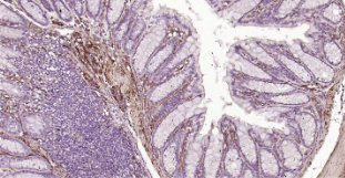
Immunohistochemical analysis of paraffin embedded mouse colon tissue slide using IHC0244M (Mouse CALD1 IHC Kit).

Mouse CALD1 Ready-To-Use IHC Kit

Cat. No.: IHC0244M
Sample Type:
FFPE tissue
Size:
50T (including a control slide)
Storage and Stability:
Please store components at the temperatures indicated on the individual tube labels. The kit is stable for 6 months from the date of receipt.

Background

Caldesmon is a developmentally regulated protein involved in smooth muscle and non muscle contraction. Two closely related variants of human caldesmon have been identified which differ in their electrophorectic mobility and cellular distribution. The h caldesmon variant (120 - 150 kDa) is predominantly expressed in smooth muscle whereas l caldesmon (70 - 80 kDa) is found in non-muscle tissue and cells. Neither of the two variants has been detected in skeletal muscle.

Synonyms

4833423D12Rik; AI195384; AV071549; AW536160; C920027I18Rik; CAD; CALD1; CDM; H-CAD; HCAD; L-CAD; LCAD; NAG22.

Materials Supplied

Number Component 50T Concentration Storage
1 PBS Buffer (powder) 2L x 2 20x RT
2 Antigen Retrieval Buffer 20ml 100x 2-8°C
3 Endogenous Peroxidase Blocking Buffer 3ml RTU 2-8°C
4 Blocking Buffer 3ml RTU 2-8°C
5 Primary Antibody (Mouse Caldesmon Recombinant Mouse mAb) 6ml RTU 2-8°C
6 Secondary Antibody (AffiniPure Goat Anti-Mouse IgG H&L(min X Hu, Bov, Hrs, Rb, Sw Sr Prot)/HRP) 6ml RTU 2-8°C
7 Chromogen Component A 0.3ml RTU -20°C
8 Chromogen Component B 0.3ml RTU -20°C
9 Counter Staining Reagent 5ml RTU RT
10 Differentiation Reagent 6ml RTU RT
11 Mounting Media 5ml RTU RT
12 Control slide (mouse colon) 1 slide RTU RT
13 Datasheet 1 copy

Notes

  1. The positive control slide provided in the kit allows you to be sure that the experimental set-up is working properly.
  2. Do not allow slides to dry at any time during this procedure.
  3. Please don't replace the matching reagents in this product with other manufacturers' products.
  4. As DAB is a carcinogen, please take necessary precautions.
  5. PBS (reagent 1) can be stored for one week at 4℃ after preparation; The antigen retrieval buffer (1×reagent 2) and the chromogenic agent (the mixture of reagents 7 and 8) should be prepared right before each assay.


As DAB is a carcinogen, please take necessary precautions.

Important Note: This product as supplied is intended for research use only, not for use in human, therapeutic or diagnostic applications.