Receive 30% off all Monoclonal IHC antibodies with code "MONO-IHC-30"! Offer valid for US customers and available internationally through distributors.

Human VDAC1 Ready-To-Use IHC Kit

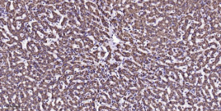
Immunohistochemical analysis of paraffin embedded human liver tissue slide using IHC0498H (Human VDAC1 IHC Kit).
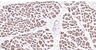
Immunohistochemical analysis of paraffin embedded human skeletal muscle tissue slide using IHC0498H (Human VDAC1 IHC Kit).
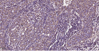
Immunohistochemical analysis of paraffin embedded human colon cancer tissue slide using IHC0498H (Human VDAC1 IHC Kit).
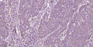
Immunohistochemical analysis of paraffin embedded human breast cancer tissue slide using IHC0498H (Human VDAC1 IHC Kit).

Human VDAC1 Ready-To-Use IHC Kit

Cat. No.: IHC0498H
Sample Type:
FFPE tissue
Size:
50T (including a control slide)
Storage and Stability:
Please store components at the temperatures indicated on the individual tube labels. The kit is stable for 6 months from the date of receipt.

Background

Voltage-dependent anion channel (VDAC) proteins are abundant, pore-forming proteins belonging to the eukaryotic mitochondrial porins. It was discovered in the mitochondrial outer membrane. It also isexpressed in the plasma membrane. At least three different VDAC genes have been identified in vertebrates. VDAC proteins are known to play an essential role in cellular metabolism and in the early stages of apoptosis. For example, VDAC constitutes a major pathway by which metabolites such as ADP/ATP, succinate and citrate are exchanged between the cytosol and mitochondria. And VDAC1 in the plasmamembrane establishes a novel level of apoptosis regulation putatively via its redox activity.

Synonyms

voltage dependent anion channel 1; AL033343; PORIN; VDAC; VDAC-1; VDAC1; Vdac5.Validation Data

Materials Supplied

""
Number Component 50T Concentration Storage
1 PBS Buffer (powder) 2L x 2 20x RT
2 Antigen Retrieval Buffer 20ml 100x 2-8°C
3 Endogenous Peroxidase Blocking Buffer 3ml RTU 2-8°C
4 Blocking Buffer 3ml RTU 2-8°C
5 Primary Antibody (Human VDAC1 Recombinant Rabbit mAb, Mitochondrial Loading Control) 6ml RTU 2-8°C
6Secondary Antibody (Goat Anti-Rabbit IgG H&L, HRP conjugated)6ml RTU 2-8°C
7 Chromogen Component A 0.3ml RTU -20°C
8 Chromogen Component B 0.3ml RTU -20°C
9 Counter Staining Reagent 5ml RTU RT
10 Differentiation Reagent 6ml RTU RT
11 Mounting Media 5ml RTU RT
12 Control slide (human kidney) 1 slide RTU RT
13 Datasheet 1 copy

Notes

  1. The positive control slide provided in the kit allows you to be sure that the experimental set-up is working properly.
  2. Do not allow slides to dry at any time during this procedure.
  3. Please don't replace the matching reagents in this product with other manufacturers' products.
  4. As DAB is a carcinogen, please take necessary precautions.
  5. PBS (reagent 1) can be stored for one week at 4℃ after preparation; The antigen retrieval buffer (1×reagent 2) and the chromogenic agent (the mixture of reagents 7 and 8) should be prepared right before each assay.


As DAB is a carcinogen, please take necessary precautions.

Important Note: This product as supplied is intended for research use only, not for use in human, therapeutic or diagnostic applications.