Receive 30% off all Monoclonal IHC antibodies with code "MONO-IHC-30"! Offer valid for US customers and available internationally through distributors.

Human LRP1 Ready-To-Use IHC Kit

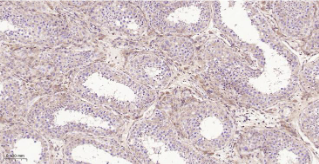
Immunohistochemical analysis of paraffin embedded Human testis tissue slide using IHC0569H (Human LRP1 Kit).
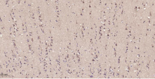
Immunohistochemical analysis of paraffin embedded Human brain tissue slide using IHC0569H (Human LRP1 Kit).
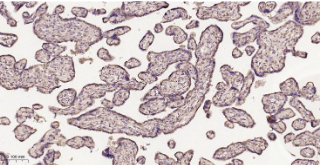
Immunohistochemical analysis of paraffin embedded Human placenta tissue slide using IHC0569H (Human LRP1 Kit).

Human LRP1 Ready-To-Use IHC Kit

Cat. No.: IHC0569H
Sample Type:
FFPE tissue
Size:
50T (including a control slide)
Storage and Stability:
Please store components at the temperatures indicated on the individual tube labels. The kit is stable for 6 months from the date of receipt.

Background

CD91 is a 600 kDa type I transmembrane protein composed of an alpha and beta chain. The alpha chain interacts with a variety of structurally and functionally diverse ligands, while the beta chain contains two tyrosine phosphorylation motifs that interact with adaptor and signaling proteins. This receptor is expressed by cells in the monocytic lineage, dendritic cells, hepatocytes, fibroblasts, adipocytes, neurons, and syncytiotrophoblasts. CD91 plays a crucial role in several cellular processes, including ligand endocytosis and trafficking to lysosomes, intracellular signaling, lipid homeostasis, and clearance of apoptotic cells. It is involved in cross-presenting antigens via MHC class I molecules on antigen-presenting cells after endocytosis of heat shock protein-peptide complexes. Additionally, CD91 is essential for the A2M-mediated clearance of secreted amyloid precursor protein and beta-amyloid, the main component of amyloid plaques found in Alzheimer patients. Expression of CD91 decreases with age and is found to be lower in brain tissue from Alzheimer patients compared to controls. The receptor also plays a role in cell migration and activating signaling cascades, highlighting its importance in both immune function and disease processes.

Synonyms

Materials Supplied

Number Component 50T Concentration Storage
1 PBS Buffer (powder) 2L x 2 20x RT
2 Antigen Retrieval Buffer 20ml 100x 2-8°C
3 Endogenous Peroxidase Blocking Buffer 3ml RTU 2-8°C
4 Blocking Buffer 3ml RTU 2-8°C
5 Primary Antibody (Human LRP1 Recombinant Rabbit mAb) 6ml RTU 2-8°C
6 Secondary Antibody (Goat Anti-Rabbit IgG H&L, HRP conjugated) 6ml RTU 2-8°C
7 Chromogen Component A 0.3ml RTU -20°C
8 Chromogen Component B 0.3ml RTU -20°C
9 Counter Staining Reagent 5ml RTU RT
10 Differentiation Reagent 6ml RTU RT
11 Mounting Media 5ml RTU RT
12 Control slide (Human brain) 1 slide RTU RT
13 Datasheet 1 copy

Notes

  1. The positive control slide provided in the kit allows you to be sure that the experimental set-up is working properly.
  2. Do not allow slides to dry at any time during this procedure.
  3. Please don't replace the matching reagents in this product with other manufacturers' products.
  4. As DAB is a carcinogen, please take necessary precautions.
  5. PBS (reagent 1) can be stored for one week at 4℃ after preparation; The antigen retrieval buffer (1×reagent 2) and the chromogenic agent (the mixture of reagents 7 and 8) should be prepared right before each assay.


As DAB is a carcinogen, please take necessary precautions.

Important Note: This product as supplied is intended for research use only, not for use in human, therapeutic or diagnostic applications.