Receive 30% off all Monoclonal IHC antibodies with code "MONO-IHC-30"! Offer valid for US customers and available internationally through distributors.

Human DCP1A Ready-To-Use IHC Kit

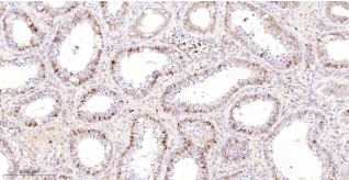
Immunohistochemical analysis of paraffin embedded Human testis tissue slide using IHC0644H (Human DCP1A Kit).
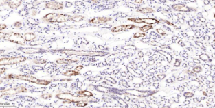
Immunohistochemical analysis of paraffin embedded Human kidney tissue slide using IHC0644H (Human DCP1A Kit).

Human DCP1A Ready-To-Use IHC Kit

Cat. No.: IHC0644H
Sample Type:
FFPE tissue
Size:
50T (including a control slide)
Storage and Stability:
Please store components at the temperatures indicated on the individual tube labels. The kit is stable for 6 months from the date of receipt.

Background

Signal transduction of TGF-beta superfamily members is regulated by Smad proteins. In particular, Smads influence specific gene transcription by relaying signals from the cell membrane to the nucleus. Smad4 plays an essential role in TGF-beta-induced transcriptional activation wherein phosphorylated receptor-associated Smads associate with Smad4. Furthermore, SMIF (Smad4-intereacting protein) and Smad4 complex with TGF-beta and BMP4. An increase in Smad4 concentration increases the translocation of this complex to the nucleus. SMIF and Smad4 interact directly through a EVH1/WH1 domain on SMIF and a proline-rich activation domain on Smad4. Smad4 is essential to nuclear translocation of SMIF as deletion of the Smad4-interacting domain (located in the N-terminal 100 amino acids) of SMIF eliminates TGF-beta-induced nuclear translocation of SMIF. The human SMIF gene is ubiquitously expressed and encodes a protein with a relative molecular mass of 70 kDa.

Synonyms

1110066A22Rik; 4930568L04Rik; AU019772; D14Ertd817e; DCP1A; HSA275986; Mitc1; Nbla00360; DCP1 decapping enzyme homolog A; Dcp1a; DCP1A_HUMAN; mRNA decapping enzyme 1A; mRNA-decapping enzyme 1A; Smad4 interacting transcriptional co activator; Smad4-interacting transcriptional co-activator; Smad4-interacting transcriptional co-activator; SMAD4IP1; SMIF; Transcription factor SMIF.Validation Data

Materials Supplied

Number Component 50T Concentration Storage
1 PBS Buffer (powder) 2L x 2 20x RT
2 Antigen Retrieval Buffer 20ml 100x 2-8°C
3 Endogenous Peroxidase Blocking Buffer 3ml RTU 2-8°C
4 Blocking Buffer 3ml RTU 2-8°C
5 Primary Antibody (Human DCP1A Recombinant Rabbit mAb) 6ml RTU 2-8°C
6 Secondary Antibody (Goat Anti-Rabbit IgG H&L, HRP conjugated) 6ml RTU 2-8°C
7 Chromogen Component A 0.3ml RTU -20°C
8 Chromogen Component B 0.3ml RTU -20°C
9 Counter Staining Reagent 5ml RTU RT
10 Differentiation Reagent 6ml RTU RT
11 Mounting Media 5ml RTU RT
12 Control slide (Human testis) 1 slide RTU RT
13 Datasheet 1 copy

Notes

  1. The positive control slide provided in the kit allows you to be sure that the experimental set-up is working properly.
  2. Do not allow slides to dry at any time during this procedure.
  3. Please don't replace the matching reagents in this product with other manufacturers' products.
  4. As DAB is a carcinogen, please take necessary precautions.
  5. PBS (reagent 1) can be stored for one week at 4℃ after preparation; The antigen retrieval buffer (1×reagent 2) and the chromogenic agent (the mixture of reagents 7 and 8) should be prepared right before each assay.


As DAB is a carcinogen, please take necessary precautions.

Important Note: This product as supplied is intended for research use only, not for use in human, therapeutic or diagnostic applications.