Receive 30% off all Monoclonal IHC antibodies with code "MONO-IHC-30"! Offer valid for US customers and available internationally through distributors.

Rat Integrin alpha 5 Ready-To-Use IHC Kit

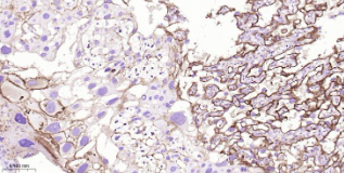
Immunohistochemical analysis of paraffin embedded Rat placenta tissue slide using IHC0643R (Rat Integrin alpha 5 Kit).

Rat Integrin alpha 5 Ready-To-Use IHC Kit

Cat. No.: IHC0643R
Sample Type:
FFPE tissue
Size:
50T (including a control slide)
Storage and Stability:
Please store components at the temperatures indicated on the individual tube labels. The kit is stable for 6 months from the date of receipt.

Background

The product of this gene belongs to the integrin alpha chain family. Integrins are heterodimeric integral membrane proteins composed of an alpha chain and a beta chain. This gene encodes the integrin alpha 5 chain. Alpha chain 5 undergoes post-translational cleavage in the extracellular domain to yield disulfide-linked light and heavy chains that join with beta 1 to form a fibronectin receptor. In addition to adhesion, integrins are known to participate in cell-surface mediated signalling.

Synonyms

VLA-5; Integrin alpha-5 light chain; Alpha 5 beta 1; CD49 antigen-like family member E; CD49e; ECMRVI; Fibronectin Receptor alpha; Fibronectin receptor alpha subunit; Fibronectin receptor alpha subunit; FNR; FNRA; gpIc/IIa; Integrin alpha 5 (fibronectin receptor alpha); Integrin alpha 5; Integrin alpha F; Integrin alpha-5; Integrin alpha-F; Integrin alpha 5 (fibronectin receptor alpha polypeptide); ITGA5; Very late Activation Antigen 5; Very Late Activation Protein 5 alpha; Very late activation protein 5 alpha subunit; VLA5; VLA5A; ITA5_HUMAN; Integrin α5; Integrin-α5.Validation Data

Materials Supplied

Number Component 50T Concentration Storage
1 PBS Buffer (powder) 2L x 2 20x RT
2 Antigen Retrieval Buffer 20ml 100x 2-8°C
3 Endogenous Peroxidase Blocking Buffer 3ml RTU 2-8°C
4 Blocking Buffer 3ml RTU 2-8°C
5 Primary Antibody (Rat Integrin alpha 5 Recombinant Rabbit mAb) 6ml RTU 2-8°C
6 Secondary Antibody (Goat Anti-Rabbit IgG H&L, HRP conjugated) 6ml RTU 2-8°C
7 Chromogen Component A 0.3ml RTU -20°C
8 Chromogen Component B 0.3ml RTU -20°C
9 Counter Staining Reagent 5ml RTU RT
10 Differentiation Reagent 6ml RTU RT
11 Mounting Media 5ml RTU RT
12 Control slide (Rat placenta) 1 slide RTU RT
13 Datasheet 1 copy

Notes

  1. The positive control slide provided in the kit allows you to be sure that the experimental set-up is working properly.
  2. Do not allow slides to dry at any time during this procedure.
  3. Please don't replace the matching reagents in this product with other manufacturers' products.
  4. As DAB is a carcinogen, please take necessary precautions.
  5. PBS (reagent 1) can be stored for one week at 4℃ after preparation; The antigen retrieval buffer (1×reagent 2) and the chromogenic agent (the mixture of reagents 7 and 8) should be prepared right before each assay.


As DAB is a carcinogen, please take necessary precautions.

Important Note: This product as supplied is intended for research use only, not for use in human, therapeutic or diagnostic applications.