Receive 30% off all Monoclonal IHC antibodies with code "MONO-IHC-30"! Offer valid for US customers and available internationally through distributors.

Human CPT1A Ready-To-Use IHC Kit

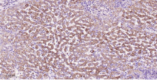
Immunohistochemical analysis of paraffin embedded human liver tissue slide using IHC0491H (Human CPT1A IHC Kit).
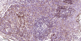
Immunohistochemical analysis of paraffin embedded human ovarian cancer tissue slide using IHC0491H (Human CPT1A IHC Kit).
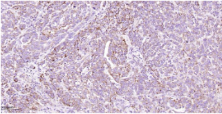
Immunohistochemical analysis of paraffin embedded human breast cancer tissue slide using IHC0491H (Human CPT1A IHC Kit).
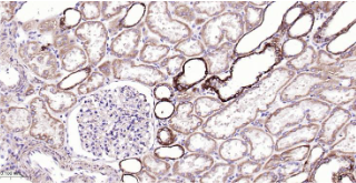
Immunohistochemical analysis of paraffin embedded human kidney tissue slide using IHC0491H (Human CPT1A IHC Kit).

Human CPT1A Ready-To-Use IHC Kit

Cat. No.: IHC0491H
Sample Type:
FFPE tissue
Size:
50T (including a control slide)
Storage and Stability:
Please store components at the temperatures indicated on the individual tube labels. The kit is stable for 6 months from the date of receipt.

Background

The mitochondrial oxidation of long-chain fatty acids is initiated by the sequential action of carnitine palmitoyltransferase I (which is located in the outer membrane and is detergent-labile) and carnitine palmitoyltransferase II (which is located in the inner membrane and is detergent-stable), together with a carnitine-acylcarnitine translocase. CPT I is the key enzyme in the carnitine-dependenttransport across the mitochondrial inner membrane and its deficiency results in a decreased rate of fatty acid beta-oxidation. Alternatively spliced transcript variants encoding different isoforms have been found for this gene.

Synonyms

C730027G07; Cpt-1; CPT-Ia; CPT1; CPTI; L-CPT1; CPT 1; CPT1A; CPTI-L; CPT1-L; carnitine palmitoyl transferase 1; Carnitine O-palmitoyltransferase 1; liver isoform; CPT I; Carnitine palmitoyltransferase 1A; carnitine O-palmitoyltransferase 1; liver isoform isoform 1; CPT1A_HUMAN.Validation Data

Materials Supplied

""
Number Component 50T Concentration Storage
1 PBS Buffer (powder) 2L x 2 20x RT
2 Antigen Retrieval Buffer 20ml 100x 2-8°C
3 Endogenous Peroxidase Blocking Buffer 3ml RTU 2-8°C
4 Blocking Buffer 3ml RTU 2-8°C
5 Primary Antibody (Human CPT1A Rabbit pAb) 6ml RTU 2-8°C
6Secondary Antibody (Goat Anti-Rabbit IgG H&L, HRP conjugated)6ml RTU 2-8°C
7 Chromogen Component A 0.3ml RTU -20°C
8 Chromogen Component B 0.3ml RTU -20°C
9 Counter Staining Reagent 5ml RTU RT
10 Differentiation Reagent 6ml RTU RT
11 Mounting Media 5ml RTU RT
12 Control slide (human liver) 1 slide RTU RT
13 Datasheet 1 copy

Notes

  1. The positive control slide provided in the kit allows you to be sure that the experimental set-up is working properly.
  2. Do not allow slides to dry at any time during this procedure.
  3. Please don't replace the matching reagents in this product with other manufacturers' products.
  4. As DAB is a carcinogen, please take necessary precautions.
  5. PBS (reagent 1) can be stored for one week at 4℃ after preparation; The antigen retrieval buffer (1×reagent 2) and the chromogenic agent (the mixture of reagents 7 and 8) should be prepared right before each assay.


As DAB is a carcinogen, please take necessary precautions.

Important Note: This product as supplied is intended for research use only, not for use in human, therapeutic or diagnostic applications.