Receive 30% off all Monoclonal IHC antibodies with code "MONO-IHC-30"! Offer valid for US customers and available internationally through distributors.

Mouse FABP4 Ready-To-Use IHC Kit

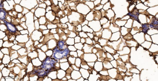
Immunohistochemical analysis of paraffin embedded Mouse mammary gland tissue slide using IHC0687M (Mouse FABP4 Kit).

Mouse FABP4 Ready-To-Use IHC Kit

Cat. No.: IHC0687M
Sample Type:
FFPE tissue
Size:
50T (including a control slide)
Storage and Stability:
Please store components at the temperatures indicated on the individual tube labels. The kit is stable for 6 months from the date of receipt.

Background

FABP4 belongs to the fatty acid binding protein (FABP) family. FABPs contribute to the transport of fatty acids and other lipids in various cellular pathways. FABP4 is expressed in adipocytes, macrophages, monocyte-derived dendritic cells, and myoepithelial cells. It delivers long-chain fatty acids and retinoic acid to their cognate receptors in the nucleus.

Synonyms

ALBP; Ap2; FABP4; HEL-S-104; adipocyte; 3T3-L1 lipid-binding protein; 422/aP2; A FABP; A-FABP; Adipocyte lipid binding protein; Adipocyte lipid-binding protein; Adipocyte protein AP2; Adipocyte-type fatty acid-binding protein; AFABP; ALBPv; ALBP/Ap2; aP2; FABP; FABP4_HUMAN; Fatty acid binding protein 4 adipocyte; Fatty acid binding protein 4; Fatty acid binding protein adipocyte; Fatty acid-binding protein 4; Fatty acid-binding protein; Lbpl; Myelin P2 protein homolog; P15v P2 adipocyte protein; Protein 422.Validation Data

Materials Supplied

Number Component 50T Concentration Storage
1 PBS Buffer (powder) 2L x 2 20x RT
2 Antigen Retrieval Buffer 20ml 100x 2-8°C
3 Endogenous Peroxidase Blocking Buffer 3ml RTU 2-8°C
4 Blocking Buffer 3ml RTU 2-8°C
5 Primary Antibody (Mouse FABP4 Recombinant Rabbit mAb) 6ml RTU 2-8°C
6 Secondary Antibody (Goat Anti-Rabbit IgG H&L, HRP conjugated) 6ml RTU 2-8°C
7 Chromogen Component A 0.3ml RTU -20°C
8 Chromogen Component B 0.3ml RTU -20°C
9 Counter Staining Reagent 5ml RTU RT
10 Differentiation Reagent 6ml RTU RT
11 Mounting Media 5ml RTU RT
12 Control slide (Mouse fat) 1 slide RTU RT
13 Datasheet 1 copy

Notes

  1. The positive control slide provided in the kit allows you to be sure that the experimental set-up is working properly.
  2. Do not allow slides to dry at any time during this procedure.
  3. Please don't replace the matching reagents in this product with other manufacturers' products.
  4. As DAB is a carcinogen, please take necessary precautions.
  5. PBS (reagent 1) can be stored for one week at 4℃ after preparation; The antigen retrieval buffer (1×reagent 2) and the chromogenic agent (the mixture of reagents 7 and 8) should be prepared right before each assay.


As DAB is a carcinogen, please take necessary precautions.

Important Note: This product as supplied is intended for research use only, not for use in human, therapeutic or diagnostic applications.