Receive 30% off all Monoclonal IHC antibodies with code "MONO-IHC-30"! Offer valid for US customers and available internationally through distributors.

Rat CD79a Ready-To-Use IHC Kit

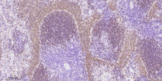
Immunohistochemical analysis of paraffin embedded Rat spleen tissue slide using IHC0570R (Rat CD79a Kit).

Rat CD79a Ready-To-Use IHC Kit

Cat. No.: IHC0570R
Sample Type:
FFPE tissue
Size:
50T (including a control slide)
Storage and Stability:
Please store components at the temperatures indicated on the individual tube labels. The kit is stable for 6 months from the date of receipt.

Background

CD79a is a disulphide-linked heterodimer that includes B29 (CD79b) polypeptide. CD79a is a B lymphocyte antigen receptor with an antigen-specific surface component Ig (immunoglobulin) that associates with Ig-alpha and Ig-beta, necessary elements for the expression and function of the B-cell antigen receptor. CD79a first appears at pre-B cell stage and persists until the plasma cell stage where it is found as an intracellular component. CD79a is found in the majority of acute leukemias of precursor B cell type, in B cell lines, B cell lymphomas, and in some myelomas. It is not present in myeloid or T cell lines. Diseases associated with CD79a include Agammaglobulinemia 3 and Agammaglobulinemia, Non-Bruton type.

Synonyms

CD79A; EGK_10665; IG-alpha; Ly-54; MB-1; B lymphocyte-specific MB1 protein; B-cell antigen receptor complex-associated protein alpha chain; CD 79a; CD79a; CD79a antigen (immunoglobulin-associated alpha); CD79A antigen; CD79a molecule; immunoglobulin-associated alpha; CD79A_HUMAN; Ig alpha; Ig-alpha; IGA; IgM-alpha; Immunoglobulin-associated alpha; Ly54; MB-1 membrane glycoprotein; MB1; Membrane-bound immunoglobulin-associated protein; Surface IgM-associated protein.Validation Data

Materials Supplied

Number Component 50T Concentration Storage
1 PBS Buffer (powder) 2L x 2 20x RT
2 Antigen Retrieval Buffer 20ml 100x 2-8°C
3 Endogenous Peroxidase Blocking Buffer 3ml RTU 2-8°C
4 Blocking Buffer 3ml RTU 2-8°C
5 Primary Antibody (Rat CD79a Mouse mAb) 6ml RTU 2-8°C
6 Secondary Antibody (AffiniPure Goat Anti-Mouse IgG H&L, HRP conjugated) 6ml RTU 2-8°C
7 Chromogen Component A 0.3ml RTU -20°C
8 Chromogen Component B 0.3ml RTU -20°C
9 Counter Staining Reagent 5ml RTU RT
10 Differentiation Reagent 6ml RTU RT
11 Mounting Media 5ml RTU RT
12 Control slide (Rat spleen) 1 slide RTU RT
13 Datasheet 1 copy

Notes

  1. The positive control slide provided in the kit allows you to be sure that the experimental set-up is working properly.
  2. Do not allow slides to dry at any time during this procedure.
  3. Please don't replace the matching reagents in this product with other manufacturers' products.
  4. As DAB is a carcinogen, please take necessary precautions.
  5. PBS (reagent 1) can be stored for one week at 4℃ after preparation; The antigen retrieval buffer (1×reagent 2) and the chromogenic agent (the mixture of reagents 7 and 8) should be prepared right before each assay.


As DAB is a carcinogen, please take necessary precautions.

Important Note: This product as supplied is intended for research use only, not for use in human, therapeutic or diagnostic applications.