Receive 30% off all Monoclonal IHC antibodies with code "MONO-IHC-30"! Offer valid for US customers and available internationally through distributors.

Human Phospho-CDK1/2 (Thr14) Ready-To-Use IHC Kit

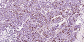
Immunohistochemical analysis of paraffin embedded human tonsil tissue slide using IHC0344H (Human Phospho-CDK1/2 (Thr14) Kit).
Immunohistochemical analysis of paraffin embedded human esophageal cancer tissue slide using IHC0344H (Human Phospho-CDK1/2 (Thr14) Kit).

Human Phospho-CDK1/2 (Thr14) Ready-To-Use IHC Kit

Cat. No.: IHC0344H
Sample Type:
FFPE tissue
Size:
50T (including a control slide)
Storage and Stability:
Please store components at the temperatures indicated on the individual tube labels. The kit is stable for 6 months from the date of receipt.

Background

CDK1 or Cell Division Control protein 1 is essential for the completion of START, the controlling event in the cell cycle that is required to initiate mitosis. CDK1 is a catalytic subunit of a protein kinase complex, called the M-Phase Promoting Factor that induces entry into mitosis and is universal among eukaryotes. Phosphorylation of Bcl-2 in G2/M phase-arrested cells following photodynamic therapy with hypericin involves a CDK1-mediated signal and delays the onset of apoptosis. Therapeutic potential of CDK inhibitor NU2058 in androgen-independent prostate cancer has also been demonstrated.

Synonyms

CDC2, Cdc2a, CDK1, p34, Cdc 2, Cdc2, CDC28A, CDK 1, CDK-1, CDK1_HUMAN, CDKN1, CELL CYCLE CONTROLLER CDC2, Cell division control protein 2, Cell division control protein 2 homolog, Cell division cycle 2 G1 to S and G2 to M, Cell division protein kinase 1, Cell Divsion Cycle 2 Protein, Cyclin Dependent Kinase 1, Cyclin-dependent kinase 1, DKFZp686L20222, MGC111195, p34 Cdk1, p34 protein kinase, P34CDC2.Validation Data

Materials Supplied

"" ""
Number Component 50T Concentration Storage
1 PBS Buffer (powder) 2L x 2 20x RT
2 Antigen Retrieval Buffer 20ml 100x 2-8°C
3 Endogenous Peroxidase Blocking Buffer 3ml RTU 2-8°C
4 Blocking Buffer 3ml RTU 2-8°C
5Primary Antibody (Human Phospho-CDK1/2 (Thr14) Recombinant Rabbit mAb)6ml RTU 2-8°C
6Secondary Antibody (Goat Anti-Rabbit IgG H&L, HRP conjugated)6ml RTU 2-8°C
7 Chromogen Component A 0.3ml RTU -20°C
8 Chromogen Component B 0.3ml RTU -20°C
9 Counter Staining Reagent 5ml RTU RT
10 Differentiation Reagent 6ml RTU RT
11 Mounting Media 5ml RTU RT
12 Control slide (Human colon cancer) 1 slide RTU RT
13 Datasheet 1 copy

Notes

  1. The positive control slide provided in the kit allows you to be sure that the experimental set-up is working properly.
  2. Do not allow slides to dry at any time during this procedure.
  3. Please don't replace the matching reagents in this product with other manufacturers' products.
  4. As DAB is a carcinogen, please take necessary precautions.
  5. PBS (reagent 1) can be stored for one week at 4℃ after preparation; The antigen retrieval buffer (1×reagent 2) and the chromogenic agent (the mixture of reagents 7 and 8) should be prepared right before each assay.


As DAB is a carcinogen, please take necessary precautions.

Important Note: This product as supplied is intended for research use only, not for use in human, therapeutic or diagnostic applications.